2024-03-27 阅读量:1701
抑郁症是一种复杂的异质性疾病,目前临床上的一些抗抑郁药物存在着副作用较大、起效较慢等问题。因此,寻找新的抑郁症发病机制及潜在的治疗靶点具有极其重要的意义。
2024年3月21日,中国药科大学药学院洪浩/唐苏苏教授团队联合浙江大学医学院附属精神卫生中心王浩研究员课题组在《神经元》(Neuron)杂志发表了题为TGR5-mediated lateral hypothalamus-dCA3-dorsolateral septum circuit regulates depressive-like behavior in male mice的研究论文。该研究综合运用光纤记录、光遗传学、化学遗传学和膜片钳电生理等实验方法,发现胆汁酸受体TGR5通过外侧下丘脑→海马CA3→背外侧隔核三级环路介导抑郁的发生。李须逸博士和硕士生张诗雅为本文的共同第一作者。中国药科大学洪浩教授、浙江大学医学院附属精神卫生中心王浩研究员和中国药科大学唐苏苏副教授为本研究的共同通讯作者。本研究受到科技部2030—“脑科学与类脑研究”重大项目、国家自然科学基金委等资助。

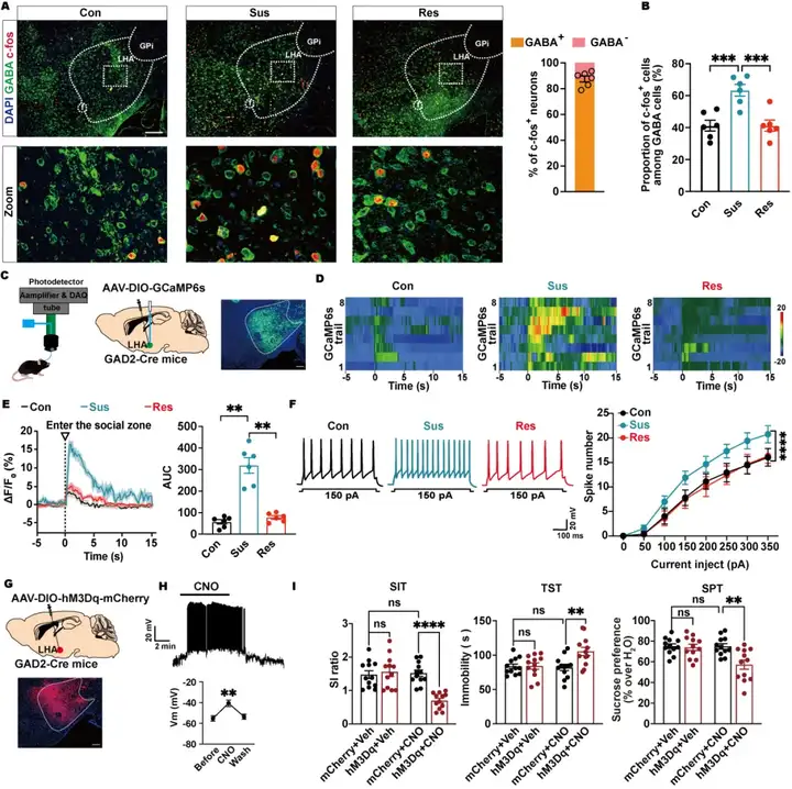
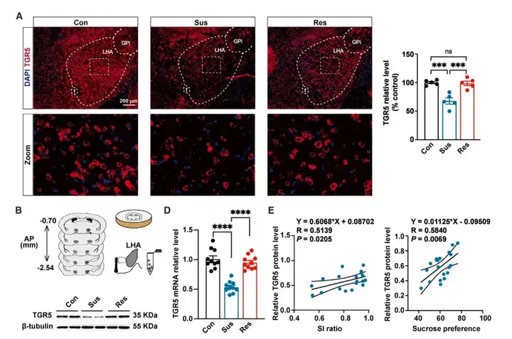
采用慢性社会挫败应激(Chronic social defeat stress,CSDS)方法构建小鼠抑郁模型,发现外侧下丘脑(Lateral hypothalamus, LHA)内TGR5表达明显下降,并且发现LHA脑区中TGR5表达水平与抑郁样行为呈正相关。
c-fos免疫荧光实验显示,经历慢性应激的抑郁易感小鼠LHA GABA能神经元被激活;同时光纤记录和膜片钳电生理实验显示,慢性应激激活了LHA GABA能神经元。通过化学遗传学激活LHA GABA能神经元增加了小鼠的抑郁样行为。这些结果表明,LHA脑区GABA能神经元参与了抑郁样行为的调节。
利用定制病毒特异性敲减/过表达LHA GABA神经元上TGR5观察小鼠抑郁样行为的相关指标。发现特异性敲减LHA GABA能神经元上TGR5增加小鼠的抑郁样行为;同时特异性过表达LHA GABA能神经元上TGR5改善小鼠的抑郁样行为。在LHA脑区给予TGR5激动剂拮抗了化学遗传学激活LHA GABA能神经元所导致的抑郁样行为。这些结果表明,LHA脑区GABA能神经元上TGR5参与小鼠抑郁样行为的调节。
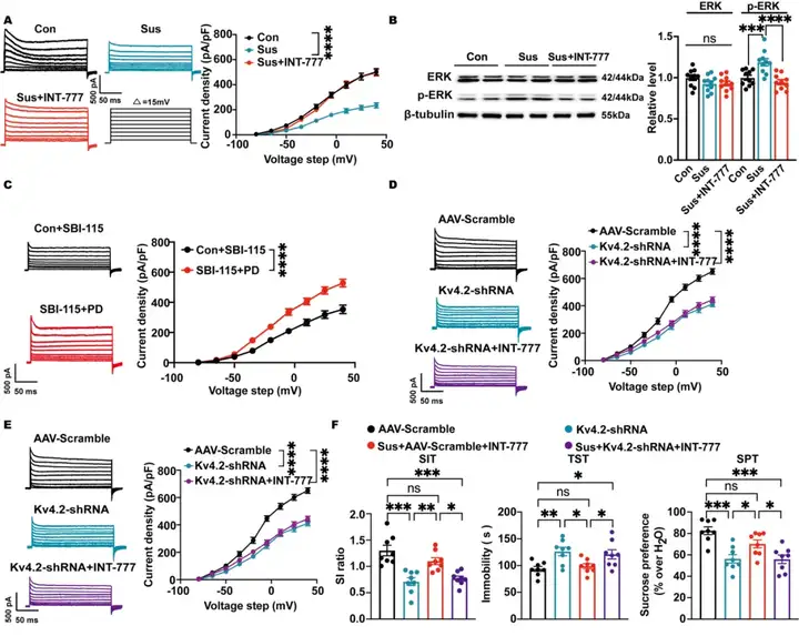
