Cn|En

现货抗体产品库

IL-13Rα1 Rabbit Polyclonal Antibody

产品详情 相关文献 产品问答 相关产品

产品基本信息

产品货号
BD-PT2313
产品名称
IL-13Rα1 Rabbit Polyclonal Antibody
别名
IL13RA1; IL13R; IL13RA; Interleukin-13 receptor subunit alpha-1; IL-13 receptor subunit alpha-1; IL-13R subunit alpha-1; IL-13R-alpha-1; IL-13RA1; Cancer/testis antigen 19; CT19; CD antigen CD213a1
类别
常规抗体
基因名称
IL13RA1
蛋白名称
Interleukin-13 receptor subunit alpha-1
推荐应用
WB
反应种属
Human,Mouse,Rat
浓度
1 mg/ml
存储缓冲液
Liquid in PBS containing 50% glycerol, 0.5% BSA and 0.02% New type preservative N.
Human Gene ID
3597
Human Gene Link
http://www.ncbi.nlm.nih.gov/sites/entrez?db=gene&term=3597
Human Swissprot No.
P78552
Human Swissprot Link
http://www.uniprot.org/uniprotkb/P78552/entry
Mouse Gene ID
16164
Mouse Gene Link
http://www.ncbi.nlm.nih.gov/sites/entrez?db=gene&term=16164
Mouse Swissprot No.
O09030
Mouse Swissprot Link
http://www.uniprot.org/uniprot/O09030
免疫原
The antiserum was produced against synthesized peptide derived from human IL-13R/CD213 alpha1. AA range:371-420
特异性
IL-13Rα1 Polyclonal Antibody detects endogenous levels of IL-13Rα1 protein.
稀释度
WB 1:500 - 1:2000. IHC 1:100 - 1:300. IF 1:200 - 1:1000. ELISA: 1:10000. Not yet tested in other applications.
预测分子量
49kD
运输及保存条件
-20°C/1 year
宿主
Polyclonal, Rabbit,IgG
背景介绍
The protein encoded by this gene is a subunit of the interleukin 13 receptor. This subunit forms a receptor complex with IL4 receptor alpha, a subunit shared by IL13 and IL4 receptors. This subunit serves as a primary IL13-binding subunit of the IL13 receptor, and may also be a component of IL4 receptors. This protein has been shown to bind tyrosine kinase TYK2, and thus may mediate the signaling processes that lead to the activation of JAK1, STAT3 and STAT6 induced by IL13 and IL4. [provided by RefSeq, Jul 2008],
组织表达
Ubiquitous. Highest levels in heart, liver, skeletal muscle and ovary; lowest levels in brain, lung and kidney. Also found in B-cells, T-cells and endothelial cells.
细胞定位
Membrane; Single-pass type I membrane protein.
信号通路
Cytokine-cytokine receptor interaction;Jak_STAT;
功能
domain:The box 1 motif is required for JAK interaction and/or activation.,domain:The WSXWS motif appears to be necessary for proper protein folding and thereby efficient intracellular transport and cell-surface receptor binding.,function:Binds IL13 with a low affinity. Together with IL4R-alpha can form a functional receptor for IL13. Also serves as an alternate accessory protein to the common cytokine receptor gamma chain for IL4 signaling, but cannot replace the function of gamma C in allowing enhanced IL2 binding activity.,similarity:Belongs to the type I cytokine receptor family. Type 5 subfamily.,subunit:Interleukin 13 receptor is a complex of IL4R, IL13RA1, and possibly other components. Interacts with TRAF3IP1.,tissue specificity:Ubiquitous. Highest levels in heart, liver, skeletal muscle and ovary; lowest levels in brain, lung and kidney. Also found in B-cells, T-cells and endothelial cells.,
期货
现货
纯化
The antibody was affinity-purified from rabbit antiserum by affinity-chromatography using epitope-specific immunogen.

Immunofluorescence analysis of NIH/3T3 cells, using IL-13R/CD213 alpha1 Antibody. The picture on the right is blocked with the synthesized peptide.

