2023-04-04 阅读量:2447
慢性疼痛患者常伴随情绪障碍、镇痛药物成瘾,是当今公共卫生领域一大健康问题,并给社会造成沉重的经济负担。疼痛机制的复杂性和当前止痛药的严重副作用导致缺乏有效的疼痛治疗策略。越来越多的证据表明不同疼痛条件下表观遗传学均具有潜在作用。表观遗传学修饰包括组蛋白修饰、DNA甲基化和非编码RNA,因外周伤害性刺激而改变,从而导致疼痛相关基因的表达及疼痛发生率发生变化。背根神经节(DRG)含有一级躯体感觉神经元,能向中枢传递外周伤害性信号。DRG的表观遗传改变对疼痛的发生、发展和维持至关重要。如脊神经结扎(SNL,神经病理性疼痛模型)提高了受损DRG中乙酰化组蛋白3/4(H3/4)的表达;神经病理性疼痛状态下DRG中也观察到表观基因组改变诱导的离子通道和阿一片受体的损伤。由于DRG的初始病理变化是慢性疼痛的主要诱因,DRG表观遗传修饰模式的干预可能有效阻碍慢性疼痛的发展。如鞘内注射组蛋白去乙酰化酶(HDAC)抑制剂伏立诺他(SAHA)可减轻机械性超敏反应。DNA甲基转移酶(DNMT)抑制剂地西他滨通过鞘内给药能缓解骨癌疼痛。因此,研究DRG表观遗传学修饰在伤害性感受中的作用将有利于慢性疼痛的治疗。然而,疼痛调节的精确表观遗传机制仍然不清楚。
表观遗传调控因子染色质结构域Y样蛋白(CDYL,chromodomain Y-like)被认为是一种转录抑制子,含有氨基末端典型染色质结构域和羧基末端烯酰辅酶A(CoA)水合酶/异构酶催化结构域。据报道,CDYL通过其染色质结构域作为抑制性组蛋白标记的阅读蛋白,表现出组蛋白乙酰转移酶活性。前人研究表明,CDYL在控制神经元固有兴奋性方面起着关键作用,过表达CDYL抑制电压门控钠通道(Nav)亚家族成员Nav1.6通道转录从而导致神经元兴奋性降低。北京大学基础医学院王韵教授课题组前期研究也显示皮层神经元敲低CDYL引起异常自发放电并增加癫痫的易感性。由于感觉神经元的异常兴奋性是疼痛状态的标志,研究人员推测外周伤害性感受器中的CDYL可能参与疼痛处理。
2022年2月4日,王韵教授团队在《Advanced Science》上发表题为“Cdyl deficiency brakes neuronal excitability and nociception through promoting Kcnb1 transcription in peripheral sensory neurons”的研究论文,在本研究中,作者首次确定了外周CDYL在痛觉中的关键作用。选择性敲除感觉神经元(DRG)中CDYL导致神经元兴奋性和伤害性感受降低。全基因组测序显示,电压门控钾通道(Kv)亚家族成员Kv2.1(延迟整流型钾通道)是CDYL具备调节疼痛功能所必需的。进一步研究表示CDYL通过促进Kcnb1(编码Kv2.1通道)内含子区域的组蛋白3赖氨酸27三甲基化(H3K27me3)来抑制Kv2.1转录。CDYL的功能丧失增强了背根神经节总Kv和Kv2.1电流密度,而敲低Kv2.1逆转了Cdyl缺陷小鼠的疼痛相关表型。DRG中局灶性递送新型强效CDYL拮抗剂成功地抑制了神经元兴奋性,并减轻神经病理性疼痛。综上所述,这些发现揭示了外周CDYL在疼痛处理中的一种新的表观遗传机制,确定了CDYL是痛觉的关键调节因子,并为开发基于表观遗传修饰的镇痛疗法提供了新思路。

