Cn|En

现货抗体产品库

Trk A (phospho Tyr701) Rabbit Polyclonal Antibody

产品详情 相关文献 产品问答 相关产品

产品基本信息

产品货号
BD-PP0777
产品名称
Trk A (phospho Tyr701) Rabbit Polyclonal Antibody
别名
NTRK1; MTC; TRK; TRKA; High affinity nerve growth factor receptor; Neurotrophic tyrosine kinase receptor type 1; TRK1-transforming tyrosine kinase protein; Tropomyosin-related kinase A; Tyrosine kinase receptor; Tyrosine kinase receptor A;
类别
常规抗体
基因名称
NTRK1
蛋白名称
High affinity nerve growth factor receptor
推荐应用
WB
反应种属
Human,Mouse,Rat
浓度
1 mg/ml
存储缓冲液
Liquid in PBS containing 50% glycerol, 0.5% BSA and 0.02% New type preservative N.
Human Gene ID
4914
Human Gene Link
http://www.ncbi.nlm.nih.gov/sites/entrez?db=gene&term=4914
Human Swissprot No.
P04629
Human Swissprot Link
http://www.uniprot.org/uniprotkb/P04629/entry
Mouse Gene ID
18211
Mouse Gene Link
http://www.ncbi.nlm.nih.gov/sites/entrez?db=gene&term=18211
Mouse Swissprot No.
Q3UFB7
Mouse Swissprot Link
http://www.uniprot.org/uniprot/Q3UFB7
Rat Gene ID
59109
Rat Gene Link
http://www.ncbi.nlm.nih.gov/sites/entrez?db=gene&term=59109
Rat Swissprot No.
P35739
Rat Swissprot Link
http://www.uniprot.org/uniprot/P35739
免疫原
The antiserum was produced against synthesized peptide derived from human Trk A around the phosphorylation site of Tyr701. AA range:666-715
特异性
Phospho-Trk A (Y701) Polyclonal Antibody detects endogenous levels of Trk A protein only when phosphorylated at Y701.
稀释度
WB 1:500 - 1:2000. IHC 1:100 - 1:300. ELISA: 1:40000.. IF 1:50-200
预测分子量
140-180kD
运输及保存条件
-20°C/1 year
宿主
Polyclonal, Rabbit,IgG
背景介绍
This gene encodes a member of the neurotrophic tyrosine kinase receptor (NTKR) family. This kinase is a membrane-bound receptor that, upon neurotrophin binding, phosphorylates itself and members of the MAPK pathway. The presence of this kinase leads to cell differentiation and may play a role in specifying sensory neuron subtypes. Mutations in this gene have been associated with congenital insensitivity to pain, anhidrosis, self-mutilating behavior, mental retardation and cancer. Alternate transcriptional splice variants of this gene have been found, but only three have been characterized to date. [provided by RefSeq, Jul 2008],
组织表达
Isoform TrkA-I is found in most non-neuronal tissues. Isoform TrkA-II is primarily expressed in neuronal cells. TrkA-III is specifically expressed by pluripotent neural stem and neural crest progenitors.
细胞定位
Cell membrane ; Single-pass type I membrane protein . Early endosome membrane ; Single-pass type I membrane protein . Late endosome membrane ; Single-pass type I membrane protein . Recycling endosome membrane ; Single-pass type I membrane protein . Rapidly internalized after NGF binding (PubMed:1281417). Internalized to endosomes upon binding of NGF or NTF3 and further transported to the cell body via a retrograde axonal transport. Localized at cell membrane and early endosomes before nerve growth factor (NGF) stimulation. Recruited to late endosomes after NGF stimulation. Colocalized with RAPGEF2 at late endosomes. .
信号通路
MAPK_ERK_Growth;MAPK_G_Protein;Endocytosis;Apoptosis_Inhibition;Apoptosis_Mitochondrial;Apoptosis_Overview;Neurotrophin;Pathways in cancer;Thyroid cancer;
功能
alternative products:Both isoforms have similar biological properties,catalytic activity:ATP + a [protein]-L-tyrosine = ADP + a [protein]-L-tyrosine phosphate.,caution:The sequence shown here is derived from an Ensembl automatic analysis pipeline and should be considered as preliminary data.,disease:Chromosomal aberrations involving NTRK1 are a cause of thyroid papillary carcinoma (PACT) [MIM:188550]. Intrachromosomal rearrangement that links the protein kinase domain of NTRK1 to the 5'-end of the TPR gene forms the fusion protein TRK-T1. TRK-T1 is a 55 kDa protein reacting with antibodies against the C-terminus of the NTRK1 protein.,disease:Chromosomal aberrations involving NTRK1 are a cause of thyroid papillary carcinoma (PACT) [MIM:188550]. Translocation t(1;3)(q21;q11) with TFG generates the TRKT3 (TRK-T3) transcript by fusing TFG to the 3'-end of NTRK1; a rearrangement with TPM3 generates the TRK transcript by fusing TPM3 to the 3'-end of NTRK1.,disease:Defects in NTRK1 are a cause of congenital insensitivity to pain with anhidrosis (CIPA) [MIM:256800]. CIPA is characterized by a congenital insensitivity to pain, anhidrosis (absence of sweating), absence of reaction to noxious stimuli, self-mutilating behavior, and mental retardation. This rare autosomal recessive disorder is also known as congenital sensory neuropathy with anhidrosis or hereditary sensory and autonomic neuropathy type IV or familial dysautonomia type II.,domain:The extracellular domain mediates interaction with NGFR.,domain:The transmembrane domain mediates interaction with KIDINS220.,function:Required for high-affinity binding to nerve growth factor (NGF), neurotrophin-3 and neurotrophin-4/5 but not brain-derived neurotrophic factor (BDNF). Known substrates for the Trk receptors are SHC1, PI 3-kinase, and PLC-gamma-1. Has a crucial role in the development and function of the nociceptive reception system as well as establishment of thermal regulation via sweating. Activates ERK1 by either SHC1- or PLC-gamma-1-dependent signaling pathway.,PTM:Ligand-mediated auto-phosphorylation. Interaction with SQSTM1 is phosphotyrosine-dependent.,similarity:Belongs to the protein kinase superfamily. Tyr protein kinase family.,similarity:Belongs to the protein kinase superfamily. Tyr protein kinase family. Insulin receptor subfamily.,similarity:Contains 1 protein kinase domain.,similarity:Contains 2 Ig-like C2-type (immunoglobulin-like) domains.,similarity:Contains 3 LRR (leucine-rich) repeats.,subcellular location:Endocytosed to the endosomes upon treatment of cells with NGF.,subunit:Exists in a dynamic equilibrium between monomeric (low affinity) and dimeric (high affinity) structures. Binds SH2B2. Interacts with SQSTM1 which bridges NTRK1 to NGFR. Interacts with KIDINS220 and NGFR. Can form a ternary complex with NGFR and KIDINS220 and this complex is affected by the expression levels of KIDINS220. An increase in KIDINS220 expression leads to a decreased association of NGFR and NTRK1.,tissue specificity:Isoform TrkA-II is primarily expressed in neuronal cells; isoform TrkA-I is found in non-neuronal tissues.,
期货
现货
纯化
The antibody was affinity-purified from rabbit antiserum by affinity-chromatography using epitope-specific immunogen.

