Cn|En

现货抗体产品库

SphK2 (phospho Thr614) Rabbit Polyclonal Antibody

产品详情 相关文献 产品问答 相关产品

产品基本信息

产品货号
BD-PP1108
产品名称
SphK2 (phospho Thr614) Rabbit Polyclonal Antibody
别名
SPHK2; Sphingosine kinase 2; SK 2; SPK 2
类别
常规抗体
基因名称
SPHK2
蛋白名称
Sphingosine kinase 2
推荐应用
WB
反应种属
Human,Mouse,Rat
浓度
1 mg/ml
存储缓冲液
Liquid in PBS containing 50% glycerol, 0.5% BSA and 0.02% New type preservative N.
Human Gene ID
56848
Human Gene Link
http://www.ncbi.nlm.nih.gov/sites/entrez?db=gene&term=56848
Human Swissprot No.
Q9NRA0
Human Swissprot Link
http://www.uniprot.org/uniprotkb/Q9NRA0/entry
Mouse Gene ID
56632
Mouse Gene Link
http://www.ncbi.nlm.nih.gov/sites/entrez?db=gene&term=56632
Mouse Swissprot No.
Q9JIA7
Mouse Swissprot Link
http://www.uniprot.org/uniprot/Q9JIA7
免疫原
The antiserum was produced against synthesized peptide derived from human SPHK2 around the phosphorylation site of Thr614. AA range:580-629
特异性
Phospho-SphK2 (T614) Polyclonal Antibody detects endogenous levels of SphK2 protein only when phosphorylated at T614.
稀释度
WB 1:500-2000
参考分子量
69kD
运输及保存条件
-20°C/1 year
宿主
Polyclonal, Rabbit,IgG
背景介绍
This gene encodes one of two sphingosine kinase isozymes that catalyze the phosphorylation of sphingosine into sphingosine 1-phosphate. Sphingosine 1-phosphate mediates many cellular processes including migration, proliferation and apoptosis, and also plays a role in several types of cancer by promoting angiogenesis and tumorigenesis. The encoded protein may play a role in breast cancer proliferation and chemoresistance. Alternatively spliced transcript variants encoding multiple isoforms have been observed for this gene. [provided by RefSeq, Aug 2011],
组织表达
Mainly expressed in adult kidney, liver, and brain (PubMed:10751414). Expressed in cerebral cortex and hippocampus (at protein level) (PubMed:29615132). Isoform 1 is the predominant form expressed in most tissues (PubMed:16103110).
细胞定位
Cytoplasm . Nucleus . Endoplasmic reticulum . Mitochondrion inner membrane . In nucleus, located in nucleosomes where it associates with core histone proteins such as histone 3 (PubMed:19729656). In brains of patients with Alzheimer's disease, may be preferentially localized in the nucleus. Cytosolic expression decrease correlates with the density of amyloid deposits (PubMed:29615132). In apoptotic cells, colocalizes with CASP1 in cell membrane where is cleaved and released from cells in an active form (PubMed:20197547). .; [Isoform 2]: Lysosome membrane .
信号通路
Sphingolipid metabolism;Calcium;VEGF;Fc gamma R-mediated phagocytosis;
功能
alternative products:Experimental confirmation may be lacking for some isoforms,catalytic activity:ATP + sphinganine = ADP + sphinganine 1-phosphate.,catalytic activity:ATP + sphingosine = ADP + sphingosine 1-phosphate.,cofactor:Magnesium.,function:Catalyzes the phosphorylation of sphingosine to form sphingosine 1-phosphate (SPP), a lipid mediator with both intra-and extracellular functions. Also acts on D-erythro-dihydrosphingosine, D-erythro-sphingosine and L-threo-dihydrosphingosine.,similarity:Contains 1 DAGKc domain.,
期货
现货
纯化
The antibody was affinity-purified from rabbit antiserum by affinity-chromatography using epitope-specific immunogen.

Enzyme-Linked Immunosorbent Assay (Phospho-ELISA) for Immunogen Phosphopeptide (Phospho-left) and Non-Phosphopeptide (Phospho-right), using SPHK2 (Phospho-Thr614) Antibody

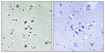
Immunohistochemistry analysis of paraffin-embedded human breast carcinoma, using SPHK2 (Phospho-Thr614) Antibody. The picture on the right is blocked with the phospho peptide.

相关文献

产品问答

相关产品

免责声明| 法律支持| 联系方式

市场:027-65023363   行政/人事:027-62439686   邮箱:marketing@brainvta.com   客服:18140661572(活动咨询、售后反馈等)

销售总监:张经理  18995532642  华东区:陈经理 18013970337   华南区:王经理 13100653525   华中/西区:杨经理 18186518905   华北区:张经理 18893721749

地址:中国武汉东湖高新区光谷七路128号中科开物产业园1号楼

Copyright © 武汉枢密脑科学技术有限公司. All RIGHTS RESERVED.
鄂ICP备2021009124号 DIGITAL BY VTHINK