Cn|En

现货抗体产品库

p53 (phospho Ser366) Rabbit Polyclonal Antibody

产品详情 相关文献 产品问答 相关产品

产品基本信息

产品货号
BD-PP0773
产品名称
p53 (phospho Ser366) Rabbit Polyclonal Antibody
别名
TP53; P53; Cellular tumor antigen p53; Antigen NY-CO-13; Phosphoprotein p53; Tumor suppressor p53
类别
常规抗体
基因名称
TP53
蛋白名称
Cellular tumor antigen p53
推荐应用
WB
反应种属
Human,Rat,Mouse
浓度
1 mg/ml
存储缓冲液
Liquid in PBS containing 50% glycerol, 0.5% BSA and 0.02% New type preservative N.
Human Gene ID
7157
Human Gene Link
http://www.ncbi.nlm.nih.gov/sites/entrez?db=gene&term=7157
Human Swissprot No.
P04637
Human Swissprot Link
http://www.uniprot.org/uniprotkb/P04637/entry
Mouse Swissprot No.
P02340
Mouse Swissprot Link
http://www.uniprot.org/uniprot/P02340
免疫原
The antiserum was produced against synthesized peptide derived from human p53 around the phosphorylation site of Ser366. AA range:331-380
特异性
Phospho-p53 (S366) Polyclonal Antibody detects endogenous levels of p53 protein only when phosphorylated at S366.
稀释度
WB 1:500-2000
预测分子量
48kD
运输及保存条件
-20°C/1 year
宿主
Polyclonal, Rabbit,IgG
背景介绍
tumor protein p53(TP53) Homo sapiens This gene encodes a tumor suppressor protein containing transcriptional activation, DNA binding, and oligomerization domains. The encoded protein responds to diverse cellular stresses to regulate expression of target genes, thereby inducing cell cycle arrest, apoptosis, senescence, DNA repair, or changes in metabolism. Mutations in this gene are associated with a variety of human cancers, including hereditary cancers such as Li-Fraumeni syndrome. Alternative splicing of this gene and the use of alternate promoters result in multiple transcript variants and isoforms. Additional isoforms have also been shown to result from the use of alternate translation initiation codons (PMIDs: 12032546, 20937277). [provided by RefSeq, Feb 2013],
组织表达
Ubiquitous. Isoforms are expressed in a wide range of normal tissues but in a tissue-dependent manner. Isoform 2 is expressed in most normal tissues but is not detected in brain, lung, prostate, muscle, fetal brain, spinal cord and fetal liver. Isoform 3 is expressed in most normal tissues but is not detected in lung, spleen, testis, fetal brain, spinal cord and fetal liver. Isoform 7 is expressed in most normal tissues but is not detected in prostate, uterus, skeletal muscle and breast. Isoform 8 is detected only in colon, bone marrow, testis, fetal brain and intestine. Isoform 9 is expressed in most normal tissues but is not detected in brain, heart, lung, fetal liver, salivary gland, breast or intestine.
细胞定位
Cytoplasm . Nucleus . Nucleus, PML body . Endoplasmic reticulum . Mitochondrion matrix . Cytoplasm, cytoskeleton, microtubule organizing center, centrosome . Recruited into PML bodies together with CHEK2 (PubMed:12810724). Translocates to mitochondria upon oxidative stress (PubMed:22726440). Translocates to mitochondria in response to mitomycin C treatment (PubMed:27323408). .; [Isoform 1]: Nucleus . Cytoplasm. Predominantly nuclear but localizes to the cytoplasm when expressed with isoform 4.; [Isoform 2]: Nucleus. Cytoplasm. Localized mainly in the nucleus with minor staining in the cytoplasm.; [Isoform 3]: Nucleus. Cytoplasm. Localized in the nucleus in most cells but found in the cytoplasm in some cells.; [Isoform 4]: Nucleus. Cytoplasm. Predominantly nuclear but translocates to the cytoplasm following cell stress.; [Isoform 7]: Nucleus. Cytoplasm. Localized mainly in the nucleus with minor staining in the cytoplasm.; [Isoform 8]: Nucleus. Cytoplasm. Localized in both nucleus and cytoplasm in most cells. In some cells, forms foci in the nucleus that are different from nucleoli.; [Isoform 9]: Cytoplasm.
信号通路
Stem cell pathway; WNT;WNT-T CELL;β-Catenin; SAPK_JNK; AMPK; Cell_Cycle_G1S;Cell_Cycle_G2M_DNA; MAPK_ERK_Growth;MAPK_G_Protein; PI3K/Akt; Protein_Acetylation
功能
cofactor:Binds 1 zinc ion per subunit.,disease:Defects in TP53 are a cause of choroid plexus papilloma [MIM:260500]. Choroid plexus papilloma is a slow-growing benign tumor of the choroid plexus that often invades the leptomeninges. In children it is usually in a lateral ventricle but in adults it is more often in the fourth ventricle. Hydrocephalus is common, either from obstruction or from tumor secretion of cerebrospinal fluid. If it undergoes malignant transformation it is called a choroid plexus carcinoma. Primary choroid plexus tumors are rare and usually occur in early childhood.,disease:Defects in TP53 are a cause of Li-Fraumeni syndrome (LFS) [MIM:151623]. LFS is an autosomal dominant familial cancer syndrome that in its classic form is defined by the existence of a proband affected by a sarcoma before 45 years with a first degree relative affected by any tumor before 45 years and another first degree relative with any tumor before 45 years or a sarcoma at any age. Other clinical definitions for LFS have been proposed (PubMed:8118819 and PubMed:8718514) and called Li-Fraumeni like syndrome (LFL). In these families affected relatives develop a diverse set of malignancies at unusually early ages. Four types of cancers account for 80% of tumors occurring in TP53 germline mutation carriers: breast cancers, soft tissue and bone sarcomas, brain tumors (astrocytomas) and adrenocortical carcinomas. Less frequent tumors include choroid plexus carcinoma or papilloma before the age of 15, rhabdomyosarcoma before the age of 5, leukemia, Wilms tumor, malignant phyllodes tumor, colorectal and gastric cancers.,disease:Defects in TP53 are a cause of lung cancer [MIM:211980].,disease:Defects in TP53 are a cause of one form of hereditary adrenocortical carcinoma (ADCC) [MIM:202300]. ADCC is a rare childhood tumor, representing about 0.4% of childhood tumors, with a high incidence of associated