Cn|En

现货抗体产品库

Rb (phospho Ser780) Rabbit Polyclonal Antibody

产品详情 相关文献 产品问答 相关产品

产品基本信息

产品货号
BD-PP0240
产品名称
Rb (phospho Ser780) Rabbit Polyclonal Antibody
别名
RB1; Retinoblastoma-associated protein; p105-Rb; pRb; Rb; pp110
类别
常规抗体
基因名称
RB1
蛋白名称
Retinoblastoma-associated protein
推荐应用
WB
反应种属
Human,Mouse,Rat
浓度
1 mg/ml
存储缓冲液
Liquid in PBS containing 50% glycerol, 0.5% BSA and 0.02% New type preservative N.
Human Gene ID
5925
Human Gene Link
http://www.ncbi.nlm.nih.gov/sites/entrez?db=gene&term=5925
Human Swissprot No.
P06400
Human Swissprot Link
http://www.uniprot.org/uniprotkb/P06400/entry
Mouse Gene ID
19645
Mouse Gene Link
http://www.ncbi.nlm.nih.gov/sites/entrez?db=gene&term=19645
Mouse Swissprot No.
P13405
Mouse Swissprot Link
http://www.uniprot.org/uniprot/P13405
Rat Gene ID
24708
Rat Gene Link
http://www.ncbi.nlm.nih.gov/sites/entrez?db=gene&term=24708
Rat Swissprot No.
P33568
Rat Swissprot Link
http://www.uniprot.org/uniprot/P33568
免疫原
The antiserum was produced against synthesized peptide derived from human Retinoblastoma around the phosphorylation site of Ser780. AA range:751-800
特异性
Phospho-Rb (S780) Polyclonal Antibody detects endogenous levels of Rb protein only when phosphorylated at S780.
稀释度
WB 1:500-2000
预测分子量
106kD
运输及保存条件
-20°C/1 year
宿主
Polyclonal, Rabbit,IgG
背景介绍
The protein encoded by this gene is a negative regulator of the cell cycle and was the first tumor suppressor gene found. The encoded protein also stabilizes constitutive heterochromatin to maintain the overall chromatin structure. The active, hypophosphorylated form of the protein binds transcription factor E2F1. Defects in this gene are a cause of childhood cancer retinoblastoma (RB), bladder cancer, and osteogenic sarcoma. [provided by RefSeq, Jul 2008],
组织表达
Expressed in the retina. Expressed in foreskin keratinocytes (at protein level) (PubMed:20940255).
细胞定位
Nucleus . During keratinocyte differentiation, acetylation by KAT2B/PCAF is required for nuclear localization. .
信号通路
Stem cell pathway; Cell_Cycle_G1S;Cell_Cycle_G2M_DNA; Protein_Acetylation
功能
disease:Defects in RB1 are a cause of bladder cancer [MIM:109800].,disease:Defects in RB1 are a cause of osteogenic sarcoma [MIM:259500].,disease:Defects in RB1 are the cause of childhood cancer retinoblastoma (RB) [MIM:180200]. RB is a congenital malignant tumor that arises from the nuclear layers of the retina. It occurs in about 1:20'000 live births and represents about 2% of childhood malignancies. It is bilateral in about 30% of cases. Although most RB appear sporadically, about 20% are transmitted as an autosomal dominant trait with incomplete penetrance. The diagnosis is usually made before the age of 2 years when strabismus or a gray to yellow reflex from pupil ("cat eye") is investigated.,function:Key regulator of entry into cell division that acts as a tumor suppressor. Acts as a transcription repressor of E2F1 target genes. The underphosphorylated, active form of RB1 interacts with E2F1 and represses its transcription activity, leading to cell cycle arrest. Directly involved in heterochromatin formation by maintaining overall chromatin structure and, in particular, that of constitutive heterochromatin by stabilizing histone methylation. Recruits and targets histone methyltransferases SUV39H1, SUV420H1 and SUV420H2, leading to epigenetic transcriptional repression. Controls histone H4 'Lys-20' trimethylation. Inhibits the intrinsic kinase activity of TAF1. In case of viral infections, interactions with SV40 large T antigen, HPV E7 protein or adenovirus E1A protein induce the disassembly of RB1-E2F1 complex thereby disrupting RB1's activity.,online information:RB1 mutation db,online information:Retinoblastoma protein entry,PTM:Phosphorylated in G1, thereby releasing E2F1 which is then able to activate cell growth. Dephosphorylated at the late M phase. SV40 large T antigen, HPV E7 and adenovirus E1A bind to the underphosphorylated, active form of pRb.,similarity:Belongs to the retinoblastoma protein (RB) family.,subunit:Interacts with ATAD5 (By similarity). The hypophosphorylated form interacts with and sequesters the E2F1 transcription factor. The unphosphorylated form interacts with ARID3B, KDM5A, SUV39H1, MJD2A/JHDM3A and THOC1. Interacts with the N-terminal domain of TAF1. Interacts with AATF, DNMT1, LIN9, LMNA, SUV420H1, SUV420H2, PELP1 and TMPO-alpha. May interact with NDC80. Interacts with EID1 and UBR4. Interacts with ARID4A and KDM5B. Interacts with E4F1. Interacts with adenovirus E1A protein, HPV E7 protein and SV40 large T antigen.,tissue specificity:Expressed in the retina.,
期货
现货
纯化
The antibody was affinity-purified from rabbit antiserum by affinity-chromatography using epitope-specific immunogen.

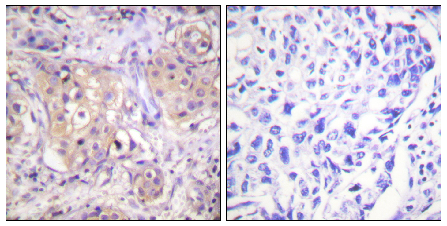
Immunohistochemistry analysis of paraffin-embedded human breast carcinoma, using Retinoblastoma (Phospho-Ser780) Antibody. The picture on the right is blocked with the phospho peptide.

Western blot analysis of lysates from K562 cells treated with serum 10%, using Retinoblastoma (Phospho-Ser780) Antibody. The lane on the right is blocked with the phospho peptide.

Western Blot analysis of various cells using Phospho-Rb (S780) Polyclonal Antibody cells nucleus extracted by Minute TM Cytoplasmic and Nuclear Fractionation kit (SC-003,Inventbiotech,MN,USA).

Western Blot analysis of KB cells using Phospho-Rb (S780) Polyclonal Antibody cells nucleus extracted by Minute TM Cytoplasmic and Nuclear Fractionation kit (SC-003,Inventbiotech,MN,USA).

相关文献

产品问答

相关产品

免责声明| 法律支持| 联系方式

市场:027-65023363   行政/人事:027-62439686   邮箱:marketing@brainvta.com   客服:18140661572(活动咨询、售后反馈等)

销售总监:张经理  18995532642  华东区:陈经理 18013970337   华南区:王经理 13100653525   华中/西区:杨经理 18186518905   华北区:张经理 18893721749

地址:中国武汉东湖高新区光谷七路128号中科开物产业园1号楼

Copyright © 武汉枢密脑科学技术有限公司. All RIGHTS RESERVED.
鄂ICP备2021009124号 DIGITAL BY VTHINK