Cn|En

现货抗体产品库

Neuralized-1 Rabbit Polyclonal Antibody

产品详情 相关文献 产品问答 相关产品

产品基本信息

产品货号
BD-PT3052
产品名称
Neuralized-1 Rabbit Polyclonal Antibody
别名
NEURL; NEURL1; NEURL1A; RNF67; Neuralized-like protein 1A; h-neu; h-neuralized 1; RING finger protein 67
类别
常规抗体
基因名称
NEURL
蛋白名称
Neuralized-like protein 1A
推荐应用
WB
反应种属
Human,Rat,Mouse
浓度
1 mg/ml
存储缓冲液
Liquid in PBS containing 50% glycerol, 0.5% BSA and 0.02% New type preservative N.
Human Gene ID
9148
Human Gene Link
http://www.ncbi.nlm.nih.gov/sites/entrez?db=gene&term=9148
Human Swissprot No.
O76050
Human Swissprot Link
http://www.uniprot.org/uniprotkb/O76050/entry
Mouse Swissprot No.
Q923S6
Mouse Swissprot Link
http://www.uniprot.org/uniprot/Q923S6
免疫原
The antiserum was produced against synthesized peptide derived from human NEURL1. AA range:219-268
特异性
Neuralized-1 Polyclonal Antibody detects endogenous levels of Neuralized-1 protein.
稀释度
WB 1:500 - 1:2000. IHC 1:100 - 1:300. ELISA: 1:40000.. IF 1:50-200
预测分子量
62kD
运输及保存条件
-20°C/1 year
宿主
Polyclonal, Rabbit,IgG
背景介绍
NEURL1B (neuralized homolog 1B), also known as neur2 or NEURL3, is a 555 amino acid protein that functions as an E3 ubiquitin-protein ligase. Involved in protein ubiquitination, NEURL1B contains two NHR (neuralized homology repeat) domains and one RING-type zinc finger. NEURL4 (neuralized homolog 4 (Drosophila)), also known as neuralized-like protein 4, is a 1,562 amino acid protein that is highly expressed in a wide variety of tissues. Containing six NHR (neuralized homology repeat) domains, NEURL4 exists as two alternatively spliced isoforms that are encoded by a gene that maps to human chromosome 17p13.1.
组织表达
Expressed in brain, testis, pituitary gland, pancreas and bone marrow. Also poorly expressed in malignant astrocytomas and several neuroectodermal tumor cell lines. Weakly expressed in medulloblastoma (MB) compared with normal cerebellar tissues.
细胞定位
Cytoplasm, perinuclear region . Cell membrane ; Peripheral membrane protein . Perikaryon . Cell projection, dendrite . Cell junction, synapse, postsynaptic density . Localized in the cell bodies of the pyramidal neurons and distributed along their apical dendrites. Colocalized with PSD95 in postsynaptic sites. Colocalized with CPEB3 at apical dendrites of CA1 neurons (By similarity). Colocalized with JAG1 at the cell surface. .
功能
microtubule cytoskeleton organization,?microtubule bundle formation,?reproductive developmental process,?cell motion,cytoskeleton organization,?microtubule-based process,?gamete generation,?germ cell development,?spermatogenesis,spermatid development,?sperm axoneme assembly,?lactation,?flagellum assembly,?cellular component assembly involved in morphogenesis,?sexual reproduction,?cell projection organization,?cell projection assembly,?sperm motility,mammary gland development,?multicellular organism reproduction,?cellular component morphogenesis,?axoneme assembly,?flagellar axoneme assembly,?flagellum organization,?male gamete generation,?spermatid differentiation,reproductive process in a multicellular organism,?reproductive cellular process,?gland development,?cell motility,localization of cell,
期货
现货
纯化
The antibody was affinity-purified from rabbit antiserum by affinity-chromatography using epitope-specific immunogen.

Western blot analysis of lysates from MCF-7 cells, using NEURL1 Antibody. The lane on the right is blocked with the synthesized peptide.

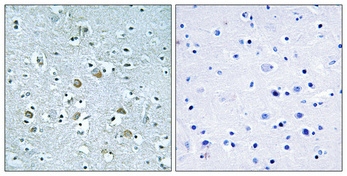
Immunohistochemical analysis of paraffin-embedded Human brain. Antibody was diluted at 1:100(4°,overnight). High-pressure and temperature Tris-EDTA,pH8.0 was used for antigen retrieval. Negetive contrl (right) obtaned from antibody was pre-absorbed by immunogen peptide.

相关文献

产品问答

相关产品

免责声明| 法律支持| 联系方式

市场:027-65023363   行政/人事:027-62439686   邮箱:marketing@brainvta.com   客服:18140661572(活动咨询、售后反馈等)

销售总监:张经理  18995532642  华东区:陈经理 18013970337   华南区:王经理 13100653525   华中/西区:杨经理 18186518905   华北区:张经理 18893721749

地址:中国武汉东湖高新区光谷七路128号中科开物产业园1号楼

Copyright © 武汉枢密脑科学技术有限公司. All RIGHTS RESERVED.
鄂ICP备2021009124号 DIGITAL BY VTHINK