Cn|En

现货抗体产品库

SGK1 (phospho Ser422) Rabbit Polyclonal Antibody

产品详情 相关文献 产品问答 相关产品

产品基本信息

产品货号
BD-PP0244
产品名称
SGK1 (phospho Ser422) Rabbit Polyclonal Antibody
别名
SGK1; SGK; Serine/threonine-protein kinase Sgk1; Serum/glucocorticoid-regulated kinase 1
类别
常规抗体
基因名称
SGK1
蛋白名称
Serine/threonine-protein kinase Sgk1
推荐应用
WB
反应种属
Human,Mouse,Rat
浓度
1 mg/ml
存储缓冲液
Liquid in PBS containing 50% glycerol, 0.5% BSA and 0.02% New type preservative N.
Human Gene ID
6446
Human Gene Link
http://www.ncbi.nlm.nih.gov/sites/entrez?db=gene&term=6446
Human Swissprot No.
O00141
Human Swissprot Link
http://www.uniprot.org/uniprotkb/O00141/entry
Mouse Gene ID
20393
Mouse Gene Link
http://www.ncbi.nlm.nih.gov/sites/entrez?db=gene&term=20393
Mouse Swissprot No.
Q9WVC6
Mouse Swissprot Link
http://www.uniprot.org/uniprot/Q9WVC6
Rat Swissprot No.
Q06226
Rat Swissprot Link
http://www.uniprot.org/uniprot/Q06226
免疫原
The antiserum was produced against synthesized peptide derived from human SGK around the phosphorylation site of Ser422. AA range:381-430
特异性
Phospho-SGK1 (S422) Polyclonal Antibody detects endogenous levels of SGK1 protein only when phosphorylated at S422.
稀释度
WB 1:500 - 1:2000. IHC 1:100 - 1:300. ELISA: 1:40000.. IF 1:50-200
预测分子量
57kD
运输及保存条件
-20°C/1 year
宿主
Polyclonal, Rabbit,IgG
背景介绍
This gene encodes a serine/threonine protein kinase that plays an important role in cellular stress response. This kinase activates certain potassium, sodium, and chloride channels, suggesting an involvement in the regulation of processes such as cell survival, neuronal excitability, and renal sodium excretion. High levels of expression of this gene may contribute to conditions such as hypertension and diabetic nephropathy. Several alternatively spliced transcript variants encoding different isoforms have been noted for this gene. [provided by RefSeq, Jan 2009],
组织表达
Expressed in most tissues with highest levels in the pancreas, followed by placenta, kidney and lung. Isoform 2 is strongly expressed in brain and pancreas, weaker in heart, placenta, lung, liver and skeletal muscle.
细胞定位
Cytoplasm. Nucleus. Endoplasmic reticulum membrane. Cell membrane. Mitochondrion. The subcellular localization is controlled by the cell cycle, as well as by exposure to specific hormones and environmental stress stimuli. In proliferating cells, it shuttles between the nucleus and cytoplasm in synchrony with the cell cycle, and in serum/growth factor-stimulated cells it resides in the nucleus. In contrast, after exposure to environmental stress or treatment with glucocorticoids, it is detected in the cytoplasm and with certain stress conditions is associated with the mitochondria. In osmoregulation through the epithelial sodium channel, it can be localized to the cytoplasmic surface of the cell membrane. Nuclear, upon phosphorylation.; [Isoform 2]: Cell membrane.
信号通路
Aldosterone-regulated sodium reabsorption;
功能
catalytic activity:ATP + a protein = ADP + a phosphoprotein.,enzyme regulation:Two specific sites, one in the kinase domain (Thr-256) and the other in the C-terminal regulatory region (Ser-422), need to be phosphorylated for its full activation.,function:Protein kinase that plays an important role in cellular stress response. Activates certain potassium, sodium, and chloride channels, suggesting an involvement in the regulation of processes such as cell survival, neuronal excitability, and renal sodium excretion. Sustained high levels and activity may contribute to conditions such as hypertension and diabetic nephropathy. Mediates cell survival signals, phosphorylates and negatively regulates pro-apoptotic FOXO3A. Phosphorylates NEDD4L, which leads to its inactivation and to the subsequent activation of various channels and transporters such as ENaC, Kv1.3, or EAAT1.,induction:By serum and/or glucocorticoids. By excessive extracellular glucose and by TGF-beta, in cultured cells.,PTM:Regulated by phosphorylation. Phosphoinositide 3-kinase (PI3-kinase) pathway promotes phosphorylation at Ser-422 which in turn increases the phosphorylation of Thr-256 by PDPK1.,PTM:Ubiquitinated by NEDD4L; which promotes proteasomal degradation. Ubiquitinated by SYVN1 at the endoplasmic reticulum; which promotes rapid proteasomal degradation and maintains a high turnover rate in resting cells.,similarity:Belongs to the protein kinase superfamily. AGC Ser/Thr protein kinase family.,similarity:Contains 1 AGC-kinase C-terminal domain.,similarity:Contains 1 protein kinase domain.,subcellular location:Nuclear, upon phosphorylation.,subunit:Interacts with NEDD4 and NEDD4L.,tissue specificity:Expressed in most tissues with highest levels in the pancreas, followed by placenta, kidney and lung.,
期货
现货
纯化
The antibody was affinity-purified from rabbit antiserum by affinity-chromatography using epitope-specific immunogen.

Enzyme-Linked Immunosorbent Assay (Phospho-ELISA) for Immunogen Phosphopeptide (Phospho-left) and Non-Phosphopeptide (Phospho-right), using SGK (Phospho-Ser422) Antibody

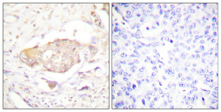
Immunohistochemistry analysis of paraffin-embedded human breast carcinoma, using SGK (Phospho-Ser422) Antibody. The picture on the right is blocked with the phospho peptide.

Western blot analysis of lysates from HeLa cells treated with Insulin 0.01U/ml 15‘, using SGK (Phospho-Ser422) Antibody. The lane on the right is blocked with the phospho peptide.

Western Blot analysis of VEC HY926 cells using Phospho-SGK1 (S422) Polyclonal Antibody diluted at 1:500

Immunohistochemical analysis of paraffin-embedded Human breast cancer. Antibody was diluted at 1:100(4°,overnight). High-pressure and temperature Tris-EDTA,pH8.0 was used for antigen retrieval. Negetive contrl (right) obtaned from antibody was pre-absorbed by immunogen peptide.

相关文献

产品问答

相关产品

免责声明| 法律支持| 联系方式

市场:027-65023363   行政/人事:027-62439686   邮箱:marketing@brainvta.com   客服:18140661572(活动咨询、售后反馈等)

销售总监:张经理  18995532642  华东区:陈经理 18013970337   华南区:王经理 13100653525   华中/西区:杨经理 18186518905   华北区:张经理 18893721749

地址:中国武汉东湖高新区光谷七路128号中科开物产业园1号楼

Copyright © 武汉枢密脑科学技术有限公司. All RIGHTS RESERVED.
鄂ICP备2021009124号 DIGITAL BY VTHINK