Cn|En

现货抗体产品库

CAS Rabbit Polyclonal Antibody

产品详情 相关文献 产品问答 相关产品

产品基本信息

产品货号
BD-PT0641
产品名称
CAS Rabbit Polyclonal Antibody
别名
CSE1L; CAS; XPO2; Exportin-2; Exp2; Cellular apoptosis susceptibility protein; Chromosome segregation 1-like protein; Importin-alpha re-exporter
类别
常规抗体
基因名称
CSE1L
蛋白名称
Exportin-2
推荐应用
WB
反应种属
Human,Rat,Mouse
浓度
1 mg/ml
存储缓冲液
Liquid in PBS containing 50% glycerol, 0.5% BSA and 0.02% New type preservative N.
Human Gene ID
1434
Human Gene Link
http://www.ncbi.nlm.nih.gov/sites/entrez?db=gene&term=1434
Human Swissprot No.
P55060
Human Swissprot Link
http://www.uniprot.org/uniprotkb/P55060/entry
Mouse Swissprot No.
Q9ERK4
Mouse Swissprot Link
http://www.uniprot.org/uniprot/Q9ERK4
免疫原
The antiserum was produced against synthesized peptide derived from human CSE1L. AA range:1-50
特异性
CAS Polyclonal Antibody detects endogenous levels of CAS protein.
稀释度
WB 1:500-2000
预测分子量
110kD
运输及保存条件
-20°C/1 year
宿主
Polyclonal, Rabbit,IgG
背景介绍
Proteins that carry a nuclear localization signal (NLS) are transported into the nucleus by the importin-alpha/beta heterodimer. Importin-alpha binds the NLS, while importin-beta mediates translocation through the nuclear pore complex. After translocation, RanGTP binds importin-beta and displaces importin-alpha. Importin-alpha must then be returned to the cytoplasm, leaving the NLS protein behind. The protein encoded by this gene binds strongly to NLS-free importin-alpha, and this binding is released in the cytoplasm by the combined action of RANBP1 and RANGAP1. In addition, the encoded protein may play a role both in apoptosis and in cell proliferation. Alternatively spliced transcript variants have been found for this gene. [provided by RefSeq, Jan 2012],
组织表达
Detected in brain, placenta, ovary, testis and trachea (at protein level) (PubMed:10331944). Widely expressed (PubMed:10331944). Highly expressed in testis and in proliferating cells (PubMed:7479798,PubMed:10331944).
细胞定位
Cytoplasm . Nucleus . Shuttles between the nucleus and the cytoplasm. .
功能
function:Export receptor for importin-alpha. Mediates importin-alpha re-export from the nucleus to the cytoplasm after import substrates (cargos) have been released into the nucleoplasm. In the nucleus binds cooperatively to importin-alpha and to the GTPase Ran in its active GTP-bound form. Docking of this trimeric complex to the nuclear pore complex (NPC) is mediated through binding to nucleoporins. Upon transit of a nuclear export complex into the cytoplasm, disassembling of the complex and hydrolysis of Ran-GTP to Ran-GDP (induced by RANBP1 and RANGAP1, respectively) cause release of the importin-alpha from the export receptor. CSE1L/XPO2 then return to the nuclear compartment and mediate another round of transport. The directionality of nuclear export is thought to be conferred by an asymmetric distribution of the GTP- and GDP-bound forms of Ran between the cytoplasm and nucleus.,similarity:Belongs to the XPO2/CSE1 family.,similarity:Contains 1 importin N-terminal domain.,subcellular location:Shuttles between the nucleus and the cytoplasm.,subunit:Found in a complex with CSE1L/XPO2, Ran and KPNA2. Binds with high affinity to importin-alpha only in the presence of RanGTP. The complex is dissociated by the combined action of RanBP1 and RanGAP1.,tissue specificity:Highly expressed in proliferating cells.,
期货
现货
纯化
The antibody was affinity-purified from rabbit antiserum by affinity-chromatography using epitope-specific immunogen.

Immunofluorescence analysis of HeLa cells, using CSE1L Antibody. The picture on the right is blocked with the synthesized peptide.

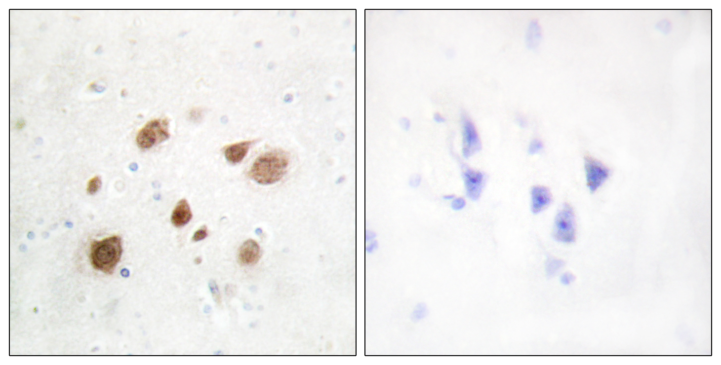
Immunohistochemistry analysis of paraffin-embedded human brain tissue, using CSE1L Antibody. The picture on the right is blocked with the synthesized peptide.

Western blot analysis of lysates from 293 cells, using CSE1L Antibody. The lane on the right is blocked with the synthesized peptide.

Western Blot analysis of various cells using CAS Polyclonal Antibody diluted at 1:2000

相关文献

产品问答

相关产品

免责声明| 法律支持| 联系方式

市场:027-65023363   行政/人事:027-62439686   邮箱:marketing@brainvta.com   客服:18140661572(活动咨询、售后反馈等)

销售总监:张经理  18995532642  华东区:陈经理 18013970337   华南区:王经理 13100653525   华中/西区:杨经理 18186518905   华北区:张经理 18893721749

地址:中国武汉东湖高新区光谷七路128号中科开物产业园1号楼

Copyright © 武汉枢密脑科学技术有限公司. All RIGHTS RESERVED.
鄂ICP备2021009124号 DIGITAL BY VTHINK