2023-08-28 阅读量:1167
生活中不断累积的压力会导致胃功能障碍,如胃痛、功能性消化不良、胃食管反流等。大脑是应对应激的高级中枢,功能磁共振研究发现应激性胃病患者多个脑区活动发生变化,提示应激信号的脑-胃轴传递,具体机制尚不清楚。2023年8月17日,中国科学技术大学生命科学与医学部张智教授团队和安徽医科大学基础医学院陶文娟副教授团队合作在Nature Metabolism上发表文章Brain regulation of gastric dysfunction induced by stress,揭示了应激导致胃功能障碍的神经机制。

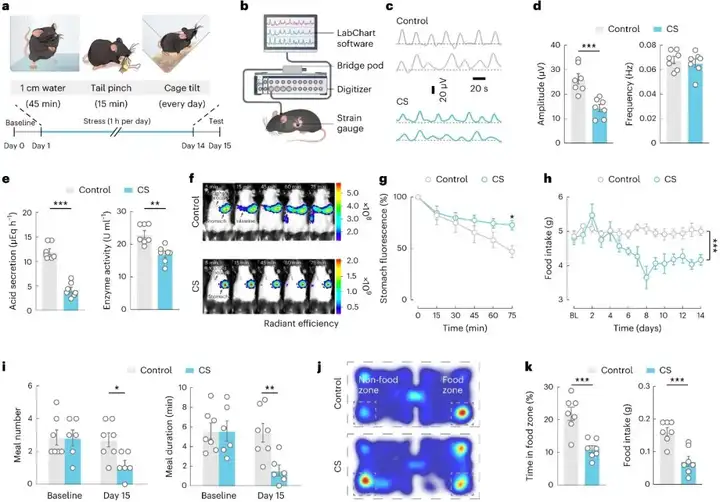
研究团队首先构建了慢性应激小鼠模型,发现这些小鼠胃运动幅度、胃排空率降低,并伴随胃酸分泌减少和胃蛋白酶活性下降。
图1. 慢性应激导致小鼠胃功能障碍
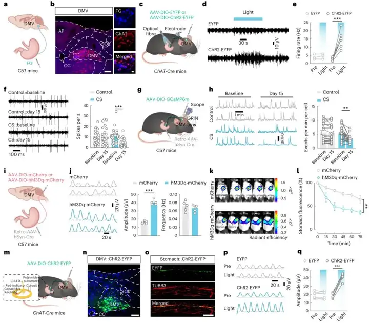
为探索脑-胃之间的结构连接,研究团队在胃部注射逆行示踪染料,在大脑的迷走神经运动背核(DMV)追踪到信号。综合运用在体电生理、深部钙成像研究手段发现,投射到胃的DMV乙酰胆碱能神经元(DMVACh)在慢性应激后活性降低。使用化学遗传学和光遗传学等方法上调其活性,能缓解慢性应激导致的胃功能障碍。
图2. 慢性应激抑制DMVAch活性导致小鼠胃功能障碍
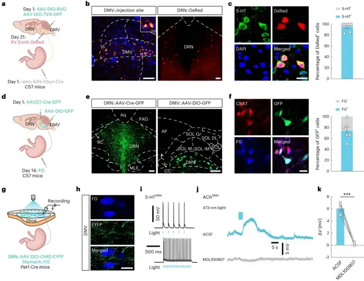
综合运用病毒示踪手段发现,DMVACh接受应激相关的中缝背核5-羟色胺能神经元(DRN5-HT)支配,慢性应激后DRN5-HT活性显著降低。此外,特异调控DRN5-HT→DMVACh→胃神经环路活性可缓解慢性应激导致的胃功能障碍。
图3. DRN5-HT→DMVACh→胃环路示踪
该研究不仅为应激性胃病的发病机理提出了新的理论,也为进一步探索大脑和外周器官的交互作用提供了新思路。
模式图:应激导致胃功能障碍的神经环路
中国科学技术大学董婉莹和黄继业(博士研究生)、唐皓迪博士(现就职于四川大学华西医院)、朱霞副研究员为论文共同第一作者,合作者包括中国科学技术大学附属第一医院神经内科张艳教授课题组、安徽中医药大学王海涛教授课题组等。研究得到了国家基金委、科技部、中科院、合肥综合性国家科学中心大健康研究院、安徽医科大学和中国科学技术大学的资助。
本文使用的病毒产品均来自枢密科技,列表如下:


了解产品及服务
请扫码或添加客服微信:BrainVTA2020

市场:027-65023363 行政/人事:027-62439686 邮箱:marketing@brainvta.com 客服:18140661572(活动咨询、售后反馈等)
销售总监:张经理 18995532642 华东区:陈经理 18013970337 华南区:王经理 13100653525 华中/西区:杨经理 18186518905 华北区:张经理 18893721749
地址:中国武汉东湖高新区光谷七路128号中科开物产业园1号楼
Copyright © 武汉枢密脑科学技术有限公司. All RIGHTS RESERVED.
鄂ICP备2021009124号 DIGITAL BY VTHINK