ERG (10X18) Mouse Monoclonal antibody
产品基本信息
Immunohistochemical staining of paraffin-embedded Human tonsil within the normal limits using anti-ERG mouse monoclonal antibody. (Heat-induced epitope retrieval by 10mM citric buffer, pH6.0, 120°C for 3min, BD-PE5583)
Western blot analysis of extracts (10ug) from 8 Human tissue by using anti-ERG monoclonal antibody at 1:200 (1: Testis; 2: Uterus; 3: Breast; 4: Brain; 5: Liver; 6: Ovary; 7: Thyroid gland; 8: Colon).
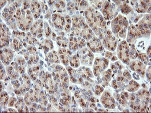
Immunohistochemical staining of paraffin-embedded Human pancreas tissue within the normal limits using anti-ERG mouse monoclonal antibody. (Heat-induced epitope retrieval by 10mM citric buffer, pH6.0, 120°C for 3min, BD-PE5583)
Immunohistochemical staining of paraffin-embedded Human Ovary tissue within the normal limits using anti-ERG mouse monoclonal antibody. (Heat-induced epitope retrieval by 10mM citric buffer, pH6.0, 120°C for 3min, BD-PE5583)
Anti-ERG mouse monoclonal antibody (BD-PE5583) immunofluorescent staining of COS7 cells transiently transfected by pCMV6-ENTRY ERG .
HEK293T cells were transfected with the pCMV6-ENTRY control (Left lane) or pCMV6-ENTRY ERG (Right lane) cDNA for 48 hrs and lysed. Equivalent amounts of cell lysates (5 ug per lane) were separated by SDS-PAGE and immunoblotted with anti-ERG(Cat# BD-PE5583). Positive lysates (100ug) and (20ug) can be purchased separately from OriGene.
相关文献
产品问答
相关产品

市场:027-65023363 行政/人事:027-62439686 邮箱:marketing@brainvta.com 客服:18140661572(活动咨询、售后反馈等)
销售总监:张经理 18995532642 华东区:陈经理 18013970337 华南区:王经理 13100653525 华中/西区:杨经理 18186518905 华北区:张经理 18893721749
地址:中国武汉东湖高新区光谷七路128号中科开物产业园1号楼
Copyright © 武汉枢密脑科学技术有限公司. All RIGHTS RESERVED.
鄂ICP备2021009124号 DIGITAL BY VTHINK