Cn|En

现货抗体产品库

IRS-1 (phospho Ser636) Rabbit Polyclonal Antibody

产品详情 相关文献 产品问答 相关产品

产品基本信息

产品货号
BD-PP0148
产品名称
IRS-1 (phospho Ser636) Rabbit Polyclonal Antibody
别名
IRS1; Insulin receptor substrate 1; IRS-1
类别
常规抗体
基因名称
IRS1
蛋白名称
Insulin receptor substrate 1
推荐应用
WB
反应种属
Human,Mouse,Rat
浓度
1 mg/ml
存储缓冲液
Liquid in PBS containing 50% glycerol, 0.5% BSA and 0.02% New type preservative N.
Human Gene ID
3667
Human Gene Link
http://www.ncbi.nlm.nih.gov/sites/entrez?db=gene&term=3667
Human Swissprot No.
P35568
Human Swissprot Link
http://www.uniprot.org/uniprotkb/P35568/entry
Mouse Gene ID
16367
Mouse Gene Link
http://www.ncbi.nlm.nih.gov/sites/entrez?db=gene&term=16367
Mouse Swissprot No.
P35569
Mouse Swissprot Link
http://www.uniprot.org/uniprot/P35569
Rat Gene ID
25467
Rat Gene Link
http://www.ncbi.nlm.nih.gov/sites/entrez?db=gene&term=25467
Rat Swissprot No.
P35570
Rat Swissprot Link
http://www.uniprot.org/uniprot/P35570
免疫原
The antiserum was produced against synthesized peptide derived from human IRS-1 around the phosphorylation site of Ser636. AA range:603-652
特异性
Phospho-IRS-1 (S636) Polyclonal Antibody detects endogenous levels of IRS-1 protein only when phosphorylated at S636.
稀释度
WB 1:500 - 1:2000. IHC 1:100 - 1:300. IF 1:200 - 1:1000. ELISA: 1:20000. Not yet tested in other applications.
预测分子量
170kD
运输及保存条件
-20°C/1 year
宿主
Polyclonal, Rabbit,IgG
背景介绍
This gene encodes a protein which is phosphorylated by insulin receptor tyrosine kinase. Mutations in this gene are associated with type II diabetes and susceptibility to insulin resistance. [provided by RefSeq, Nov 2009],
组织表达
Epithelium,Eye,Skeletal muscle,
细胞定位
nucleus,cytoplasm,cytosol,plasma membrane,insulin receptor complex,caveola,intracellular membrane-bounded organelle,
信号通路
Neurotrophin;Insulin_Receptor;Adipocytokine;Type II diabetes mellitus;Aldosterone-regulated sodium reabsorption;
功能
disease:Polymorphisms in IRS1 may be involved in the etiology of non-insulin-dependent diabetes mellitus (NIDDM) [MIM:125853].,function:May mediate the control of various cellular processes by insulin. When phosphorylated by the insulin receptor binds specifically to various cellular proteins containing SH2 domains such as phosphatidylinositol 3-kinase p85 subunit or GRB2. Activates phosphatidylinositol 3-kinase when bound to the regulatory p85 subunit.,polymorphism:The Arg-971 polymorphism impairs the ability of insulin to stimulate glucose transport, glucose transporter translocation, and glycogen synthesis by affecting the PI3K/AKT1/GSK3 signaling pathway. The polymorphism at Arg-971 may contribute to the in vivo insulin resistance observed in carriers of this variant. Arg-971 could contribute to the risk for atherosclerotic cardiovascular diseases associated with non-insulin-dependent diabetes mellitus (NIDDM) by producing a cluster of insulin resistance-related metabolic abnormalities. In insulin-stimulated human endothelial cells from carriers of the Arg-971 polymorphism, genetic impairment of the IRS1/PI3K/PDPK1/AKT1 insulin signaling cascade results in impaired insulin-stimulated nitric oxide (NO) release and suggested that this may be a mechanism through which the Arg-971 polymorphism contributes to the genetic predisposition to develop endothelial dysfunction and cardiovascular disease. The Arg-971 polymorphism not only reduces phosphorylation of the substrate but allows IRS1 to act as an inhibitor of PI3K, producing global insulin resistance.,PTM:Phosphorylation of Tyr-896 is required for GRB2-binding.,PTM:Serine phosphorylation of IRS1 is a mechanism for insulin resistance. Ser-312 phosphorylation inhibits insulin action through disruption of IRS1 interaction with the insulin receptor.,similarity:Contains 1 IRS-type PTB domain.,similarity:Contains 1 PH domain.,subunit:Interacts with the NPXY motif of tyrosine-phosphorylated IGF1R and INSR via the PTB domain. Binds to phosphatidylinositol 3-kinase p85 subunit via the phosphorylated YXXM motifs. Binds ROCK1. Binds to UBTF and PIK3CA in nuclear extracts (By similarity). Interacts with SOCS7.,
期货
现货
纯化
The antibody was affinity-purified from rabbit antiserum by affinity-chromatography using epitope-specific immunogen.

Enzyme-Linked Immunosorbent Assay (Phospho-ELISA) for Immunogen Phosphopeptide (Phospho-left) and Non-Phosphopeptide (Phospho-right), using IRS-1 (Phospho-Ser636) Antibody

Immunofluorescence analysis of MCF7 cells, using IRS-1 (Phospho-Ser636) Antibody. The picture on the right is blocked with the phospho peptide.

