Cn|En

现货抗体产品库

Na+ CP type IIα Rabbit Polyclonal Antibody

产品详情 相关文献 产品问答 相关产品

产品基本信息

产品货号
BD-PT2964
产品名称
Na+ CP type IIα Rabbit Polyclonal Antibody
别名
SCN2A; NAC2; SCN2A1; SCN2A2; Sodium channel protein type 2 subunit alpha; HBSC II; Sodium channel protein brain II subunit alpha; Sodium channel protein type II subunit alpha; Voltage-gated sodium channel subunit alpha Nav1.2
类别
常规抗体
基因名称
SCN2A
蛋白名称
Sodium channel protein type 2 subunit alpha
推荐应用
WB
反应种属
Human,Mouse,Rat
浓度
1 mg/ml
存储缓冲液
Liquid in PBS containing 50% glycerol, 0.5% BSA and 0.02% New type preservative N.
Human Gene ID
6326
Human Gene Link
http://www.ncbi.nlm.nih.gov/sites/entrez?db=gene&term=6326
Human Swissprot No.
Q99250
Human Swissprot Link
http://www.uniprot.org/uniprotkb/Q99250/entry
Rat Gene ID
24766
Rat Gene Link
http://www.ncbi.nlm.nih.gov/sites/entrez?db=gene&term=24766
Rat Swissprot No.
P04775
Rat Swissprot Link
http://www.uniprot.org/uniprot/P04775
免疫原
Synthesized peptide derived from the Internal region of human Na+ CP type IIα.
特异性
Na+ CP type IIα Polyclonal Antibody detects endogenous levels of Na+ CP type IIα protein.
稀释度
WB 1:500-2000
参考分子量
228kD
运输及保存条件
-20°C/1 year
宿主
Polyclonal, Rabbit,IgG
背景介绍
Voltage-gated sodium channels are transmembrane glycoprotein complexes composed of a large alpha subunit with 24 transmembrane domains and one or more regulatory beta subunits. They are responsible for the generation and propagation of action potentials in neurons and muscle. This gene encodes one member of the sodium channel alpha subunit gene family. It is heterogeneously expressed in the brain, and mutations in this gene have been linked to several seizure disorders. Several alternatively spliced transcript variants of this gene have been described, but the full-length nature of some of these variants has not been determined. [provided by RefSeq, Jul 2008],
组织表达
Brain,
细胞定位
Cell membrane ; Multi-pass membrane protein .
功能
disease:Defects in SCN2A are a cause of generalized epilepsy with febrile seizures plus (GEFS+) [MIM:604233]. Generalized epilepsy with febrile seizures-plus refers to a rare autosomal dominant, familial condition with incomplete penetrance and large intrafamilial variability. Patients display febrile seizures persisting sometimes beyond the age of 6 years and/or a variety of afebrile seizure types. GEFS+ is a disease combining febrile seizures, generalized seizures often precipitated by fever at age 6 years or more, and partial seizures, with a variable degree of severity.,disease:Defects in SCN2A are the cause of benign familial infantile convulsions type 3 (BFIC3) [MIM:607745]. BFIC3 is an autosomal dominant disorder in which afebrile seizures occur in clusters during the first year of life, without neurologic sequelae.,domain:The sequence contains 4 internal repeats, each with 5 hydrophobic segments (S1,S2,S3,S5,S6) and one positively charged segment (S4). Segments S4 are probably the voltage-sensors and are characterized by a series of positively charged amino acids at every third position.,function:Mediates the voltage-dependent sodium ion permeability of excitable membranes. Assuming opened or closed conformations in response to the voltage difference across the membrane, the protein forms a sodium-selective channel through which Na(+) ions may pass in accordance with their electrochemical gradient.,PTM:May be ubiquitinated by NEDD4L; which would promote its endocytosis.,similarity:Belongs to the sodium channel family.,similarity:Contains 1 IQ domain.,subunit:The sodium channel consists of a large polypeptide and 2-3 smaller ones. This sequence represents a large polypeptide. Interacts with NEDD4L.,
期货
现货
纯化
The antibody was affinity-purified from rabbit antiserum by affinity-chromatography using epitope-specific immunogen.

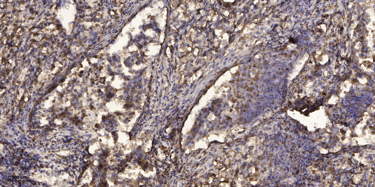
Immunohistochemical analysis of paraffin-embedded human tonsil. 1, Antibody was diluted at 1:200(4° overnight). 2, Tris-EDTA,pH9.0 was used for antigen retrieval. 3,Secondary antibody was diluted at 1:200(room temperature, 45min).

相关文献

产品问答

相关产品

免责声明| 法律支持| 联系方式

市场:027-65023363   行政/人事:027-62439686   邮箱:marketing@brainvta.com   客服:18140661572(活动咨询、售后反馈等)

销售总监:张经理  18995532642  华东区:陈经理 18013970337   华南区:王经理 13100653525   华中/西区:杨经理 18186518905   华北区:张经理 18893721749

地址:中国武汉东湖高新区光谷七路128号中科开物产业园1号楼

Copyright © 武汉枢密脑科学技术有限公司. All RIGHTS RESERVED.
鄂ICP备2021009124号 DIGITAL BY VTHINK