Immunohistochemistry analysis of paraffin-embedded human breast carcinoma tissue, using IL-13R/CD213 alpha1 Antibody. The picture on the right is blocked with the synthesized peptide.

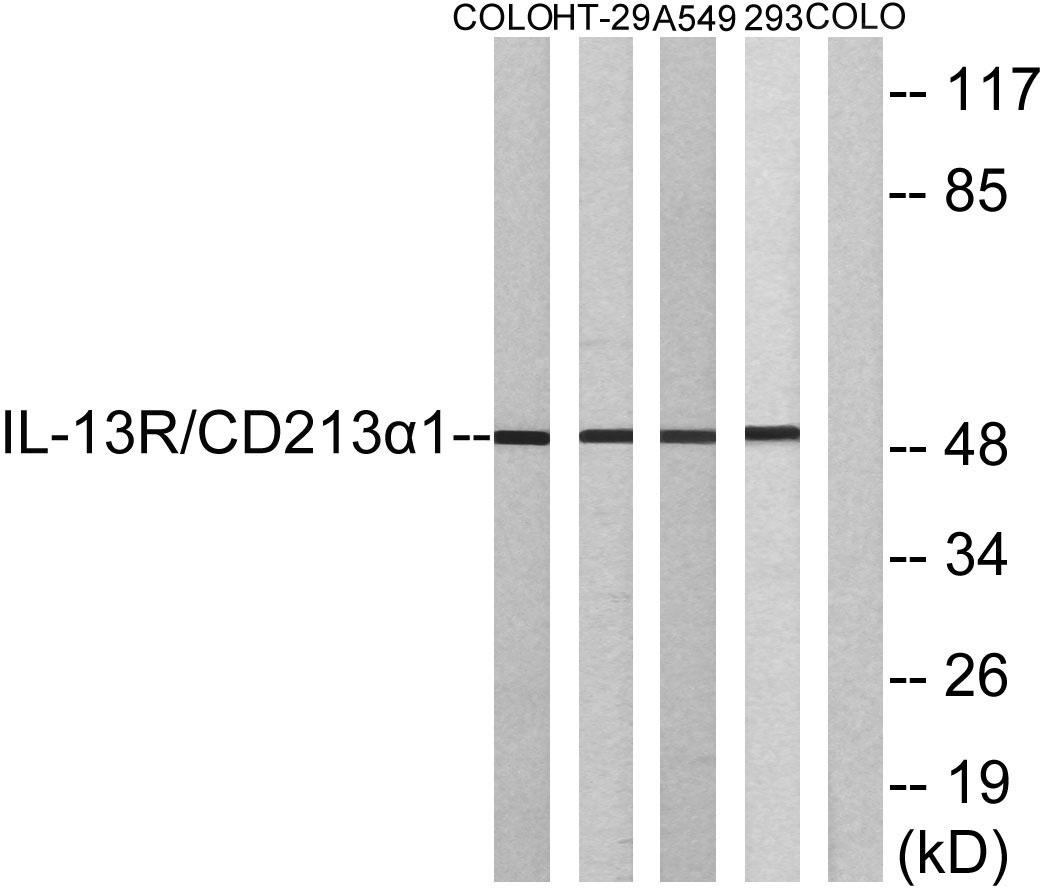
Western blot analysis of lysates from COLO, HT-29, A549, and 293 cells, using IL-13R/CD213 alpha1 Antibody. The lane on the right is blocked with the synthesized peptide.

Western Blot analysis of various cells using IL-13Rα1 Polyclonal Antibody diluted at 1:1000

相关文献

产品问答

相关产品

免责声明| 法律支持| 联系方式

市场:027-65023363   行政/人事:027-62439686   邮箱:marketing@brainvta.com   客服:18140661572(活动咨询、售后反馈等)

销售总监:张经理  18995532642  华东区:陈经理 18013970337   华南区:王经理 13100653525   华中/西区:杨经理 18186518905   华北区:张经理 18893721749

地址:中国武汉东湖高新区光谷七路128号中科开物产业园1号楼

Copyright © 武汉枢密脑科学技术有限公司. All RIGHTS RESERVED.
鄂ICP备2021009124号 DIGITAL BY VTHINK