tumors. ADCC occurs with increased frequency in patients with the Beckwith-Wiedemann syndrome [MIM:130650] and is a component tumor in Li-Fraumeni syndrome [MIM:151623].,disease:Defects in TP53 are found in Barrett metaplasia; also known as Barrett esophagus. It is a condition in which the normally stratified squamous epithelium of the lower esophagus is replaced by a metaplastic columnar epithelium. The condition develops as a complication in approximately 10% of patients with chronic gastroesophageal reflux disease and predisposes to the development of esophageal adenocarcinoma.,disease:Defects in TP53 are involved in esophageal squamous cell carcinoma (ESCC) [MIM:133239]. ESCC is a tumor of the esophagus.,disease:Defects in TP53 are involved in head and neck squamous cell carcinomas (HNSCC) [MIM:275355].,disease:Defects in TP53 are involved in oral squamous cell carcinoma (OSCC). Cigarette smoke is a prime mutagenic agent in cancer of the aerodigestive tract.,disease:Defects in TP53 may be associated with nasopharyngeal carcinoma [MIM:161550]; also known as nasopharyngeal cancer.,disease:TP53 is found in increased amounts in a wide variety of transformed cells. TP53 is frequently mutated or inactivated in about 60% of cancers.,domain:The nuclear export signal acts as a transcriptional repression domain.,function:Acts as a tumor suppressor in many tumor types; induces growth arrest or apoptosis depending on the physiological circumstances and cell type. Involved in cell cycle regulation as a trans-activator that acts to negatively regulate cell division by controlling a set of genes required for this process. One of the activated genes is an inhibitor of cyclin-dependent kinases. Apoptosis induction seems to be mediated either by stimulation of BAX and FAS antigen expression, or by repression of Bcl-2 expression.,function:Acts as a tumor suppressor in many tumor types; induces growth arrest or apoptosis depending on the physiological circumstances and cell type. Involved in cell cycle regulation as a trans-activator that acts to negatively regulate cell division by controlling a set of genes required for this process. One of the activated genes is an inhibitor of cyclin-dependent kinases. Apoptosis induction seems to be mediated either by stimulation of BAX and FAS antigen expression, or by repression of Bcl-2 expression. Implicated in Notch signaling cross-over.,online information:P53 entry,online information:Somatic and germline TP53 mutations in human cancers,online information:The Singapore human mutation and polymorphism database,PTM:Acetylated. Acetylation of Lys-382 by CREBBP enhances transcriptional activity. Deacetylation of Lys-382 by SIRT1 impairs its ability to induce proapoptotic program and modulate cell senescence.,PTM:Demethylation of di-methylated Lys-370 by KDM1/LSD1 prevents interaction with TP53BP1 and represses TP53-mediated transcriptional activation.,PTM:Dephosphorylated by PP2A. SV40 small T antigen inhibits the dephosphorylation by the AC form of PP2A.,PTM:May be O-glycosylated in the C-terminal basic region. Studied in EB-1 cell line.,PTM:Monomethylated at Lys-372 by SETD7, leading to stabilize it and increase transcriptional activation. Monomethylated at Lys-370 by SMYD2, leading to decrease DNA-binding activity and subsequent transcriptional regulation activity. Lys-372 monomethylation prevents the interaction with SMYD2 and subsequenct monomethylation at Lys-370.,PTM:Phosphorylation on Ser residues mediates transcriptional activation. Phosphorylated by HIPK1 (By similarity). Phosphorylation at Ser-9 by HIPK4 increases repression activity on BIRC5 promoter. Phosphorylated on Thr-18 by VRK1, which may prevent the interaction with MDM2. Phosphorylated on Thr-55 by TAF1, which promotes MDM2-mediated degradation. Phosphorylated on Ser-46 by HIPK2 upon UV irradiation. Phosphorylation on Ser-46 is required for acetylation by CREBBP. Phosphorylated on Ser-392 following UV but not gamma irradiation. Phosphorylated upon DNA damage, probably by ATM or ATR. Phosphorylated on Ser-15 upon ultraviolet irradiation; which is enhanced by interaction with BANP.,PTM:Sumoylated by SUMO1.,PTM:Ubiquitinated by SYVN1, which leads to proteasomal degradation.,similarity:Belongs to the p53 family.,subcellular location:Interaction with BANP promotes nuclear localization.,subunit:Binds DNA as a homotetramer.,subunit:Interacts with AXIN1. Probably part of a complex consisting of TP53, HIPK2 and AXIN1 (By similarity). Binds DNA as a homotetramer. Interacts with histone acetyltransferases EP300 and methyltransferases HRMT1L2 and CARM1, and recruits them to promoters. In vitro, the interaction of TP53 with cancer-associated/HPV (E6) viral proteins leads to ubiquitination and degradation of TP53 giving a possible model for cell growth regulation. This complex formation requires an additional factor, E6-AP, which stably associates with TP53 in the presence of E6. Interacts (via C-terminus) with TAF1; when TAF1 is part of the TFIID complex. Interacts with ING4; this interaction may be indirect. Found in a complex with CABLES1 and TP73. Interacts with HIPK1, HIPK2, and P53DINP1. Interacts with WWOX. May interact with HCV core protein. Interacts with USP7 and SYVN1. Interacts with HSP90AB1. Interacts with CHD8; leading to recruit histone H1 and prevent transactivation activity (By similarity). Interacts with ARMC10, BANP, CDKN2AIP and E4F1. Interacts with YWHAZ; the interaction enhances P53 transcriptional activity. Phosphorylation of YWHAZ on 'Ser-58' inhibits this interaction. Interacts (via DNA-binding domain) with MAML1 (via N-terminus).,
期货
现货
纯化
The antibody was affinity-purified from rabbit antiserum by affinity-chromatography using epitope-specific immunogen.

