2023-03-23 阅读量:1499
癫痫,是最常见的神经系统性疾病之一,发病率接近1%,其中约30%颞叶性癫痫患者会逐渐发展为药物难治性癫痫,此部分患者除手术外,治疗方法十分有限。药物难治性癫痫患者致痫区的两大主要病理学特征是神经元死亡和胶质瘢痕的产生,胶质瘢痕的主要组成细胞之一是反应性星形胶质细胞。反应性星形胶质细胞在老年痴呆症、多发性硬化症等多种神经系统性疾病中被发现,与疾病进展密切相关。然而,在颞叶性癫痫中,反应性星形胶质细胞功能作用及其分子特征仍不清楚。
2023年3月20日,南京大学生命科学学院闫超教授、陈迪俊教授联合南京鼓楼医院刘翔宇主任医师团队在Nature Neuroscience在线发表题为“Lipid-accumulated reactive astrocytes promote disease progression in epilepsy”的研究论文。这项研究首次揭示颞叶性癫痫患者大脑中存在一种全新的反应性星形胶质细胞亚型,其显著病理特征是星形胶质细胞存在异常的脂质堆积;这些脂质堆积的反应性星形胶质细胞(lipid-accumulated reactive astrocyte, LARA)以依赖APOE的方式形成,表现出独特的脂代谢和脂转移相关的分子表达谱。并通过上调腺苷A2A受体表达,减少对谷氨酸的重摄取,从而加剧神经元的兴奋性,促进颞叶性癫痫的疾病进展。

Nature Neuroscience期刊进行亮点报道同期还对该工作以“Abnormal lipidmetabolismshapes astrocytereactivity inpatients withepilepsy”为题进行Research Briefing专题报道。

