BMP4 (12N17) Mouse Monoclonal antibody
产品基本信息
OriGene overexpression protein microarray chip was immunostained with UltraMAB anti-BMP4 mouse monoclonal antibody . The positive reactive proteins are highlighted with two red arrows in the enlarged subarray. All the positive controls spotted in this subarray are also labeled for clarification. These data show that UltraMAB anti-BMP4 very specifically recognizes BMP4 antigen on OriGene protein microarray chip.
Immunohistochemical staining of paraffin-embedded human placenta using BMP4 , mouse monoclonal antibody at 1:100 dilution of1mg/mL using Polink2 Broad HRP DAB for detection. BD-PE5057 requires heat-induced epitope retrieval with Accel pH8.7 at 110°C for 3min using pressure chamber/cooker. The image shows strong membranous and cytoplasmic staining.
HEK293T cells were transfected with the pCMV6-ENTRY control (left lane) or pCMV6-ENTRY BMP4 (right lane) cDNA for 48 hrs and lysed. Equivalent amounts of cell lysates (5 ug per lane) were separated by SDS-PAGE and immunoblotted with anti-BMP4. (Cat# BD-PE5057)
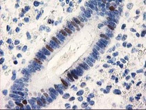
Immunohistochemical staining of paraffin-embedded human small intestine using BMP4 , mouse monoclonal antibody at 1:100 dilution of 1mg/mL using Polink2 Broad HRP DAB for detection. BD-PE5057 requires heat-induced epitope retrieval with Accel pH8.7 at 110°C for 3min using pressure chamber/cooker. The image shows strong membranous and cytoplasmic staining.
Immunofluorescent staining of HeLa cells using anti-BMP4 mouse monoclonal antibody (BD-PE5057, green, 1:100). Actin filaments were labeled with Alexa Fluor? 594 Phalloidin (red), and nuclear with DAPI (blue). Scale bar, 20μm.
Immunohistochemical staining of paraffin-embedded human stomach carcinoma using BMP4 , mouse monoclonal antibody at 1:100 dilution of 1mg/mL using Polink2 Broad HRP DAB for detection. BD-PE5057 requires heat-induced epitope retrieval with Accel pH8.7 at 110°C for 3min using pressure chamber/cooker. The image shows strong membranous and cytoplasmic staining.
Western Blot analysis of 10 different human tissue lysates (10ug) by using anti-BMP4 monoclonal antibody
相关文献
产品问答
相关产品

市场:027-65023363 行政/人事:027-62439686 邮箱:marketing@brainvta.com 客服:18140661572(活动咨询、售后反馈等)
销售总监:张经理 18995532642 华东区:陈经理 18013970337 华南区:王经理 13100653525 华中/西区:杨经理 18186518905 华北区:张经理 18893721749
地址:中国武汉东湖高新区光谷七路128号中科开物产业园1号楼
Copyright © 武汉枢密脑科学技术有限公司. All RIGHTS RESERVED.
鄂ICP备2021009124号 DIGITAL BY VTHINK