Enzyme-Linked Immunosorbent Assay (Phospho-ELISA) for Immunogen Phosphopeptide (Phospho-left) and Non-Phosphopeptide (Phospho-right), using p53 (Phospho-Ser366) Antibody

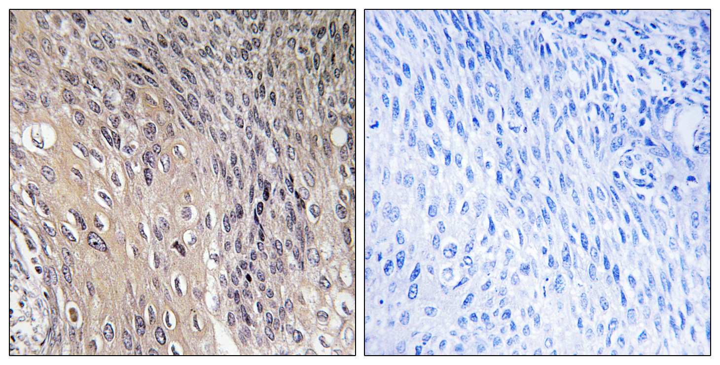
Immunohistochemistry analysis of paraffin-embedded human breast carcinoma, using p53 (Phospho-Ser366) Antibody. The picture on the right is blocked with the phospho peptide.

Western blot analysis of lysates from HeLa cells treated with Adriamycin 0.5ug/ml 24h, using p53 (Phospho-Ser366) Antibody. The lane on the right is blocked with the phospho peptide.

Western Blot analysis of HELA cells using Phospho-p53 (S366) Polyclonal Antibody

相关文献

产品问答

相关产品

免责声明| 法律支持| 联系方式

市场:027-65023363   行政/人事:027-62439686   邮箱:marketing@brainvta.com   客服:18140661572(活动咨询、售后反馈等)

销售总监:张经理  18995532642  华东区:陈经理 18013970337   华南区:王经理 13100653525   华中/西区:杨经理 18186518905   华北区:张经理 18893721749

地址:中国武汉东湖高新区光谷七路128号中科开物产业园1号楼

Copyright © 武汉枢密脑科学技术有限公司. All RIGHTS RESERVED.
鄂ICP备2021009124号 DIGITAL BY VTHINK