2025-07-21 阅读量:822
一、产品介绍
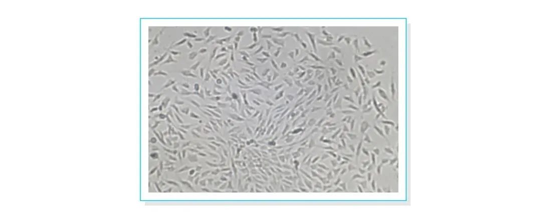
小鼠胚胎成纤维细胞(Mouse Embryonic Fibroblast,MEF)是一类主要分泌细胞外基质的细胞,分离自小鼠胚胎组织,由胚胎时期中胚层的间充质细胞分化而来,常用做胚胎干细胞(Embryonic Stem Cell,ESC,简称ES细胞)培养的饲养层细胞。体外培养时,MEF与其他类型的成纤维细胞相同:细胞较大,轮廓清楚,成纤维多为突起的纺锤形或星形的扁平状结构,其细胞核呈规则的卵圆形,核仁大而明显。枢密科技MEF取自孕13.5天的C57小鼠胚胎躯干,并通过无菌、支原体检测。
二、产品信息
三、产品用途及优势
1.MEF是适用于小鼠或人ES细胞及诱导多能干细胞(iPSC)的饲养层细胞
ES细胞在体外极易分化,必须在培养基中加入分化抑制因子或将其培养在能分泌分化抑制因子的饲养层细胞上才能维持扩增培养。而单独应用分化抑制因子效果不甚理想,因此,选用状况良好的饲养层细胞至关重要。MEF可分泌多种抑制ES细胞自主分化、促进其增殖的因子,从而有效维持ES细胞的未分化特性和多能性。作为饲养层细胞时,MEF需经丝裂霉素C处理使其灭活(终止MEF的增殖但保留其分泌功能)。建议将MEF用作ES细胞饲养层时,传代不要超过6代。
参考文献
Brehm JL, Miles MM, Remondini KS, Ludwig TE. Preparation of Mouse Embryonic Fibroblasts as Feeders for iPSC Generation and Maintenance. Methods Mol Biol. 2021;2239:213-234. doi: 10.1007/978-1-0716-1084-8_14. PMID: 33226622.
2.以MEF作为实验材料进行天然免疫相关实验
MEF分泌细胞因子的能力远远强于HEK293等工程细胞,相当于肝实质细胞,略低于几种免疫细胞。但较免疫细胞,其有不可替代的优势:
(1)MEF并不是主要发挥免疫功能的细胞,只有在受到外界刺激时才会应答,分泌细胞因子。而免疫细胞在不受刺激时也会为了维持稳态而不断产生细胞因子,即使有严格的对照组,同一类免疫细胞(如DC、NK、T细胞)的个体间分泌细胞因子的能力也存在差异,这会导致对照组的结果相对不一致。
(2)另一方面,这些免疫细胞大多为悬浮生长,转染难度较高,导致结果阳性率偏低。因此,若研究目标并非特定免疫细胞,而是天然免疫或适应性免疫过程中某一基因、蛋白或信号通路的作用,MEF细胞不失为一种合适的选择。
参考文献
Kato H, Sato S, Yoneyama M, et al. Cell type-specific involvement of RIG-I in antiviral response. Immunity. 2005 Jul;23(1):19-28. doi: 10.1016/j.immuni.2005.04.010. PMID: 16039576.
