Cn|En

现货抗体产品库

GCS-α-1 Rabbit Polyclonal Antibody

产品详情 相关文献 产品问答 相关产品

产品基本信息

产品货号
BD-PT1885
产品名称
GCS-α-1 Rabbit Polyclonal Antibody
别名
GUCY1A3; GUC1A3; GUCSA3; GUCY1A1; Guanylate cyclase soluble subunit alpha-3; GCS-alpha-3; GCS-alpha-1; Soluble guanylate cyclase large subunit
类别
常规抗体
基因名称
GUCY1A3
蛋白名称
Guanylate cyclase soluble subunit alpha-3
推荐应用
WB
反应种属
Human,Mouse,Rat
浓度
1 mg/ml
存储缓冲液
Liquid in PBS containing 50% glycerol, 0.5% BSA and 0.02% New type preservative N.
Human Gene ID
2982
Human Gene Link
http://www.ncbi.nlm.nih.gov/sites/entrez?db=gene&term=2982
Human Swissprot No.
Q02108
Human Swissprot Link
http://www.uniprot.org/uniprotkb/Q02108/entry
Mouse Gene ID
60596
Mouse Gene Link
http://www.ncbi.nlm.nih.gov/sites/entrez?db=gene&term=60596
Mouse Swissprot No.
Q9ERL9
Mouse Swissprot Link
http://www.uniprot.org/uniprot/Q9ERL9
Rat Swissprot No.
P19686
Rat Swissprot Link
http://www.uniprot.org/uniprot/P19686
免疫原
The antiserum was produced against synthesized peptide derived from human GCS-alpha-1. AA range:374-423
特异性
GCS-α-1 Polyclonal Antibody detects endogenous levels of GCS-α-1 protein.
稀释度
WB 1:500 - 1:2000. IHC 1:100 - 1:300. ELISA: 1:40000.. IF 1:50-200
预测分子量
77kD
运输及保存条件
-20°C/1 year
宿主
Polyclonal, Rabbit,IgG
背景介绍
Soluble guanylate cyclases are heterodimeric proteins that catalyze the conversion of GTP to 3',5'-cyclic GMP and pyrophosphate. The protein encoded by this gene is an alpha subunit of this complex and it interacts with a beta subunit to form the guanylate cyclase enzyme, which is activated by nitric oxide. Several transcript variants encoding a few different isoforms have been found for this gene. [provided by RefSeq, Jan 2012],
组织表达
Detected in brain cortex and lung (at protein level).
细胞定位
Cytoplasm .
信号通路
Purine metabolism;Vascular smooth muscle contraction;Gap junction;Long-term depression;
功能
catalytic activity:GTP = 3',5'-cyclic GMP + diphosphate.,enzyme regulation:Activated by nitric oxide in the presence of magnesium or manganese ions.,miscellaneous:There are two types of guanylate cyclases: soluble forms and membrane-associated receptor forms.,similarity:Belongs to the adenylyl cyclase class-4/guanylyl cyclase family.,similarity:Contains 1 guanylate cyclase domain.,subunit:Heterodimer of an alpha and a beta chain.,
期货
现货
纯化
The antibody was affinity-purified from rabbit antiserum by affinity-chromatography using epitope-specific immunogen.

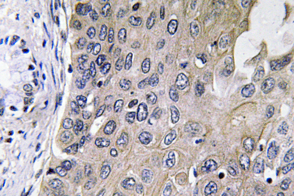
Immunohistochemistry analysis of GCS-α-1 antibody in paraffin-embedded human lung carcinoma tissue.

Western blot analysis of lysate from A549 cells, using GCS-α-1 antibody.

Western Blot analysis of various cells using GCS-α-1 Polyclonal Antibody

相关文献

产品问答

相关产品

免责声明| 法律支持| 联系方式

市场:027-65023363   行政/人事:027-62439686   邮箱:marketing@brainvta.com   客服:18140661572(活动咨询、售后反馈等)

销售总监:张经理  18995532642  华东区:陈经理 18013970337   华南区:王经理 13100653525   华中/西区:杨经理 18186518905   华北区:张经理 18893721749

地址:中国武汉东湖高新区光谷七路128号中科开物产业园1号楼

Copyright © 武汉枢密脑科学技术有限公司. All RIGHTS RESERVED.
鄂ICP备2021009124号 DIGITAL BY VTHINK