CD31 Rabbit Polyclonal Antibody
产品基本信息
Immunofluorescence analysis of HeLa cells, using PECAM-1 Antibody. The picture on the right is blocked with the synthesized peptide.
Immunohistochemistry analysis of paraffin-embedded human brain tissue, using PECAM-1 Antibody. The picture on the right is blocked with the synthesized peptide.
Western blot analysis of lysates from Jurkat cells, using PECAM-1 Antibody. The lane on the right is blocked with the synthesized peptide.
Western blot analysis of the lysates from HT-29 cells using PECAM-1 antibody.
Western Blot analysis of various cells using CD31 Polyclonal Antibody diluted at 1:1000
Western Blot analysis of rat-musle cells using CD31 Polyclonal Antibody diluted at 1:1000
Western blot analysis of KB lysis using CD31 antibody. Antibody was diluted at 1:1000
Western blot analysis of 293T lysis using CD31 antibody. Antibody was diluted at 1:1000
Immunohistochemical analysis of paraffin-embedded Human lung. 1, Antibody was diluted at 1:400(4°,overnight). 2, High-pressure and temperature EDTA, pH8.0 was used for antigen retrieval. 3,Secondary antibody was diluted at 1:200(room temperature, 30min).
Immunohistochemical analysis of paraffin-embedded Human lung. 1, Antibody was diluted at 1:400(4°,overnight). 2, High-pressure and temperature EDTA, pH8.0 was used for antigen retrieval. 3,Secondary antibody was diluted at 1:200(room temperature, 30min).
Immunohistochemical analysis of paraffin-embedded Human lung. 1, Antibody was diluted at 1:400(4°,overnight). 2, High-pressure and temperature EDTA, pH8.0 was used for antigen retrieval. 3,Secondary antibody was diluted at 1:200(room temperature, 30min).
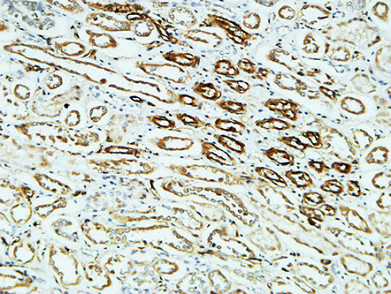
Immunohistochemical analysis of paraffin-embedded Human kidney. 1, Antibody was diluted at 1:400(4°,overnight). 2, High-pressure and temperature EDTA, pH8.0 was used for antigen retrieval. 3,Secondary antibody was diluted at 1:200(room temperature, 30min).
Immunohistochemical analysis of paraffin-embedded Human kidney. 1, Antibody was diluted at 1:400(4°,overnight). 2, High-pressure and temperature EDTA, pH8.0 was used for antigen retrieval. 3,Secondary antibody was diluted at 1:200(room temperature, 30min).
Immunohistochemical analysis of paraffin-embedded Human kidney. 1, Antibody was diluted at 1:400(4°,overnight). 2, High-pressure and temperature EDTA, pH8.0 was used for antigen retrieval. 3,Secondary antibody was diluted at 1:200(room temperature, 30min).
相关文献
产品问答
相关产品

市场:027-65023363 行政/人事:027-62439686 邮箱:marketing@brainvta.com 客服:18140661572(活动咨询、售后反馈等)
销售总监:张经理 18995532642 华东区:陈经理 18013970337 华南区:王经理 13100653525 华中/西区:杨经理 18186518905 华北区:张经理 18893721749
地址:中国武汉东湖高新区光谷七路128号中科开物产业园1号楼
Copyright © 武汉枢密脑科学技术有限公司. All RIGHTS RESERVED.
鄂ICP备2021009124号 DIGITAL BY VTHINK