四、运输和保存
(1)1 mL细胞悬液装于1.8 mL的冻存管中,置于装满干冰的泡沫保温盒中进行运输:收到细胞后立即转入液氮或者-80℃冰箱冻存,或直接复苏,若无法立刻进行复苏操作,冻存细胞可在-80℃的条件下保存1个月。
(2)T-25培养瓶充满完全培养基后进行常温运输:收到细胞后请镜下观察细胞生长状态,若铺瓶率超过85%请立即进行传代操作;若悬浮的细胞较多,请将培养瓶置于培养箱中静置过夜以帮助未死亡的悬浮细胞能够再次贴壁。
五、注意事项
1、本产品需在严格无菌条件下进行培养;
2、原代细胞体外培养周期非常有限,多次传代后会衰老,增殖能力下降,最后逐渐死亡。尽可能使用较低代次(6代以内)的细胞进行实验。我司分离的MEF可传代5-6次并保持原始形态;
3、本产品仅限科研使用,不可用作其他用途;
4、血清选择:推荐使用GIBCO血清;
5、建议客户收到细胞后前3天不同倍镜各拍几张细胞照片,记录细胞状态,若细胞出现问题请于一周内与本公司销售联系,以便于更好的帮您解决问题。
操作步骤:
(1)15 mL离心管中加入预热好的5 mL以上的完全培养基备用。
(2)将解冻完成的细胞冻存管擦干并喷洒75%乙醇,转移至超净台。
(3)在超净台中打开冻存管,吸取细胞冻存悬液转移至(1)的离心管中。1000 rpm离心5 min后弃上清。加入适量完全培养基重悬细胞后,轻柔吹打细胞沉淀,充分吹散、混匀,转入新的培养皿中。(备注:复苏完成后需摇匀,随后在显微镜下观察细胞密度。若密度过大,需更换更大面积的培养容器,或重新接种到多个培养皿中。)
(4)置于37℃、5%CO2、饱和湿度的培养箱中培养。
注意:
a. 提前室温/37℃预热培养基。
b. 低温保存的细胞非常脆弱,请将冻存管放入37℃水浴中快速解冻复苏。
操作步骤:
(1)弃去培养液,用PBS洗涤1-2次,注意动作轻柔。
(2)加入1 mL胰酶消化液(推荐使用0.125%浓度),37℃消化,显微镜下观察细胞消化情况,若细胞回缩变圆、透亮、轻拍时脱落,则迅速在超净工作台中加入至少双倍的完全培养液终止消化。
(3)轻轻吹打使细胞分散成单细胞悬液后,将细胞收集于离心管中1000 rpm离心5 min后弃上清,加入新鲜培养基重悬细胞,进行传代。
(4)摇匀细胞,置于37℃、5%CO2、饱和湿度的培养箱中培养。
(5)传代次日,观察细胞状态。
(6)待细胞生长至90%汇合,即需传代或冻存。
(7)若无特殊说明,建议收到细胞后的第一次传代可适当减少比例,如按1:2-1:3传代。
注意:
a. 提前预热细胞培养基、胰酶、PBS。
b. 观察细胞密度最好用低倍镜(4X物镜)观察,以便正确的判断细胞密度。观察细胞形态请用10X或20X高倍镜观察。
c. 推荐使用0.125%胰酶/EDTA消化液。
操作步骤:
(1)待细胞生长至可传代的密度,即可准备冻存。
(2)细胞消化请参考细胞的传代操作步骤1-2。
(3)将细胞收集于离心管中1000 rpm离心5 min后弃上清,用适量冻存液均匀重悬细胞(冻存体系:90%FBS+10%DMSO)。使细胞浓度约为5×10⁵-1×10⁷ cells/mL。
(4)将细胞分装至冻存管中,每管体积建议在1-1.5 mL。
(5)细胞分装完成后,将冻存管放入梯度降温盒,再移入-80℃冰箱中。
(6)24小时后,可将细胞冻存管转移至液氮中长期保存。
七、常见问题及解决方案
1、收到细胞后先观察培养瓶/冻存管是否破裂、漏液等,如遇到上述问题请及时拍照并与我们联系。
2、若出现细胞漂浮现象:培养瓶不开封,先在显微镜下检查细胞状态,瓶口用酒精擦拭后平躺放入培养箱。1-2小时后观察,若大部分细胞重新贴附于瓶底,说明细胞活力正常,可去除剩余少量漂浮细胞,保留8-10 mL培养液继续培养观察,待细胞生长至汇合度约85%时进行消化传代;若细胞仍未贴壁,可离心收集细胞并转移至新培养瓶,原培养瓶添加部分培养液继续培养,注意持续观察;若细胞始终无法贴壁,请用台盼蓝染色鉴定细胞活力,并及时拍摄多倍数、多视野的照片(包括染色照片),然后联系我们。
3、接到细胞次日,请检查细胞是否污染,若发现污染或疑似污染,请及时与我们取得联系

详情欢迎扫码咨询
微信号:BrainVTA2020

市场:027-65023363 行政/人事:027-62439686 邮箱:marketing@brainvta.com 客服:18140661572(活动咨询、售后反馈等)
销售总监:张经理 18995532642 华东区:陈经理 18013970337 华南区:王经理 13100653525 华中/西区:杨经理 18186518905 华北区:张经理 18893721749
地址:中国武汉东湖高新区光谷七路128号中科开物产业园1号楼
Copyright © 武汉枢密脑科学技术有限公司. All RIGHTS RESERVED.
鄂ICP备2021009124号 DIGITAL BY VTHINK
