Cn|En

现货抗体产品库

c-Myc (phospho Thr58) Rabbit Polyclonal Antibody

产品详情 相关文献 产品问答 相关产品

产品基本信息

产品货号
BD-PP0069
产品名称
c-Myc (phospho Thr58) Rabbit Polyclonal Antibody
别名
MYC; BHLHE39; Myc proto-oncogene protein; Class E basic helix-loop-helix protein 39; bHLHe39; Proto-oncogene c-Myc; Transcription factor p64
类别
常规抗体
基因名称
MYC
蛋白名称
Myc proto-oncogene protein
推荐应用
WB
反应种属
Human,Mouse,Rat
浓度
1 mg/ml
存储缓冲液
Liquid in PBS containing 50% glycerol, 0.5% BSA and 0.02% New type preservative N.
Human Gene ID
4609
Human Gene Link
http://www.ncbi.nlm.nih.gov/sites/entrez?db=gene&term=4609
Human Swissprot No.
P01106
Human Swissprot Link
http://www.uniprot.org/uniprotkb/P01106/entry
Mouse Gene ID
17869
Mouse Gene Link
http://www.ncbi.nlm.nih.gov/sites/entrez?db=gene&term=17869
Mouse Swissprot No.
P01108
Mouse Swissprot Link
http://www.uniprot.org/uniprot/P01108
Rat Gene ID
24577
Rat Gene Link
http://www.ncbi.nlm.nih.gov/sites/entrez?db=gene&term=24577
Rat Swissprot No.
P09416
Rat Swissprot Link
http://www.uniprot.org/uniprot/P09416
免疫原
The antiserum was produced against synthesized peptide derived from human Myc around the phosphorylation site of Thr58. AA range:25-74
特异性
Phospho-c-Myc (T58) Polyclonal Antibody detects endogenous levels of c-Myc protein only when phosphorylated at T58.
稀释度
WB 1:500 - 1:2000. IHC 1:100 - 1:300. Immunoprecipitation: 2-5 ug:mg lysate. ELISA: 1:10000.. IF 1:50-200
预测分子量
50,(also ~60KD in some samples)
运输及保存条件
-20°C/1 year
宿主
Polyclonal, Rabbit,IgG
背景介绍
The protein encoded by this gene is a multifunctional, nuclear phosphoprotein that plays a role in cell cycle progression, apoptosis and cellular transformation. It functions as a transcription factor that regulates transcription of specific target genes. Mutations, overexpression, rearrangement and translocation of this gene have been associated with a variety of hematopoietic tumors, leukemias and lymphomas, including Burkitt lymphoma. There is evidence to show that alternative translation initiations from an upstream, in-frame non-AUG (CUG) and a downstream AUG start site result in the production of two isoforms with distinct N-termini. The synthesis of non-AUG initiated protein is suppressed in Burkitt's lymphomas, suggesting its importance in the normal function of this gene. [provided by RefSeq, Jul 2008],
组织表达
Cervix,Epithelium,Leukemia,Placenta,Promyelocytic l
细胞定位
Nucleus, nucleoplasm . Nucleus, nucleolus .
信号通路
Stem cell pathway; Cell_Cycle_G1S;Cell_Cycle_G2M_DNA; WNT;WNT-T CELL;β-Catenin; ErbB/HER; MAPK_ERK_Growth;MAPK_G_Protein; PI3K/Akt; Protein_Acetylation
功能
disease:A chromosomal aberration involving MYC may be a cause of a form of B-cell chronic lymphocytic leukemia. Translocation t(8;12)(q24;q22) with BTG1.,disease:Overexpression of MYC is implicated in the etiology of a variety of hematopoietic tumors.,function:Participates in the regulation of gene transcription. Binds DNA both in a non-specific manner and also specifically to recognizes the core sequence 5'-CAC[GA]TG-3'. Seems to activate the transcription of growth-related genes.,online information:Myc entry,PTM:Phosphorylated by PRKDC.,similarity:Contains 1 basic helix-loop-helix (bHLH) domain.,subunit:Efficient DNA binding requires dimerization with another bHLH protein. Binds DNA as a heterodimer with MAX. Interacts with TAF1C and SPAG9. Interacts with PARP10. Interacts with KDM5A and KDM5B.,
期货
现货
纯化
The antibody was affinity-purified from rabbit antiserum by affinity-chromatography using epitope-specific immunogen.

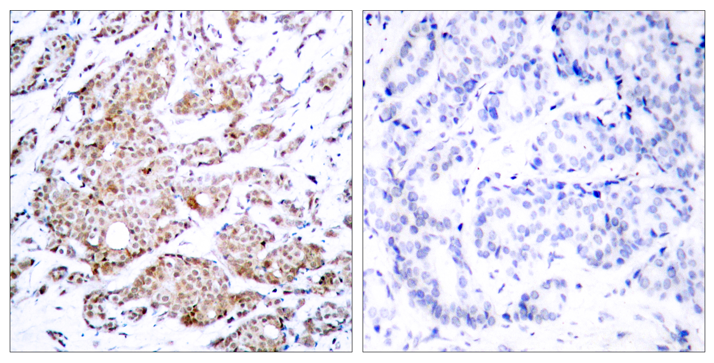
Immunohistochemistry analysis of paraffin-embedded human breast carcinoma, using Myc (Phospho-Thr58) Antibody. The picture on the right is blocked with the phospho peptide.

Western blot analysis of lysates from ovary cancer, using Myc (Phospho-Thr58) Antibody. The lane on the right is blocked with the phospho peptide.

Western Blot analysis of various cells using Phospho-c-Myc (T58) Polyclonal Antibody diluted at 1:500

Western Blot analysis of 293 cells using Phospho-c-Myc (T58) Polyclonal Antibody diluted at 1:500

相关文献

产品问答

相关产品

免责声明| 法律支持| 联系方式

市场:027-65023363   行政/人事:027-62439686   邮箱:marketing@brainvta.com   客服:18140661572(活动咨询、售后反馈等)

销售总监:张经理  18995532642  华东区:陈经理 18013970337   华南区:王经理 13100653525   华中/西区:杨经理 18186518905   华北区:张经理 18893721749

地址:中国武汉东湖高新区光谷七路128号中科开物产业园1号楼

Copyright © 武汉枢密脑科学技术有限公司. All RIGHTS RESERVED.
鄂ICP备2021009124号 DIGITAL BY VTHINK