1.CDYL在DRG中广泛分布
DRG感觉神经元具有多种形态和功能特征以区分不同类型的感觉。如具有大胞体的DRG神经元负责本体感受和机械性感受,而胞体较小的神经元则是传递疼痛信号的伤害性感受器。为探究CDYL在初级感觉神经元中的作用,研究人员首先评估了CDYL在小鼠DRG中的细胞分布。免疫染色结果显示CDYL在不同大小的DRG神经元的细胞核中普遍表达。定量分析表明,93.95%的异亮氨酸B4(IB4)阳性神经元,91.98%的降钙素基因相关肽(CGRP)阳性神经元和93.10%的神经丝蛋白200(NF200)阳性神经元分别表达CDYL。
图1. CDYL在DRG神经元中普遍表达
2.DRG中CDYL功能丢失增加疼痛阈值
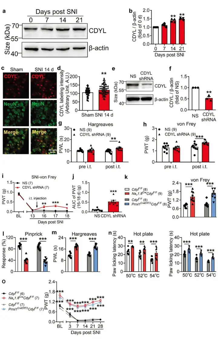
基于外周伤害性感受器中CDYL的表达,作者推测CDYL可能有助于疼痛处理。western blot分析表明,同侧腰椎4-5(L4-5)DRG中的CDYL表达在保留性神经损伤(SNI)后第14天和第21天升高。免疫染色证实了SNI后第14天观察到的CDYL表达增加。为进一步确定CDYL在疼痛病因中的作用,研究人员鞘内注射CDYL-shRNA质粒以敲低小鼠DRG中内源性CDYL表达。通过western blot验证了CDYL敲低效率。小鼠鞘内注射CDYL-shRNA后第2天基线热痛(辐射热)和机械痛(von Frey测试)阈值显著提高。CDYL的敲低减轻了由外周神经损伤引起的机械性痛觉超敏。为证实CDYL对疼痛处理的贡献,使用Cre-Loxp重组系统形成条件性Cdyl敲除小鼠。而由于小鼠Cdyl全身敲除导致胚胎致死,于是作者构建了两种类型的DRG条件性Cdyl敲除(cKO)小鼠。其一通过纯合Cdyl-floxp(CdylF/F)小鼠与Nav1.8-Cre小鼠系(Nav1.8Cre)杂交删除DRG伤害性感受器中的Cdyl。其二通过CdylF/F小鼠与Prrxl1他莫昔芬诱导的Cre(Prrxl1CreERT2)小鼠系杂交删除DRG神经元中的Cdyl。Nav1.8CreCdylF/F和Prrxl1CreERT2CdylF/F小鼠的敲除效率分别通过RT-PCR和western blot进行了验证。行为学测试结果表示正常状态下,Cdyl缺陷小鼠对伤害性机械和热刺激的敏感性减弱。与此一致的是,SNI诱导的疼痛超敏反应因Cdyl的缺失显著减轻。总的来说,这些发现有力地证明了CDYL是伤害性感受信号通路所必需的。
图2. 外周CDYL参与疼痛处理,DRG中CDYL的丢失降低疼痛敏感性(图片修改自原文)
3.DRG中CDYL功能丢失抑制神经元兴奋性
组织炎症或损伤导致DRG的敏感或过度兴奋,最终造成疼痛。正如前人研究报道,CDYL可以抑制海马和皮层神经元的兴奋性,研究人员进行了电生理实验,以测试是否Cdyl缺陷也影响初级感觉神经元的内在电特征。令人惊讶的是,与对照组相比,雄性CdylcKO(Prrxl1CreERT2CdylF/F)小鼠静息膜电位(RMP)明显降低了4.15 mV。相比于对照组,雄性CdylcKO小鼠的动作电位(AP)阈值、电流阈值和后超极化(AHP)幅度分别增加了52.36%、63.46%和14.12%。由100–300 pA电流诱发的APs的平均数量因删除Cdyl而明显减少。综上所述,这些结果表明,与对中枢神经系统的影响相反,CDYL功能缺失降低了DRG中神经元的兴奋性。
图3. DRG中CDYL的丢失抑制神经元兴奋性
4.CDYL抑制DRG中的Kv2.1转录
图4. CDYL通过促进内含子区H3K27me3抑制Kcnb1转录
5.DRG中CDYL缺失增加总Kv和Kv2.1电流
Kv2.1通道是众所周知的神经元兴奋性抑制剂,特别是当高频AP放电发生时,并在各种超兴奋状态下发挥神经保护作用。接下来,研究了Cdyl的缺失是否会影响钾电流。应用全细胞电压钳记录急性分离的DRG神经元的Kv电流。结果表明,CDYL缺失增加了总Kv和Kv2.1电流密度。这些发现表明CDYL抑制总Kv和Kv2.1电流,从而维持DRG神经元的兴奋性。

