Cn|En

现货抗体产品库

mTERF Rabbit Polyclonal Antibody

产品详情 相关文献 产品问答 相关产品

产品基本信息

产品货号
BD-PT2908
产品名称
mTERF Rabbit Polyclonal Antibody
别名
MTERF; Transcription termination factor; mitochondrial; Mitochondrial transcription termination factor 1; mTERF
类别
常规抗体
基因名称
MTERF
蛋白名称
Transcription termination factor mitochondrial
推荐应用
WB
反应种属
Human,Rat,Mouse
浓度
1 mg/ml
存储缓冲液
Liquid in PBS containing 50% glycerol, 0.5% BSA and 0.02% New type preservative N.
Human Gene ID
7978
Human Gene Link
http://www.ncbi.nlm.nih.gov/sites/entrez?db=gene&term=7978
Human Swissprot No.
Q99551
Human Swissprot Link
http://www.uniprot.org/uniprotkb/Q99551/entry
Mouse Swissprot No.
Q8CHZ9
Mouse Swissprot Link
http://www.uniprot.org/uniprot/Q8CHZ9
免疫原
The antiserum was produced against synthesized peptide derived from human MTERF. AA range:267-316
特异性
mTERF Polyclonal Antibody detects endogenous levels of mTERF protein.
稀释度
WB 1:500 - 1:2000. IHC 1:100 - 1:300. ELISA: 1:10000.. IF 1:50-200
预测分子量
46kD
运输及保存条件
-20°C/1 year
宿主
Polyclonal, Rabbit,IgG
背景介绍
This gene encodes a mitochondrial transcription termination factor. This protein participates in attenuating transcription from the mitochondrial genome; this attenuation allows higher levels of expression of 16S ribosomal RNA relative to the tRNA gene downstream. The product of this gene has three leucine zipper motifs bracketed by two basic domains that are all required for DNA binding. There is evidence that, for this protein, the zippers participate in intramolecular interactions that establish the three-dimensional structure required for DNA binding. [provided by RefSeq, Jul 2008],
组织表达
Brain,Colon,Placenta,Uterus,
细胞定位
Mitochondrion.
功能
domain:Composed of three leucine zippers, one of which is bipartite, and two widely spaced basic domains. There is evidence that the leucine zippers form and intramolecular three-stranded coiled-coil that brings the basic domains together to form a DNA-binding motif.,function:Transcription termination factor. Binds to a 28 bp region within the tRNA(Leu(uur)) gene at a position immediately adjacent to and downstream of the 16S rRNA gene, this region comprises a tridecamer sequence critical for directing accurate termination. Probably requires one or more components for termination activity.,PTM:Phosphoprotein with mostly four phosphate groups. While the DNA-binding activity is unaffected by the phosphorylation state, only the phosphorylated form of the protein is active for termination activity. Functioning seems to be regulated by phosphorylation.,similarity:Belongs to the mTERF family.,subunit:Monomer.,
期货
现货
纯化
The antibody was affinity-purified from rabbit antiserum by affinity-chromatography using epitope-specific immunogen.

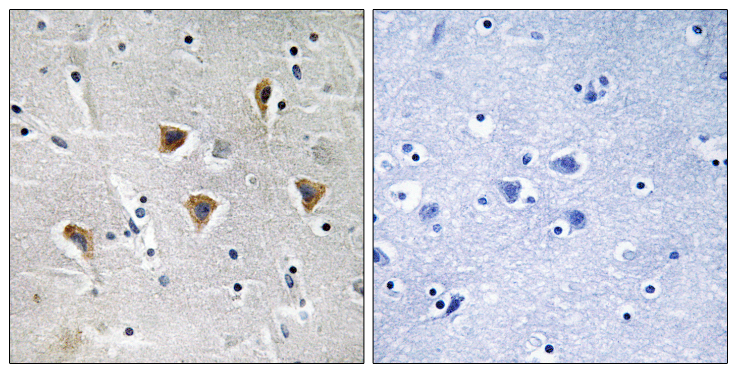
Immunohistochemistry analysis of paraffin-embedded human brain tissue, using MTERF Antibody. The picture on the right is blocked with the synthesized peptide.

Western blot analysis of lysates from Jurkat cells, using MTERF Antibody. The lane on the right is blocked with the synthesized peptide.

Western blot analysis of the lysates from HUVECcells using MTERF antibody.

相关文献

产品问答

相关产品

免责声明| 法律支持| 联系方式

市场:027-65023363   行政/人事:027-62439686   邮箱:marketing@brainvta.com   客服:18140661572(活动咨询、售后反馈等)

销售总监:张经理  18995532642  华东区:陈经理 18013970337   华南区:王经理 13100653525   华中/西区:杨经理 18186518905   华北区:张经理 18893721749

地址:中国武汉东湖高新区光谷七路128号中科开物产业园1号楼

Copyright © 武汉枢密脑科学技术有限公司. All RIGHTS RESERVED.
鄂ICP备2021009124号 DIGITAL BY VTHINK