Cn|En

现货抗体产品库

HPK1 Rabbit Polyclonal Antibody

产品详情 相关文献 产品问答 相关产品

产品基本信息

产品货号
BD-PT2225
产品名称
HPK1 Rabbit Polyclonal Antibody
别名
MAP4K1; HPK1; Mitogen-activated protein kinase kinase kinase kinase 1; Hematopoietic progenitor kinase; MAPK/ERK kinase kinase kinase 1; MEK kinase kinase 1; MEKKK 1
类别
常规抗体
基因名称
MAP4K1
蛋白名称
Mitogen-activated protein kinase kinase kinase kinase 1
推荐应用
WB
反应种属
Human,Mouse
浓度
1 mg/ml
存储缓冲液
Liquid in PBS containing 50% glycerol, 0.5% BSA and 0.02% New type preservative N.
Human Gene ID
11184
Human Gene Link
http://www.ncbi.nlm.nih.gov/sites/entrez?db=gene&term=11184
Human Swissprot No.
Q92918
Human Swissprot Link
http://www.uniprot.org/uniprotkb/Q92918/entry
Mouse Gene ID
26411
Mouse Gene Link
http://www.ncbi.nlm.nih.gov/sites/entrez?db=gene&term=26411
Mouse Swissprot No.
P70218
Mouse Swissprot Link
http://www.uniprot.org/uniprot/P70218
免疫原
The antiserum was produced against synthesized peptide derived from human MEKKK 1. AA range:371-420
特异性
HPK1 Polyclonal Antibody detects endogenous levels of HPK1 protein.
稀释度
WB 1:500 - 1:2000. ELISA: 1:10000.. IF 1:50-200
预测分子量
91kD
运输及保存条件
-20°C/1 year
宿主
Polyclonal, Rabbit,IgG
背景介绍
catalytic activity:ATP + a protein = ADP + a phosphoprotein.,cofactor:Magnesium.,function:May play a role in the response to environmental stress. Appears to act upstream of the JUN N-terminal pathway. May play a role in hematopoietic lineage decisions and growth regulation.,similarity:Belongs to the protein kinase superfamily. STE Ser/Thr protein kinase family. STE20 subfamily.,similarity:Contains 1 CNH domain.,similarity:Contains 1 protein kinase domain.,subunit:Interacts with MAP3K1.,tissue specificity:Expressed primarily in hematopoietic organs, including bone marrow, spleen and thymus. Also expressed at very low levels in lung, kidney, mammary glands and small intestine.,
组织表达
Expressed primarily in hematopoietic organs, including bone marrow, spleen and thymus. Also expressed at very low levels in lung, kidney, mammary glands and small intestine.
细胞定位
intracellular,cytoplasm,membrane,
信号通路
MAPK_ERK_Growth;MAPK_G_Protein;
功能
catalytic activity:ATP + a protein = ADP + a phosphoprotein.,cofactor:Magnesium.,function:May play a role in the response to environmental stress. Appears to act upstream of the JUN N-terminal pathway. May play a role in hematopoietic lineage decisions and growth regulation.,similarity:Belongs to the protein kinase superfamily. STE Ser/Thr protein kinase family. STE20 subfamily.,similarity:Contains 1 CNH domain.,similarity:Contains 1 protein kinase domain.,subunit:Interacts with MAP3K1.,tissue specificity:Expressed primarily in hematopoietic organs, including bone marrow, spleen and thymus. Also expressed at very low levels in lung, kidney, mammary glands and small intestine.,
期货
现货
纯化
The antibody was affinity-purified from rabbit antiserum by affinity-chromatography using epitope-specific immunogen.

Western blot analysis of lysates from HepG2 cells, using MEKKK 1 Antibody. The lane on the right is blocked with the synthesized peptide.

Western blot analysis of the lysates from HUVECcells using MEKKK 1 antibody.

Western Blot analysis of various cells using HPK1 Polyclonal Antibody diluted at 1:1000

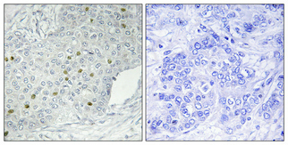
Immunohistochemical analysis of paraffin-embedded Human breast cancer. Antibody was diluted at 1:100(4°,overnight). High-pressure and temperature Tris-EDTA,pH8.0 was used for antigen retrieval. Negetive contrl (right) obtaned from antibody was pre-absorbed by immunogen peptide.

相关文献

产品问答

相关产品

免责声明| 法律支持| 联系方式

市场:027-65023363   行政/人事:027-62439686   邮箱:marketing@brainvta.com   客服:18140661572(活动咨询、售后反馈等)

销售总监:张经理  18995532642  华东区:陈经理 18013970337   华南区:王经理 13100653525   华中/西区:杨经理 18186518905   华北区:张经理 18893721749

地址:中国武汉东湖高新区光谷七路128号中科开物产业园1号楼

Copyright © 武汉枢密脑科学技术有限公司. All RIGHTS RESERVED.
鄂ICP备2021009124号 DIGITAL BY VTHINK