Cn|En

现货抗体产品库

Presenilin 1 (phospho Ser357) Rabbit Polyclonal Antibody

产品详情 相关文献 产品问答 相关产品

产品基本信息

产品货号
BD-PP0831
产品名称
Presenilin 1 (phospho Ser357) Rabbit Polyclonal Antibody
别名
PSEN1; AD3; PS1; PSNL1; Presenilin-1; PS-1; Protein S182
类别
常规抗体
基因名称
PSEN1
蛋白名称
Presenilin-1
推荐应用
WB
反应种属
Human,Mouse,Rat
浓度
1 mg/ml
存储缓冲液
Liquid in PBS containing 50% glycerol, 0.5% BSA and 0.02% New type preservative N.
Human Gene ID
5663
Human Gene Link
http://www.ncbi.nlm.nih.gov/sites/entrez?db=gene&term=5663
Human Swissprot No.
P49768
Human Swissprot Link
http://www.uniprot.org/uniprotkb/P49768/entry
Mouse Gene ID
19164
Mouse Gene Link
http://www.ncbi.nlm.nih.gov/sites/entrez?db=gene&term=19164
Mouse Swissprot No.
P49769
Mouse Swissprot Link
http://www.uniprot.org/uniprot/P49769
Rat Gene ID
29192
Rat Gene Link
http://www.ncbi.nlm.nih.gov/sites/entrez?db=gene&term=29192
Rat Swissprot No.
P97887
Rat Swissprot Link
http://www.uniprot.org/uniprot/P97887
免疫原
The antiserum was produced against synthesized peptide derived from human PSEN1 around the phosphorylation site of Ser357. AA range:323-372
特异性
Phospho-Presenilin 1 (S357) Polyclonal Antibody detects endogenous levels of Presenilin 1 protein only when phosphorylated at S357.
稀释度
WB 1:500-2000
预测分子量
43kD
运输及保存条件
-20°C/1 year
宿主
Polyclonal, Rabbit,IgG
背景介绍
Alzheimer's disease (AD) patients with an inherited form of the disease carry mutations in the presenilin proteins (PSEN1; PSEN2) or in the amyloid precursor protein (APP). These disease-linked mutations result in increased production of the longer form of amyloid-beta (main component of amyloid deposits found in AD brains). Presenilins are postulated to regulate APP processing through their effects on gamma-secretase, an enzyme that cleaves APP. Also, it is thought that the presenilins are involved in the cleavage of the Notch receptor, such that they either directly regulate gamma-secretase activity or themselves are protease enzymes. Several alternatively spliced transcript variants encoding different isoforms have been identified for this gene, the full-length nature of only some have been determined. [provided by RefSeq, Aug 2008],
组织表达
Detected in azurophile granules in neutrophils and in platelet cytoplasmic granules (at protein level) (PubMed:11987239). Expressed in a wide range of tissues including various regions of the brain, liver, spleen and lymph nodes (PubMed:7596406, PubMed:8641442, PubMed:8574969).
细胞定位
Endoplasmic reticulum . Endoplasmic reticulum membrane ; Multi-pass membrane protein . Golgi apparatus membrane ; Multi-pass membrane protein . Cytoplasmic granule . Cell membrane ; Multi-pass membrane protein . Cell projection, growth cone . Early endosome . Early endosome membrane ; Multi-pass membrane protein . Cell projection, neuron projection . Cell projection, axon . Cell junction, synapse . Translocates with bound NOTCH1 from the endoplasmic reticulum and/or Golgi to the cell surface (PubMed:10593990). Colocalizes with CDH1/2 at sites of cell-cell contact. Colocalizes with CTNNB1 in the endoplasmic reticulum and the proximity of the plasma membrane (PubMed:9738936). Also present in azurophil granules of neutrophils (PubMed:11987239). Colocalizes with UBQLN1 in the cell membrane and in cytoplasmic juxtanuclear structures called aggresomes (PubMed:21143716). .
信号通路
WNT;WNT-T CELLNotch;Neurotrophin;Alzheimer's disease;
功能
