FOXA2 (14I6) Mouse Monoclonal antibody
产品基本信息
Immunohistochemical staining of paraffin-embedded Carcinoma of liver using anti-FOXA2 (BD-PE5372) mouse monoclonal antibody (Heat-induced epitope retrieval by 10mM citric buffer, pH6.0, 100°C for 10min).
Western blot analysis of extracts (10ug) from 1 cell line by using anti-FOXA2 monoclonal antibody at 1:200 dilution.
HEK293T cells transfected with either pCMV6-ENTRY FOXA2 (Red) or empty vector control plasmid (Blue) were immunostained with anti-FOXA2 mouse monoclonal (BD-PE5372, Dilution 1:1,000), and then analyzed by flow cytometry.
Immunofluorescent staining of HepG2 cells using anti-FOXA2 mouse monoclonal antibody (BD-PE5372) at 1:50 dilution.
Anti-FOXA2 mouse monoclonal antibody (BD-PE5372) immunofluorescent staining of HeLa cells transiently transfected by pCMV6-ENTRY FOXA2
Western blot analysis of extracts (10ug) from a mouse cell line and 3 different mouse tissues by using anti-FOXA2 monoclonal antibody (1:200).
HEK293T cells were transfected with the pCMV6-ENTRY control (Left lane) or pCMV6-ENTRY FOXA2 (Right lane) cDNA for 48 hrs and lysed. Equivalent amounts of cell lysates (5 ug per lane) were separated by SDS-PAGE and immunoblotted with anti-FOXA2 (Cat# BD-PE5372). Positive lysates (100ug) and (20ug) can be purchased separately from OriGene.
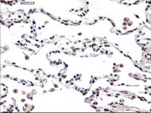
Immunohistochemical staining of paraffin-embedded lung within the normal limits using anti-FOXA2 (BD-PE5372) mouse monoclonal antibody (Heat-induced epitope retrieval by 10mM citric buffer, pH6.0, 100°C for 10min).
相关文献
产品问答
相关产品

市场:027-65023363 行政/人事:027-62439686 邮箱:marketing@brainvta.com 客服:18140661572(活动咨询、售后反馈等)
销售总监:张经理 18995532642 华东区:陈经理 18013970337 华南区:王经理 13100653525 华中/西区:杨经理 18186518905 华北区:张经理 18893721749
地址:中国武汉东湖高新区光谷七路128号中科开物产业园1号楼
Copyright © 武汉枢密脑科学技术有限公司. All RIGHTS RESERVED.
鄂ICP备2021009124号 DIGITAL BY VTHINK