Cn|En

现货抗体产品库

AP-1/Jun D Rabbit Polyclonal Antibody

产品详情 相关文献 产品问答 相关产品

产品基本信息

产品货号
BD-PT0246
产品名称
AP-1/Jun D Rabbit Polyclonal Antibody
别名
JUN; Transcription factor AP-1; Activator protein 1; AP1; Proto-oncogene c-Jun; V-jun avian sarcoma virus 17 oncogene homolog; p39; JUND; Transcription factor jun-D
类别
常规抗体
基因名称
JUN/JUND
蛋白名称
Transcription factor AP-1;jun;c-jun;AP-1; Transcription factor jun-D
推荐应用
WB
反应种属
Human,Mouse,Rat
浓度
1 mg/ml
存储缓冲液
Liquid in PBS containing 50% glycerol, 0.5% BSA and 0.02% New type preservative N.
Human Gene ID
3725/3727
Human Gene Link
http://www.ncbi.nlm.nih.gov/sites/entrez?db=gene&term=3725
Human Swissprot No.
P05412/P17535
Human Swissprot Link
http://www.uniprot.org/uniprotkb/P05412/entry
Mouse Gene ID
16476/16478
Mouse Gene Link
http://www.ncbi.nlm.nih.gov/sites/entrez?db=gene&term=16476
Rat Gene ID
24516/24518
Rat Gene Link
http://www.ncbi.nlm.nih.gov/sites/entrez?db=gene&term=24516
Rat Swissprot No.
P17325/P52909
Rat Swissprot Link
http://www.uniprot.org/uniprot/P17325
免疫原
The antiserum was produced against synthesized peptide derived from human c-Jun. AA range:40-89
特异性
AP-1 Polyclonal Antibody detects endogenous levels of AP-1 protein.
稀释度
WB 1:500 - 1:2000. IHC 1:100 - 1:300. ELISA: 1:10000.. IF 1:50-200
预测分子量
39-42kD
运输及保存条件
-20°C/1 year
宿主
Polyclonal, Rabbit,IgG
背景介绍
This gene is the putative transforming gene of avian sarcoma virus 17. It encodes a protein which is highly similar to the viral protein, and which interacts directly with specific target DNA sequences to regulate gene expression. This gene is intronless and is mapped to 1p32-p31, a chromosomal region involved in both translocations and deletions in human malignancies. [provided by RefSeq, Jul 2008],
组织表达
Expressed in the developing and adult prostate and prostate cancer cells.
细胞定位
Nucleus.
信号通路
MAPK_ERK_Growth;MAPK_G_Protein;ErbB_HER;WNT;WNT-T CELLFocal adhesion;Toll_Like;T_Cell_Receptor;B_Cell_Antigen;Neurotrophin;GnRH;Epithelial cell signaling in Helicobacter pylori infection;Pathways in cancer;Colorectal cancer;Renal cell carcinoma;
功能
function:Transcription factor that recognizes and binds to the enhancer heptamer motif 5'-TGA[CG]TCA-3'.,PTM:Phosphorylation enhances the transcriptional activity. Phosphorylated by PRKDC.,similarity:Belongs to the bZIP family.,similarity:Belongs to the bZIP family. Jun subfamily.,similarity:Contains 1 bZIP domain.,subunit:Heterodimer with either FOS or BATF3. Interacts with HIVEP3 (By similarity). Interacts with SMAD3/SMAD4 heterodimers. Interacts with MYBBP1A, SPIB and TCF20. Interacts with COPS5; indirectly leading to its phosphorylation. Interacts with DSIPI; this interaction inhibits the binding of active AP1 to its target DNA.,
期货
现货
纯化
The antibody was affinity-purified from rabbit antiserum by affinity-chromatography using epitope-specific immunogen.

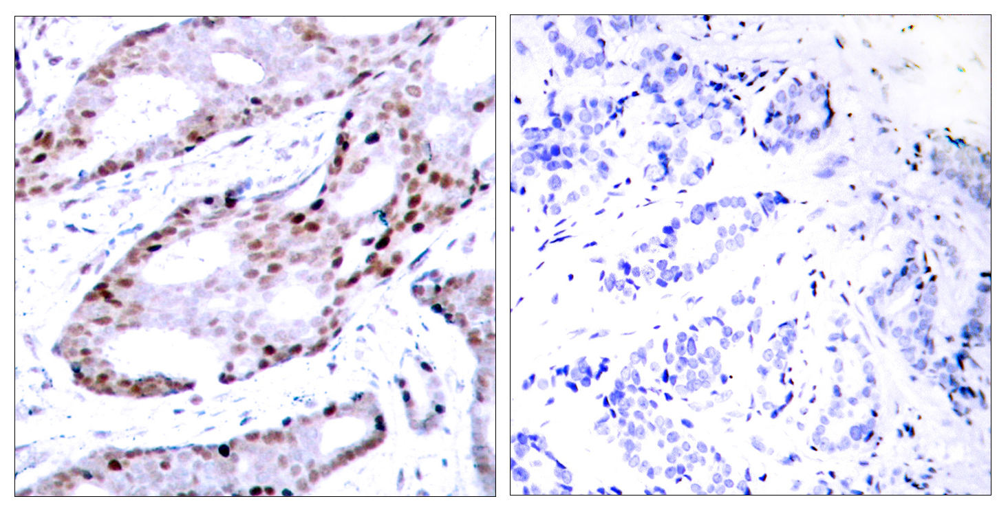
Immunohistochemistry analysis of paraffin-embedded human breast carcinoma tissue, using c-Jun Antibody. The picture on the right is blocked with the synthesized peptide.

Western blot analysis of lysates from HeLa cells, using c-Jun Antibody. The lane on the right is blocked with the synthesized peptide.

Western Blot analysis of various cells using AP-1/Jun D Polyclonal Antibody

Western Blot analysis of HuvEc cells using AP-1/Jun D Polyclonal Antibody

相关文献

产品问答

相关产品

免责声明| 法律支持| 联系方式

市场:027-65023363   行政/人事:027-62439686   邮箱:marketing@brainvta.com   客服:18140661572(活动咨询、售后反馈等)

销售总监:张经理  18995532642  华东区:陈经理 18013970337   华南区:王经理 13100653525   华中/西区:杨经理 18186518905   华北区:张经理 18893721749

地址:中国武汉东湖高新区光谷七路128号中科开物产业园1号楼

Copyright © 武汉枢密脑科学技术有限公司. All RIGHTS RESERVED.
鄂ICP备2021009124号 DIGITAL BY VTHINK