CRISPR/Cas9(Clustered Regularly Interspaced Short Palindromic Repeats/Cas9)系统是目前被广泛运用的基因编辑系统,其原理是由CRISPR转录产生的sgRNA(small guide RNA)识别并结合目标基因的靶向序列,引导Cas9对结合位点进行剪切,产生DNA双链断裂(double-strand break,DSB),机体自身通过非同源末端重组(non-homologous end joining,NHEJ)的方式修复DSB,参与修复的蛋白经常会在DNA末端插入或删除几个碱基,修复后的基因由于产生突变而导致功能丧失,从而实现机体内的基因敲除(Gene Knockout)。

图1.CRISPR/Cas9系统介导的基因编辑(Wiles MV,et al.Mamm Genome,2015)

图2.非同源重组修复DSB(Wiles MV,et al.Mamm Genome,2015)
1.利用CRISPR/Cas9去除HBV感染(Zhen S, et al.Gene Ther.2015)

图3.靶向HBV基因组不同位置的gRNA

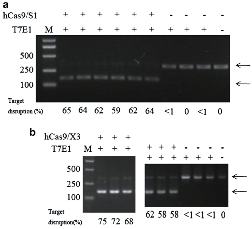
图4.靶向S基因的gRNA-S1和靶向X基因的gRNA-X3介导Cas9对HBV基因组的编辑产生突变,被T7E1错配酶识别

图5.Cas9和gRNA-(S1+X)共转至HBV转基因小鼠模型,能持续抑制血清中乙肝标志性抗原(HBsAg)的含量
2.利用CRISPR/Cas9进行基因治疗(Maeder ML, et al.Nat Med.2019)
莱伯氏先天性黑曚10型是一种单基因遗传病,是由于CEP290基因第26号和第27号外显子之间的突变造成mRNA错误剪接从而导致蛋白质缺失引起的,基因治疗公司Editas利用AAV载体表达SaCas9和靶向突变位点两端的gRNA,在体对CEP290基因进行编辑,删除突变的内含子序列或造成该区域翻转从而破坏错误的剪接位点,帮助形成正确的mRNA。


3.利用CRISPR/Cas9技术构建肿瘤模型(Maresch R, et al.Nat Commun.2016)
超过90%的人胰腺癌有KRAS突变,利用Ptf1a-Cre在胰腺特异诱导KRAS G12D突变基因表达,能诱导小鼠产生胰腺癌,但所需时间长达数月甚至一年以上。利用CRISPR-Cas9基因编辑在上述小鼠模型体内同时突变15个与胰腺导管腺癌(PDAC)相关的基因,可快速诱导PDAC产生,诱导成瘤中位时间为10周左右,到第24周,约54%的基因编辑小鼠能产生肿瘤。

服务内容
1、sgRNA的设计;
2、细胞内sgRNA剪切活性筛选;
3、敲除载体的构建;
4、依据所要编辑的细胞选择Cas9和sgRNA不同导入方式:
a、脂质体易转染细胞:使用质粒系统(Cas9和sgRNA);
b、脂质体难转染细胞:使用质粒系统电转化、慢病毒或腺相关病毒感染(Cas9和sgRNA);
5、筛选基因敲除单克隆细胞系。
服务流程
需客户提供
1、目的基因序列(ID)以及物种来源;
2、需介导基因敲除的细胞(可选);
3、病毒类型选择以及要求;
4、血清型选择。
表1.服务信息及最终交付内容、产品
| 流程分布 |
周期 (工作日) |
交付内容 | 交付产品 |
| sgRNA序列的设计 | 2-4周 | sgRNA设计分析报告 | - |
| sgRNA的活性筛选 | 获得有活性的sgRNA及筛选报告 | ||
| 基因敲除质粒的构建 | 1周 | 基因敲除质粒报告 | 基因敲除质粒 |
| 病毒包装 | 3周 | 病毒包装报告 | 高纯度病毒 |
| 单克隆细胞分选 | 8周 | 单克隆细胞分选及检测结果报告 | 基因敲除单克隆细胞系 |
信息订阅
我们将及时向您推送最新产品资讯

市场:027-65023363 行政/人事:027-62439686 邮箱:marketing@brainvta.com 客服:18140661572(活动咨询、售后反馈等)
销售总监:张经理 18995532642 华东区:陈经理 18013970337 华南区:王经理 13100653525 华中/西区:杨经理 18186518905 华北区:张经理 18893721749
地址:中国武汉东湖高新区光谷七路128号中科开物产业园1号楼
Copyright © 武汉枢密脑科学技术有限公司. All RIGHTS RESERVED.
鄂ICP备2021009124号 DIGITAL BY VTHINK