LHA脑区GABA能神经元上TGR5参与小鼠抑郁样行为的调节,那么其机制是什么?研究发现抑郁易感小鼠LHA GABA能神经元的瞬时A型钾离子电流显著减少,ERK磷酸化水平显著增加,而给予TGR5选择性激动剂INT-777能够明显逆转瞬时A型钾离子电流的减少与ERK磷酸化水平的异常改变。进一步研究发现,抑郁易感小鼠LHA GABA能神经元上钾通道Kv4.2表达减少,特异性敲减LHA GABA能神经元上钾通道Kv4.2抑制了TGR5激动剂的抗抑郁作用。这些研究表明,TGR5通过ERK依赖的钾通道Kv4.2调节LHA GABA能性神经元的兴奋性。
图4. TGR5通过ERK依赖的Kv4.2通道调节LHA GABA神经元兴奋性
为了研究LHA GABA神经元的投射下游脑区,通过顺向跨突触病毒、逆向跨单突触狂犬病毒和膜片钳电生理实验,验证了LHAGABA → dCA3CaMKIIa → DLSGABA一条特异性的三级神经环路的存在。
图5. LHAGABA → dCA3CaMKIIa → DLSGABA三级神经环路
已经验证了三级神经环路的存在,那么TGR5是否通过这条三级神经环路参与抑郁样行为的调节?通过药理学结合化学遗传学方法,在LHA局部套管给予TGR5激动剂INT-777拮抗了化学遗传学激活下游dCA3CaMKIIa → DLSGABA神经环路所引起的抑郁样行为。上述结果表明,TGR5通过LHAGABA → dCA3CaMKIIa → DLSGABA神经环路介导抑郁发生。
这项研究首次发现外侧下丘脑的胆汁酸受体TGR5表达下调,以及LHA GABA能神经元介导的神经环路兴奋性异常升高,可能导致抑郁症的发生。这一发现为临床抑郁症的发病机制提供了新的理论基础,并揭示了潜在的干预靶点。
图7. TGR5通过LHAGABA → dCA3CaMKIIa → DLSGABA环路参与抑郁样行为调节
通讯作者介绍
洪浩,中国药科大学药学院药理系,教授。研究方向:阿尔茨海默病、抑郁症及其相关精神疾病的发病机制与创新药物研究;药物成瘾机制与干预药物。
王浩,浙江大学医学院附属精神卫生中心,研究员。研究方向:恐惧、疼痛等负性情绪及其相关精神疾病的发病机制。
唐苏苏,中国药科大学药学院药理系,副教授。研究方向:阿尔茨海默病、焦虑及其相关精神疾病的药物新靶标发现及新药研究。
本文使用的来自枢密科技的病毒产品,列表如下:


了解产品及服务
请扫码或添加客服微信:BrainVTA2020

市场:027-65023363 行政/人事:027-62439686 邮箱:marketing@brainvta.com 客服:18140661572(活动咨询、售后反馈等)
销售总监:张经理 18995532642 华东区:陈经理 18013970337 华南区:王经理 13100653525 华中/西区:杨经理 18186518905 华北区:张经理 18893721749
地址:中国武汉东湖高新区光谷七路128号中科开物产业园1号楼
Copyright © 武汉枢密脑科学技术有限公司. All RIGHTS RESERVED.
鄂ICP备2021009124号 DIGITAL BY VTHINK