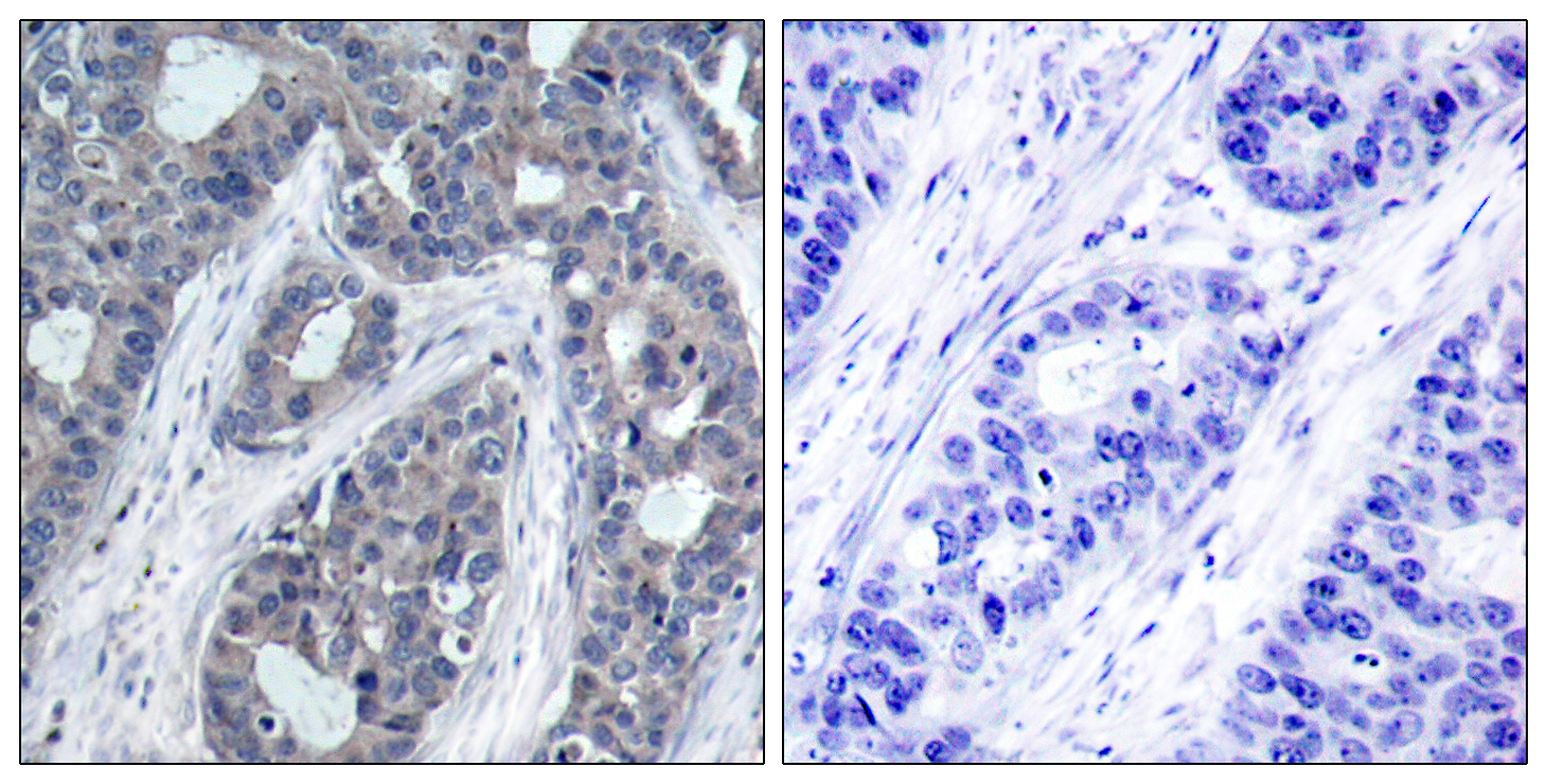
Immunohistochemistry analysis of paraffin-embedded human breast carcinoma, using IRS-1 (Phospho-Ser636) Antibody. The picture on the right is blocked with the phospho peptide.

Western blot analysis of lysates from 293 cells and COLO205 cells, using IRS-1 (Phospho-Ser636) Antibody. The lane on the right is blocked with the phospho peptide.

Western Blot analysis of various cells using Phospho-IRS-1 (S636) Polyclonal Antibody diluted at 1:2000

Western Blot analysis of SH-SY5Y cells using Phospho-IRS-1 (S636) Polyclonal Antibody diluted at 1:2000

Western Blot analysis of RAW using Phospho-IRS-1 (S636) Polyclonal Antibody diluted at 1:2000

Western blot analysis of 293T 3T3 lysis using Phospho-IRS-1 (S636) antibody. Antibody was diluted at 1:2000

Immunohistochemical analysis of paraffin-embedded Human brain. Antibody was diluted at 1:100(4°,overnight). High-pressure and temperature Tris-EDTA,pH8.0 was used for antigen retrieval. Negetive contrl (right) obtaned from antibody was pre-absorbed by immunogen peptide.

相关文献

产品问答

相关产品

免责声明| 法律支持| 联系方式

市场:027-65023363   行政/人事:027-62439686   邮箱:marketing@brainvta.com   客服:18140661572(活动咨询、售后反馈等)

销售总监:张经理  18995532642  华东区:陈经理 18013970337   华南区:王经理 13100653525   华中/西区:杨经理 18186518905   华北区:张经理 18893721749

地址:中国武汉东湖高新区光谷七路128号中科开物产业园1号楼

Copyright © 武汉枢密脑科学技术有限公司. All RIGHTS RESERVED.
鄂ICP备2021009124号 DIGITAL BY VTHINK