Cn|En

现货抗体产品库

MRP-L51 Rabbit Polyclonal Antibody

产品详情 相关文献 产品问答 相关产品

产品基本信息

产品货号
BD-PT2870
产品名称
MRP-L51 Rabbit Polyclonal Antibody
别名
MRPL51; MRP64; CDA09; HSPC241; 39S ribosomal protein L51; mitochondrial; L51mt; MRP-L51; bMRP-64; bMRP64
类别
常规抗体
基因名称
MRPL51
蛋白名称
39S ribosomal protein L51 mitochondrial
推荐应用
WB
反应种属
Human,Mouse
浓度
1 mg/ml
存储缓冲液
Liquid in PBS containing 50% glycerol, 0.5% BSA and 0.02% New type preservative N.
Human Gene ID
51258
Human Gene Link
http://www.ncbi.nlm.nih.gov/sites/entrez?db=gene&term=51258
Human Swissprot No.
Q4U2R6
Human Swissprot Link
http://www.uniprot.org/uniprotkb/Q4U2R6/entry
Mouse Gene ID
66493
Mouse Gene Link
http://www.ncbi.nlm.nih.gov/sites/entrez?db=gene&term=66493
Mouse Swissprot No.
Q9CPY1
Mouse Swissprot Link
http://www.uniprot.org/uniprot/Q9CPY1
免疫原
The antiserum was produced against synthesized peptide derived from human MRPL51. AA range:51-100
特异性
MRP-L51 Polyclonal Antibody detects endogenous levels of MRP-L51 protein.
稀释度
WB 1:500 - 1:2000. IHC 1:100 - 1:300. ELISA: 1:20000.. IF 1:50-200
预测分子量
20kD
运输及保存条件
-20°C/1 year
宿主
Polyclonal, Rabbit,IgG
背景介绍
Mammalian mitochondrial ribosomal proteins are encoded by nuclear genes and help in protein synthesis within the mitochondrion. Mitochondrial ribosomes (mitoribosomes) consist of a small 28S subunit and a large 39S subunit. They have an estimated 75% protein to rRNA composition compared to prokaryotic ribosomes, where this ratio is reversed. Another difference between mammalian mitoribosomes and prokaryotic ribosomes is that the latter contain a 5S rRNA. Among different species, the proteins comprising the mitoribosome differ greatly in sequence, and sometimes in biochemical properties, which prevents easy recognition by sequence homology. This gene encodes a 39S subunit protein. Pseudogenes corresponding to this gene are found on chromosomes 4p and 21q. [provided by RefSeq, Jul 2008],
组织表达
Eye,Pheochromocytoma,Testis,Umbilical cord blood,
细胞定位
Mitochondrion .
功能
subunit:Component of the mitochondrial ribosome large subunit (39S) which comprises a 16S rRNA and about 50 distinct proteins.,
期货
现货
纯化
The antibody was affinity-purified from rabbit antiserum by affinity-chromatography using epitope-specific immunogen.

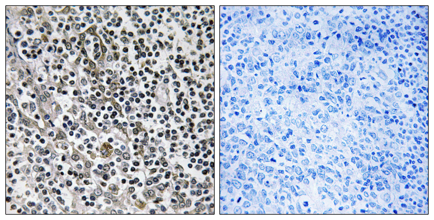
Immunohistochemistry analysis of paraffin-embedded human tonsil tissue, using MRPL51 Antibody. The picture on the right is blocked with the synthesized peptide.

Western blot analysis of lysates from K562 cells, using MRPL51 Antibody. The lane on the right is blocked with the synthesized peptide.

Western blot analysis of the lysates from HUVECcells using MRPL51 antibody.

Western Blot analysis of 293T cells using MRP-L51 Polyclonal Antibody diluted at 1:2000

相关文献

产品问答

相关产品

免责声明| 法律支持| 联系方式

市场:027-65023363   行政/人事:027-62439686   邮箱:marketing@brainvta.com   客服:18140661572(活动咨询、售后反馈等)

销售总监:张经理  18995532642  华东区:陈经理 18013970337   华南区:王经理 13100653525   华中/西区:杨经理 18186518905   华北区:张经理 18893721749

地址:中国武汉东湖高新区光谷七路128号中科开物产业园1号楼

Copyright © 武汉枢密脑科学技术有限公司. All RIGHTS RESERVED.
鄂ICP备2021009124号 DIGITAL BY VTHINK