disease:Defects in PSEN1 are a cause of Alzheimer disease type 3 (AD3) [MIM:607822]. AD3 is a familial early-onset form of Alzheimer disease. Alzheimer disease is a neurodegenerative disorder characterized by progressive dementia, loss of cognitve abilities, and deposition of fibrillar amyloid proteins as intraneuronal neurofibrillary tangles, extracellular amyloid plaques and vascular amyloid deposits. The major constituent of these plaques is the neurotoxic amyloid-beta-APP 40-42 peptide (s), derived proteolytically from the transmembrane precursor protein APP by sequential secretase processing. The cytotoxic C-terminal fragments (CTFs) and the caspase-cleaved products such as C31 derived from APP, are also implicated in neuronal death.,disease:Defects in PSEN1 are a cause of frontotemporal dementia [MIM:600274].,domain:The PAL motif is required for normal active site conformation.,function:Probable catalytic subunit of the gamma-secretase complex, an endoprotease complex that catalyzes the intramembrane cleavage of integral membrane proteins such as Notch receptors and APP (beta-amyloid precursor protein). Requires the other members of the gamma-secretase complex to have a protease activity. May play a role in intracellular signaling and gene expression or in linking chromatin to the nuclear membrane. Stimulates cell-cell adhesion though its association with the E-cadherin/catenin complex. Under conditions of apoptosis or calcium influx, cleaves E-cadherin promoting the disassembly of the E-cadherin/catenin complex and increasing the pool of cytoplasmic beta-catenin, thus negatively regulating Wnt signaling. May also play a role in hematopoiesis.,online information:Presenilins mutations,PTM:After endoproteolysis, the C-terminal fragment (CTF) is phosphorylated on serine residues by PKA and/or PKC. Phosphorylation on Ser-346 inhibits endoproteolysis.,PTM:Heterogeneous proteolytic processing generates N-terminal (NTF) and C-terminal (CTF) fragments of approximately 35 and 20 kDa, respectively. During apoptosis, the C-terminal fragment (CTF) is further cleaved by caspase-3 to produce the fragment, PS1-CTF12.,similarity:Belongs to the peptidase A22A family.,subcellular location:Bound to NOTCH1 also at the cell surface. Colocalizes with CDH1/2 at sites of cell-cell contact. Colocalizes with CTNNB1 in the endoplasmic reticulum and the proximity of the plasma membrane. Also present in azurophil granules of neutrophils.,subunit:Homodimer. Component of the gamma-secretase complex, a complex composed of a presenilin homodimer (PSEN1 or PSEN2), nicastrin (NCSTN), APH1 (APH1A or APH1B) and PEN2. Such minimal complex is sufficient for secretase activity. Other components which are associated with the complex include SLC25A64, SLC5A7, PHB and PSEN1 isoform 3. Predominantly heterodimer of a N-terminal (NTF) and a C-terminal (CTF) endoproteolytical fragment. Associates with proteolytic processed C-terminal fragments C83 and C99 of the amyloid precursor protein (APP). Associates with NOTCH1. Component of cadherin/catenin adhesion complexes through direct binding to CDH1 or CDH2. Interaction with CDH1 stabilizes the complex and stimulates cell-cell aggregation. Interaction with CDH2 is essential for trafficking of CDH2 from the endoplasmic reticulum to the plasma membrane. Interacts with CTNND2, CTNNB1, HERPUD1, FLNA, FLNB, MTCH1, PKP4 and PARL. Interacts through its N-terminus with isoform 3 of GFAP. Interacts with DOCK3.,tissue specificity:Expressed in a wide range of tissues including various regions of the brain, liver, spleen and lymph nodes.,
期货
现货
纯化
The antibody was affinity-purified from rabbit antiserum by affinity-chromatography using epitope-specific immunogen.