Enzyme-Linked Immunosorbent Assay (Phospho-ELISA) for Immunogen Phosphopeptide (Phospho-left) and Non-Phosphopeptide (Phospho-right), using Trk A (Phospho-Tyr701) Antibody

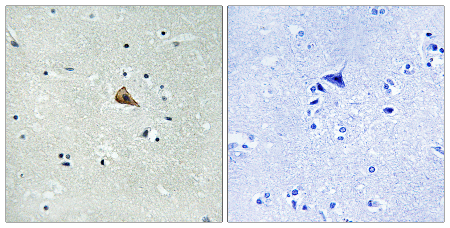
Immunohistochemistry analysis of paraffin-embedded human brain, using Trk A (Phospho-Tyr701) Antibody. The picture on the right is blocked with the phospho peptide.

Western blot analysis of lysates from mouse brain, using Trk A (Phospho-Tyr701) Antibody. The lane on the right is blocked with the phospho peptide.

相关文献

产品问答

相关产品

免责声明| 法律支持| 联系方式

市场:027-65023363   行政/人事:027-62439686   邮箱:marketing@brainvta.com   客服:18140661572(活动咨询、售后反馈等)

销售总监:张经理  18995532642  华东区:陈经理 18013970337   华南区:王经理 13100653525   华中/西区:杨经理 18186518905   华北区:张经理 18893721749

地址:中国武汉东湖高新区光谷七路128号中科开物产业园1号楼

Copyright © 武汉枢密脑科学技术有限公司. All RIGHTS RESERVED.
鄂ICP备2021009124号 DIGITAL BY VTHINK