Cn|En

现货抗体产品库

IκB-α (phospho Tyr305) Rabbit Polyclonal Antibody

产品详情 相关文献 产品问答 相关产品

产品基本信息

产品货号
BD-PP0752
产品名称
IκB-α (phospho Tyr305) Rabbit Polyclonal Antibody
别名
NFKBIA; IKBA; MAD3; NFKBI; NF-kappa-B inhibitor alpha; I-kappa-B-alpha; IkB-alpha; IkappaBalpha; Major histocompatibility complex enhancer-binding protein MAD3
类别
常规抗体
基因名称
NFKBIA IKBA MAD3 NFKBI
蛋白名称
NF-kappa-B inhibitor alpha
推荐应用
WB
反应种属
Human,Mouse,Rat,Monkey
浓度
1 mg/ml
存储缓冲液
Liquid in PBS containing 50% glycerol, 0.5% BSA and 0.02% New type preservative N.
Human Gene ID
4792
Human Gene Link
http://www.ncbi.nlm.nih.gov/sites/entrez?db=gene&term=4792
Human Swissprot No.
P25963
Human Swissprot Link
http://www.uniprot.org/uniprotkb/P25963/entry
Mouse Gene ID
18035
Mouse Gene Link
http://www.ncbi.nlm.nih.gov/sites/entrez?db=gene&term=18035
Mouse Swissprot No.
Q9Z1E3
Mouse Swissprot Link
http://www.uniprot.org/uniprot/Q9Z1E3
Rat Gene ID
25493
Rat Gene Link
http://www.ncbi.nlm.nih.gov/sites/entrez?db=gene&term=25493
Rat Swissprot No.
Q63746
Rat Swissprot Link
http://www.uniprot.org/uniprot/Q63746
免疫原
The antiserum was produced against synthesized peptide derived from human IkappaB-alpha around the phosphorylation site of Tyr305. AA range:268-317
特异性
Phospho-IκB-α (Y305) Polyclonal Antibody detects endogenous levels of IκB-α protein only when phosphorylated at Y305.
稀释度
WB 1:500 - 1:2000. IHC 1:100 - 1:300. ELISA: 1:5000.. IF 1:50-200
预测分子量
about 40kd
运输及保存条件
-20°C/1 year
宿主
Polyclonal, Rabbit,IgG
背景介绍
This gene encodes a member of the NF-kappa-B inhibitor family, which contain multiple ankrin repeat domains. The encoded protein interacts with REL dimers to inhibit NF-kappa-B/REL complexes which are involved in inflammatory responses. The encoded protein moves between the cytoplasm and the nucleus via a nuclear localization signal and CRM1-mediated nuclear export. Mutations in this gene have been found in ectodermal dysplasia anhidrotic with T-cell immunodeficiency autosomal dominant disease. [provided by RefSeq, Aug 2011],
组织表达
Brain,Kidney,Lymph node,Monocyte,
细胞定位
Cytoplasm. Nucleus. Shuttles between the nucleus and the cytoplasm by a nuclear localization signal (NLS) and a CRM1-dependent nuclear export. .
信号通路
Chemokine;Apoptosis_Inhibition;Apoptosis_Mitochondrial;Apoptosis_Overview;Toll_Like;NOD-like receptor;RIG-I-like receptor;Cytosolic DNA-sensing pathway;T_Cell_Receptor;B_Cell_Antigen;Neurotrophin;Adipocytokine;Epithelial cell signaling in Helicobacter pyl
功能
disease:Defects in NFKBIA are the cause of ectodermal dysplasia anhidrotic with T-cell immunodeficiency autosomal dominant (ADEDAID) [MIM:612132]. Ectodermal dysplasia defines a heterogeneous group of disorders due to abnormal development of two or more ectodermal structures. ADEDAID is an ectodermal dysplasia associated with decreased production of pro-inflammatory cytokines and certain interferons, rendering patients susceptible to infection.,function:Inhibits the activity of dimeric NF-kappa-B/REL complexes by trapping REL dimers in the cytoplasm through masking of their nuclear localization signals. On cellular stimulation by immune and proinflammatory responses, becomes phosphorylated promoting ubiquitination and degradation, enabling the dimeric RELA to tranlocate to the nucleus and activate transcription.,induction:Induced in adherent monocytes.,online information:NFKBIA mutation db,PTM:Phosphorylated; disables inhibition of NF-kappa-B DNA-binding activity.,PTM:Sumoylated; sumoylation requires the presence of the nuclear import signal.,PTM:Ubiquitinated; subsequent to stimulus-dependent phosphorylation on serines.,similarity:Belongs to the NF-kappa-B inhibitor family.,similarity:Contains 5 ANK repeats.,subcellular location:Shuttles between the nucleus and the cytoplasm by a nuclear localization signal (NLS) and a CRM1-dependent nuclear export.,subunit:Interacts with RELA; the interaction requires the nuclear import signal. Interacts with NKIRAS1 and NKIRAS2. Part of a 70-90 kDa complex at least consisting of CHUK, IKBKB, NFKBIA, RELA, IKBKAP and MAP3K14. Interacts with HBV protein X. Interacts with RWDD3; the interaction enhances sumoylation.,
期货
现货
纯化
The antibody was affinity-purified from rabbit antiserum by affinity-chromatography using epitope-specific immunogen.