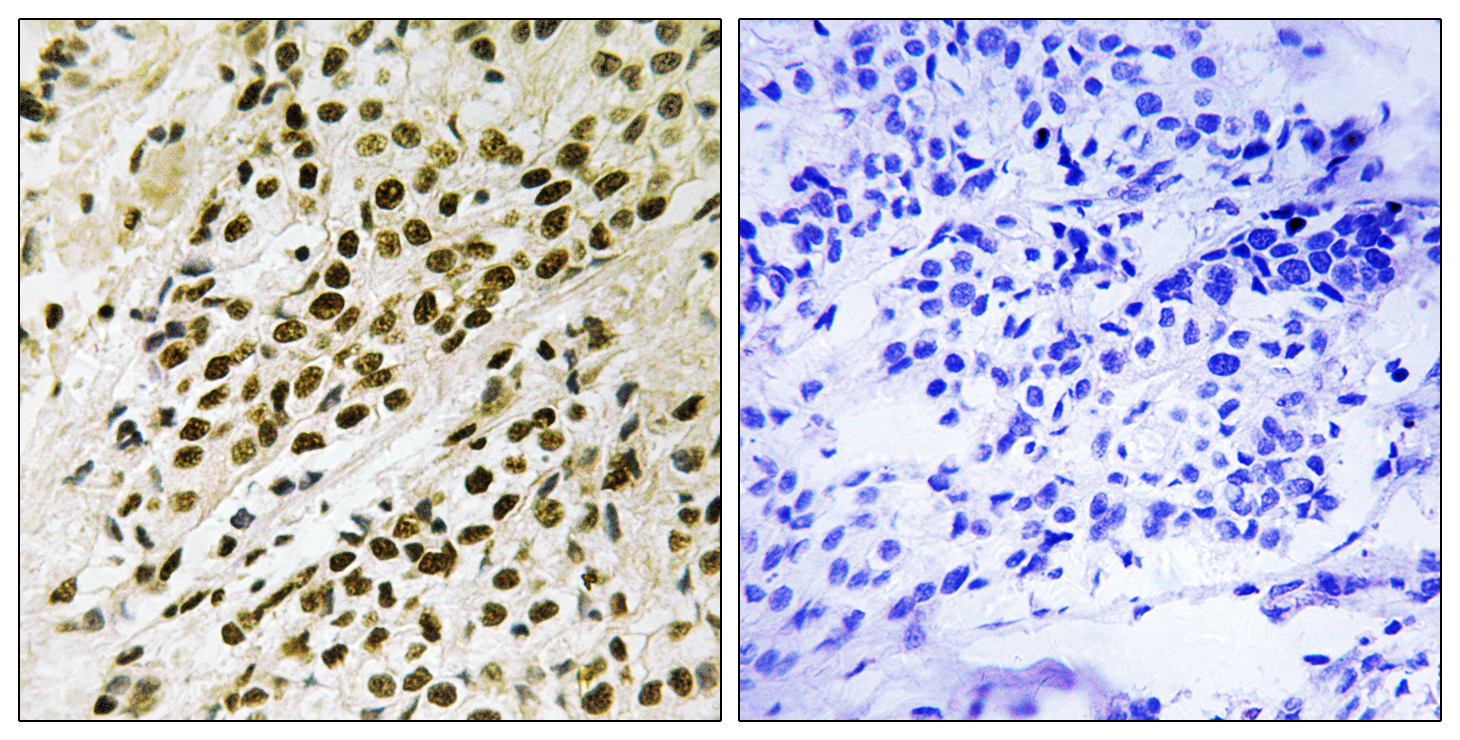
Immunohistochemistry analysis of paraffin-embedded human brain, using PSEN1 (Phospho-Ser357) Antibody. The picture on the right is blocked with the phospho peptide.

Western blot analysis of lysates from RAW264.7 cells treated with UV 5‘, using PSEN1 (Phospho-Ser357) Antibody. The lane on the right is blocked with the phospho peptide.

相关文献

产品问答

相关产品

免责声明| 法律支持| 联系方式

市场:027-65023363   行政/人事:027-62439686   邮箱:marketing@brainvta.com   客服:18140661572(活动咨询、售后反馈等)

销售总监:张经理  18995532642  华东区:陈经理 18013970337   华南区:王经理 13100653525   华中/西区:杨经理 18186518905   华北区:张经理 18893721749

地址:中国武汉东湖高新区光谷七路128号中科开物产业园1号楼

Copyright © 武汉枢密脑科学技术有限公司. All RIGHTS RESERVED.
鄂ICP备2021009124号 DIGITAL BY VTHINK