结果
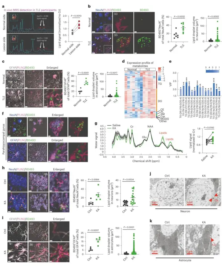
研究人员首先分析了耐药性颞叶性癫痫(temporal lobe epilepsy,TLE)患者的磁共振成像波谱数据,发现同一患者的致痫侧与健侧相比,存在明显的脂质信号增强,表明脂质在致痫侧的异常堆积。进一步的免疫荧光、脂质代谢组学数据共同表明,致痫灶中的异常脂质堆积是耐药性TLE患者的一个重要病理特征,并且脂质异常堆积主要发生在神经元和星形胶质细胞中(图1)。
研究人员首先分析了耐药性颞叶性癫痫(temporal lobe epilepsy,TLE)患者的磁共振成像波谱数据,发现同一患者的致痫侧与健侧相比,存在明显的脂质信号增强,表明脂质在致痫侧的异常堆积。进一步的免疫荧光、脂质代谢组学数据共同表明,致痫灶中的异常脂质堆积是耐药性TLE患者的一个重要病理特征,并且脂质异常堆积主要发生在神经元和星形胶质细胞中(图1)。
图1.TLE病人和动物模型脂滴异常累积。
为了探究异常的脂堆积是否会导致脂代谢相关基因的表达变化,研究人员收集了4例耐药性TLE患者和4例与之年龄匹配的正常人脑组织样本进行了单核RNA测序(snRNA-seq)分析,结果发现TLE患者的神经元、星形胶质细胞都存在脂代谢和转运的信号通路异常激活,其中星形胶质细胞尤为显著,并且APOE在星形胶质细胞中显著高表达(图2)。
图2.TLE病人脂代谢和转运通路异常。
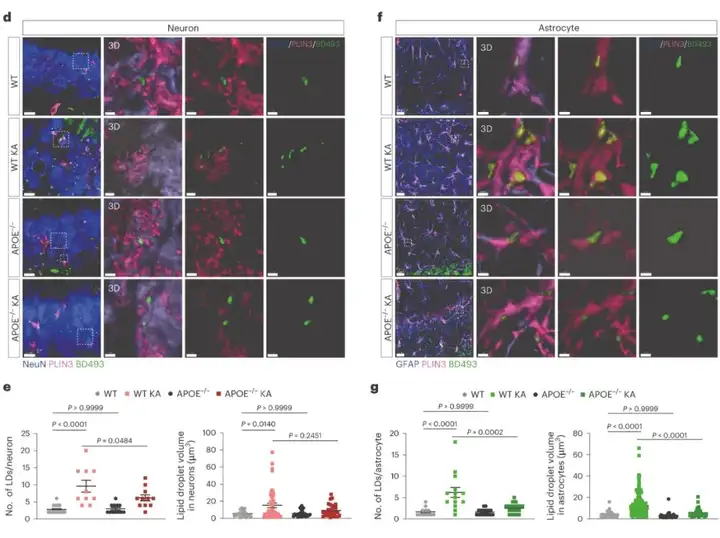
为了探究APOE高表达是否是星形胶质细胞脂质堆积的必要条件,研究人员对野生型颞叶性癫痫小鼠和APOE敲除的癫痫小鼠海马区脂堆积情况进行了比较,发现APOE敲除对神经元内的脂堆积没有明显影响,但是,却显著地阻断星形胶质细胞上的脂堆积(图3)。
图3.敲除APOE阻断星形胶质细胞脂质累积。
于是,他们提出了假说:在慢性癫痫条件下,脂质首先在神经元中堆积,星形胶质细胞来源的APOE将脂质转运进星形胶质细胞内,造成了星形胶质细胞的脂堆积。进一步的离体神经元-星形胶质细胞共培养实验,星形胶质细胞APOE特异性敲除的癫痫小鼠模型实验对这一假说进行了验证(图4)。
图4.特异性敲除星形胶质细胞APOE阻断其脂质累积。
那么这群高表达APOE并且脂异常堆积的星形胶质细胞是否是一种特定的星形胶质细胞亚群?在癫痫中的作用是什么?研究人员对单核RNA测序数据进行进一步分析,并将星形胶质细胞集群分为6个亚群,其中有一个亚群中脂质代谢和转运相关的基因显著高表达功能,该亚群也表现出最高的APOE表达水平,该亚群的转录组特征与之前已报道过的反应性星形胶质细胞亚型的转录特征都不一样,是一个全新的亚型,因此,他们定义这个亚群为脂堆积的反应性星形胶质细胞,并命名为LARA(图5)。
图5.APOE介导了LARA的形成。
APOE与LARA形成之间存在什么联系?他们对野生型颞叶性癫痫小鼠和APOE KO颞叶性癫痫小鼠海马区进行了转录组测序,发现APOE KO逆转了绝大部分LARA相关基因的表达水平,证明APOE是LARA形成的必要条件(图5g)。
接下来,他们对LARA在颞叶性癫痫中的功能表型进行了探究,发现不论是APOE KO还是APOE cKO,都能够改善颞叶性癫痫小鼠的癫痫发作次数和持续时间以及离体脑片的癫痫样事件的发生次数和持续时间,说明LARA具有促癫痫的作用(图6)。
图6.LARA促进癫痫样脑电活动异常。
最后,他们还探究了LARA促癫痫的潜在机制,发现LARA通过腺苷A2AR来发挥促癫痫作用,不论是使用抑制剂抑制腺苷A2AR,还是使用病毒特异性敲低星胶上的腺苷A2AR,都能够改善颞叶性癫痫小鼠的癫痫发作次数和持续时间以及离体脑片的癫痫样事件的发生次数和持续时间(图7)。
图7.LARA通过表达A2AR诱导神经元放电活动异常。
结论
综上,本研究首次发现在耐药性癫痫患者致痫区存在异常脂堆积,确定了脂质代谢失调在癫痫病理中的一个前所未知的作用,定义了一种新的反应性星形细胞亚型——脂质堆积型反应性星形细胞(LARA),并分析了它们在癫痫中的分子和功能表型,首次揭示了APOE在癫痫疾病进展中的作用,并为耐药性癫痫提供了新的治疗策略。
图8.本项目的假说示意图

扫码下载原文
南京大学生命科学学院闫超教授、南京大学医学院附属鼓楼医院刘翔宇主任医师、南京大学生命科学学院陈迪俊教授为该论文的通讯作者,南京大学生命科学学院陈张朋研究员为该论文第一作者兼通讯作者。南京大学生命科学学院博士生王素吉、赵贤森、方雯为该论文共同第一作者。研究论文得到了西湖大学彭诗宇副研究员的指导与建议,在此表示感谢。
闫超教授课题组合照
通讯作者介绍:
闫超,教授,博士生导师,南京大学生理系系主任,南京大学人工智能生物医药技术研究院执行院长,海外高层次人才计划获得者,江苏省双创人才,江苏省双创团队领军人才,南京市顶.尖专家。课题组长期从事RAS相关肿瘤药理学和神经药理学的相关科学研究,研究兴趣与方向包括:
1.利用AI结合合成生物学原理设计、合成和筛选抗癌药物并进行药理学和毒理学评价。
2.大.麻素抗肿瘤和神经系统疾病的药理学机制研究。

本文使用的来自枢密科技的病毒产品,列表如下:



市场:027-65023363 行政/人事:027-62439686 邮箱:marketing@brainvta.com 客服:18140661572(活动咨询、售后反馈等)
销售总监:张经理 18995532642 华东区:陈经理 18013970337 华南区:王经理 13100653525 华中/西区:杨经理 18186518905 华北区:张经理 18893721749
地址:中国武汉东湖高新区光谷七路128号中科开物产业园1号楼
Copyright © 武汉枢密脑科学技术有限公司. All RIGHTS RESERVED.
鄂ICP备2021009124号 DIGITAL BY VTHINK