Cn|En

现货抗体产品库

Op18 Rabbit Polyclonal Antibody

产品详情 相关文献 产品问答 相关产品

产品基本信息

产品货号
BD-PT3462
产品名称
Op18 Rabbit Polyclonal Antibody
别名
STMN1; C1orf215; LAP18; OP18; Stathmin; Leukemia-associated phosphoprotein p18; Metablastin; Oncoprotein 18; Op18; Phosphoprotein p19; pp19; Prosolin; Protein Pr22; pp17
类别
常规抗体
基因名称
STMN1
蛋白名称
Stathmin
推荐应用
WB
反应种属
Human,Mouse,Rat
浓度
1 mg/ml
存储缓冲液
Liquid in PBS containing 50% glycerol, 0.5% BSA and 0.02% New type preservative N.
Human Gene ID
3925
Human Gene Link
http://www.ncbi.nlm.nih.gov/sites/entrez?db=gene&term=3925
Human Swissprot No.
P16949
Human Swissprot Link
http://www.uniprot.org/uniprotkb/P16949/entry
Mouse Gene ID
16765
Mouse Gene Link
http://www.ncbi.nlm.nih.gov/sites/entrez?db=gene&term=16765
Mouse Swissprot No.
P54227
Mouse Swissprot Link
http://www.uniprot.org/uniprot/P54227
Rat Gene ID
29332
Rat Gene Link
http://www.ncbi.nlm.nih.gov/sites/entrez?db=gene&term=29332
Rat Swissprot No.
P13668
Rat Swissprot Link
http://www.uniprot.org/uniprot/P13668
免疫原
The antiserum was produced against synthesized peptide derived from human Stathmin 1. AA range:9-58
特异性
Op18 Polyclonal Antibody detects endogenous levels of Op18 protein.
稀释度
WB 1:500 - 1:2000. IHC 1:100 - 1:300. IF 1:200 - 1:1000. ELISA: 1:10000. Not yet tested in other applications.
预测分子量
19kD
运输及保存条件
-20°C/1 year
宿主
Polyclonal, Rabbit,IgG
背景介绍
This gene belongs to the stathmin family of genes. It encodes a ubiquitous cytosolic phosphoprotein proposed to function as an intracellular relay integrating regulatory signals of the cellular environment. The encoded protein is involved in the regulation of the microtubule filament system by destabilizing microtubules. It prevents assembly and promotes disassembly of microtubules. Multiple transcript variants encoding different isoforms have been found for this gene. [provided by RefSeq, Feb 2009],
组织表达
Ubiquitous. Expression is strongest in fetal and adult brain, spinal cord, and cerebellum, followed by thymus, bone marrow, testis, and fetal liver. Expression is intermediate in colon, ovary, placenta, uterus, and trachea, and is readily detected at substantially lower levels in all other tissues examined. Lowest expression is found in adult liver. Present in much greater abundance in cells from patients with acute leukemia of different subtypes than in normal peripheral blood lymphocytes, non-leukemic proliferating lymphoid cells, bone marrow cells, or cells from patients with chronic lymphoid or myeloid leukemia.
细胞定位
Cytoplasm, cytoskeleton.
信号通路
MAPK_ERK_Growth;MAPK_G_Protein;
功能
disease:Present in much greater abundance in cells from patients with acute leukemia of different subtypes than in normal peripheral blood lymphocytes, non-leukemic proliferating lymphoid cells, bone marrow cells, or cells from patients with chronic lymphoid or myeloid leukemia.,function:Involved in the regulation of the microtubule (MT) filament system by destabilizing microtubules. Prevents assembly and promotes disassembly of microtubules. Phosphorylation at Ser-16 may be required for axon formation during neurogenesis. Involved in the control of the learned and innate fear.,PTM:Many different phosphorylated forms are observed depending on specific combinations among the sites which can be phosphorylated. MAPK is responsible for the phosphorylation of stathmin in response to NGF. Phosphorylation at Ser-16 seems to be required for neuron polarization (By similarity). Phosphorylation at Ser-63 reduces tubulin binding 10-fold and suppresses the MT polymerization inhibition activity.,similarity:Belongs to the stathmin family.,subunit:Binds to two alpha/beta-tubulin heterodimers. Interacts with KIST.,tissue specificity:Ubiquitous. Expression is strongest in fetal and adult brain, spinal cord, and cerebellum, followed by thymus, bone marrow, testis, and fetal liver. Expression is intermediate in colon, ovary, placenta, uterus, and trachea, and is readily detected at substantially lower levels in all other tissues examined. Lowest expression is found in adult liver.,
期货
现货
纯化
The antibody was affinity-purified from rabbit antiserum by affinity-chromatography using epitope-specific immunogen.

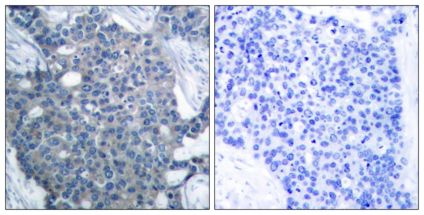
Immunohistochemistry analysis of paraffin-embedded human breast carcinoma tissue, using Stathmin 1 Antibody. The picture on the right is blocked with the synthesized peptide.

Western blot analysis of lysates from COS7 cells, treated with PMA 1ng/ml 15‘, using Stathmin 1 Antibody. The lane on the right is blocked with the synthesized peptide.

Western Blot analysis of various cells using Op18 Polyclonal Antibody diluted at 1:500

Western Blot analysis of Jurkat cells using Op18 Polyclonal Antibody diluted at 1:500

Immunohistochemical analysis of paraffin-embedded Human testis. 1, Antibody was diluted at 1:100(4°,overnight). 2, High-pressure and temperature EDTA, pH8.0 was used for antigen retrieval. 3,Secondary antibody was diluted at 1:200(room temperature, 30min).

Immunohistochemical analysis of paraffin-embedded Human testis. 1, Antibody was diluted at 1:100(4°,overnight). 2, High-pressure and temperature EDTA, pH8.0 was used for antigen retrieval. 3,Secondary antibody was diluted at 1:200(room temperature, 30min).

相关文献

产品问答

相关产品

免责声明| 法律支持| 联系方式

市场:027-65023363   行政/人事:027-62439686   邮箱:marketing@brainvta.com   客服:18140661572(活动咨询、售后反馈等)

销售总监:张经理  18995532642  华东区:陈经理 18013970337   华南区:王经理 13100653525   华中/西区:杨经理 18186518905   华北区:张经理 18893721749

地址:中国武汉东湖高新区光谷七路128号中科开物产业园1号楼

Copyright © 武汉枢密脑科学技术有限公司. All RIGHTS RESERVED.
鄂ICP备2021009124号 DIGITAL BY VTHINK