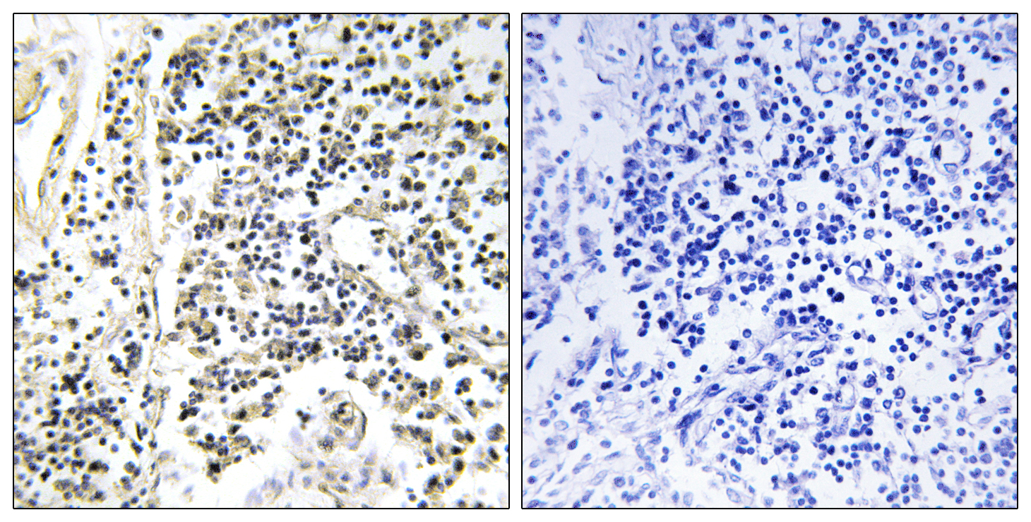
Immunohistochemistry analysis of paraffin-embedded human lymph node, using IkappaB-alpha (Phospho-Tyr305) Antibody. The picture on the right is blocked with the phospho peptide.

Western blot analysis of lysates from COS7 cells treated with nocodazole 1ug/ml 16h, using IkappaB-alpha (Phospho-Tyr305) Antibody. The lane on the right is blocked with the phospho peptide.

相关文献

产品问答

相关产品

免责声明| 法律支持| 联系方式

市场:027-65023363   行政/人事:027-62439686   邮箱:marketing@brainvta.com   客服:18140661572(活动咨询、售后反馈等)

销售总监:张经理  18995532642  华东区:陈经理 18013970337   华南区:王经理 13100653525   华中/西区:杨经理 18186518905   华北区:张经理 18893721749

地址:中国武汉东湖高新区光谷七路128号中科开物产业园1号楼

Copyright © 武汉枢密脑科学技术有限公司. All RIGHTS RESERVED.
鄂ICP备2021009124号 DIGITAL BY VTHINK