图5. CDYL的丢失增强DRG中的总Kv和Kv2.1电流
6.CDYL通过Kv2.1通道调节伤害性感受
进一步评估外周CDYL-Kv2.1信号轴功能障碍的病理生理后果,CdylcKO小鼠的单侧L4-5 DRG中注射AAV-Kv2.1-shRNA-EGFP或AAV-scramble-shRNA-EGFP,同窝出生小鼠作为对照组。如western blot所示,病毒注射后4周Kv2.1-shRNA感染组Kv2.1表达显著下调(表明敲低效率可以)。Kv2.1-shRNA感染的cKO小鼠比scramble-shRNA感染cKO小鼠表现出更剧烈的机械和热伤害性感受反应。此外,Kv2.1-shRNA感染的cKO小鼠在SNI后出现更严重的超敏反应(Kv2.1-shRNA感染的对照组小鼠也一样)。总的来说,这些证据强调了Kv2.1通道参与外周感觉神经元中Cdyl缺陷引起的抗伤害性感受。
图6. CDYL通过Kv2.1通道介导伤害性感受
7. 开发强效CDYL拮抗剂
由于CDYL在疼痛处理中不可或缺,因此寻找CDYL的化学拮抗剂可能是治疗疼痛的潜在策略。研究人员通过修饰拟肽配体(作者前期研究报道拟肽配体与CDYL染色质结构域家族具有适度的亲和力)和分析筛选,得到UNC6261,并验证UNC6261与CDYL染色质结构域的结合。总的来说,UNC6261是一个强有力的CDYL拮抗剂,可充当评估CDYL拮抗对疼痛处理影响的有用工具。
8.UNC6261在小鼠中产生镇痛作用
为评估UNC6261产生镇痛作用的能力,用10、30或100 μm UNC6261孵育DRG神经元24 h,然后进行全细胞电流钳以测试内在神经元膜特征。与对照组比较,DRG神经元中30 μm和100 μm UNC6261处理RMP明显降低,诱发AP的平均数量显著减少,并增加了AP阈值和AHP幅度。此外,100 μm UNC6261也增加了DRG神经元的电流阈值。接下来,UNC6261注射到小鼠单侧L4-5 DRG以测试其对痛觉的影响。体内结果显示,UNC6261处理小鼠的基础疼痛阈值增加。令人鼓舞的是,在SNI模型中,小鼠在疼痛开始后注射0.7或2.1 mg·kg−1UNC6261可成功缓解机械性超敏反应。综上所述,利用CDYL拮抗剂进行外周治疗可能是神经病理性疼痛治疗有潜力的策略。
图7. 通过拮抗剂UNC6261抑制外周CDYL活性能降低神经元兴奋性和减轻疼痛样行为
本研究通过多种技术手段证实,CDYL通过招募H3K27me3表观调控Kcnb1的转录,增加DRG感觉神经元的兴奋性,促进痛觉敏化。本文揭示了外周感觉神经元中表观调控因子CDYL调控痛觉感受及慢性疼痛发生发展,并和合作者合作开发了具有镇痛作用的CDYL特异性小分子抑制剂,为疼痛发病的表观遗传调控机制提供了新启示。
模式图:外周感觉神经元中CDYL参与痛觉调控

扫码下载原文
北京大学神经科学研究所、北京大学IDG/麦戈文脑研究院王韵教授和北卡罗来纳大学教堂山分校的Lindsey I.James教授为本文的共同通讯作者,北京大学神经科学研究所2016级直博生孙兆炜是本文的第一作者。北卡罗来纳大学教堂山分校的Jarod M.Waybrigh博士及加拿大多伦多大学Jinrong Min教授团队对本研究具有重要贡献。本论文得到国家自然科学基金、科技部重大项目计划的资助。
通讯作者介绍
王韵,北京大学神经科学研究所/基础医学院神经生物学系教授,北京大学IDG/麦戈文脑研究院PI,博士生导师,国家杰出青年基金获得者。现任北京大学基础医学院教学院长、北京大学神经科学研究所副所长。
科研方向:
王韵教授课题组主要从事神经系统细胞信号转导的研究。综合利用多学科手段,整合分子生物学、生物化学、遗传学、电生理学、形态学和行为学等方法,主要进行以下两方面的工作:
1.痛与痛觉调制的细胞信号转导通路:采用慢性病理性疼痛模型,研究痛觉传导通路中,外周和中枢神经元发生的可塑性变化,并围绕细胞信号转导的核心分子——蛋白激酶,深入探讨慢性痛,相关痛相关负性情绪及痛记忆产生的特异的信号通路,以期发现新的镇痛靶点或镇痛药物,为解决临床镇痛问题提供新思路。
2.神经发育和损伤修复机制:采用体外培养细胞和在体动物模型,探讨参与神经元极性建立、迁移、树突发育、突触形成和修剪等神经发育过程,以及外周神经损伤后修复(与发育过程享有一些共同的分子机制)和神经元缺血损伤/抗损伤过程的关键分子,旨在阐明先天性神经发育疾病,神经退行性疾病及后天性神经损伤如机械、缺血损伤等过程的病理机制,找到其中的关键分子,设计可能的干预策略,从而为一些临床常见神经精神疾病的治疗提出新方法。

本文使用的病毒产品均来自枢密科技,列表如下:



市场:027-65023363 行政/人事:027-62439686 邮箱:marketing@brainvta.com 客服:18140661572(活动咨询、售后反馈等)
销售总监:张经理 18995532642 华东区:陈经理 18013970337 华南区:王经理 13100653525 华中/西区:杨经理 18186518905 华北区:张经理 18893721749
地址:中国武汉东湖高新区光谷七路128号中科开物产业园1号楼
Copyright © 武汉枢密脑科学技术有限公司. All RIGHTS RESERVED.
鄂ICP备2021009124号 DIGITAL BY VTHINK