MLF1 (11P10) Mouse Monoclonal antibody
产品基本信息
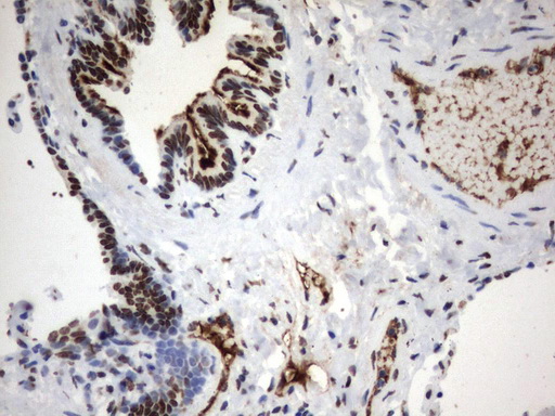
Immunohistochemical staining of paraffin-embedded Adenocarcinoma of Human colon tissue using anti-MLF1 mouse monoclonal antibody. (BD-PE4505, heat-induced epitope retrieval by 1mM EDTA in 10mM Tris, pH8.0, 120°C for 3min)
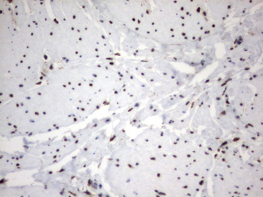
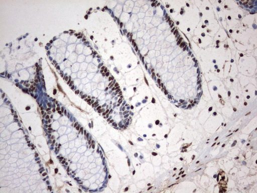
Immunohistochemical staining of paraffin-embedded Human colon tissue using anti-MLF1 mouse monoclonal antibody. (BD-PE4505, heat-induced epitope retrieval by 1mM EDTA in 10mM Tris, pH8.0, 120°C for 3min)
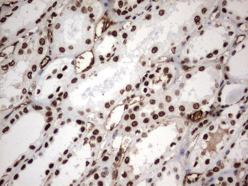
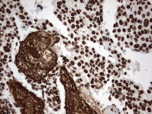
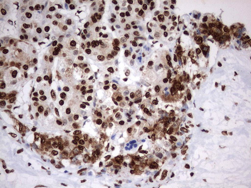
Immunohistochemical staining of paraffin-embedded Carcinoma of Human kidney tissue using anti-MLF1 mouse monoclonal antibody. (BD-PE4505, heat-induced epitope retrieval by 1mM EDTA in 10mM Tris, pH8.0, 120°C for 3min)
Immunohistochemical staining of paraffin-embedded Human Kidney tissue using anti-MLF1 mouse monoclonal antibody. (BD-PE4505, heat-induced epitope retrieval by 1mM EDTA in 10mM Tris, pH8.0, 120°C for 3min)
Immunofluorescent staining of MDA-MB-231 cells using anti-MLF1 mouse monoclonal antibody (BD-PE4505, green, 1:100). Actin filaments were labeled with TRITC-phalloidin (red), and nuclear with DAPI (blue).
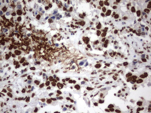
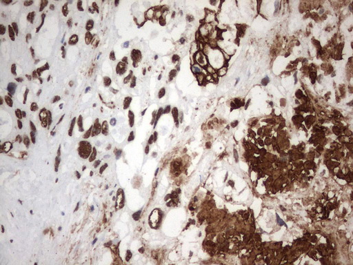
Immunohistochemical staining of paraffin-embedded Carcinoma of Human liver tissue using anti-MLF1mouse monoclonal antibody. (BD-PE4505, heat-induced epitope retrieval by 1mM EDTA in 10mM Tris, pH8.0, 120°C for 3min)
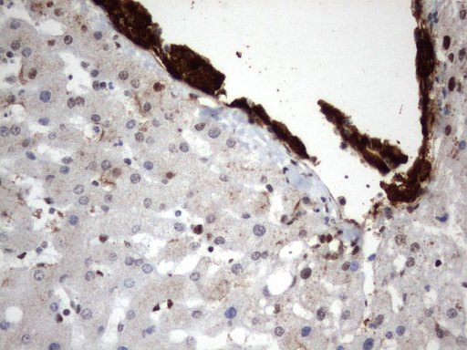
Immunohistochemical staining of paraffin-embedded Human liver tissue using anti-MLF1 mouse monoclonal antibody. (BD-PE4505, heat-induced epitope retrieval by 1mM EDTA in 10mM Tris, pH8.0, 120°C for 3min)
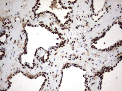
Immunohistochemical staining of paraffin-embedded Human lung tissue using anti-MLF1 mouse monoclonal antibody. (BD-PE4505, heat-induced epitope retrieval by 1mM EDTA in 10mM Tris, pH8.0, 120°C for 3min)
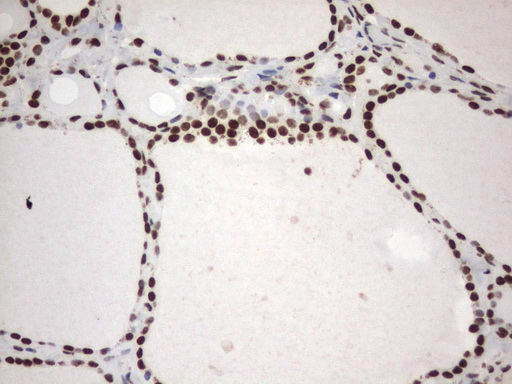
Immunohistochemical staining of paraffin-embedded Human thyroid tissue using anti-MLF1 mouse monoclonal antibody. (BD-PE4505, heat-induced epitope retrieval by 1mM EDTA in 10mM Tris, pH8.0, 120°C for 3min)
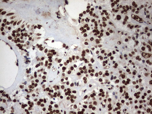
Immunohistochemical staining of paraffin-embedded Carcinoma of Human pancreas tissue using anti-MLF1 mouse monoclonal antibody. (BD-PE4505, heat-induced epitope retrieval by 1mM EDTA in 10mM Tris, pH8.0, 120°C for 3min)
Immunohistochemical staining of paraffin-embedded Human endometrium tissue using anti-MLF1 mouse monoclonal antibody. (BD-PE4505, heat-induced epitope retrieval by 1mM EDTA in 10mM Tris, pH8.0, 120°C for 3min)
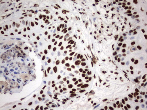
Immunohistochemical staining of paraffin-embedded Carcinoma of Human thyroid tissue using anti-MLF1 mouse monoclonal antibody. (BD-PE4505, heat-induced epitope retrieval by 1mM EDTA in 10mM Tris, pH8.0, 120°C for 3min)
Immunohistochemical staining of paraffin-embedded Human Ovary tissue using anti-MLF1 mouse monoclonal antibody. (BD-PE4505, heat-induced epitope retrieval by 1mM EDTA in 10mM Tris, pH8.0, 120°C for 3min)
Immunohistochemical staining of paraffin-embedded Carcinoma of Human lung tissue using anti-MLF1 mouse monoclonal antibody. (BD-PE4505, heat-induced epitope retrieval by 1mM EDTA in 10mM Tris, pH8.0, 120°C for 3min)
Immunohistochemical staining of paraffin-embedded Human pancreas tissue using anti-MLF1 mouse monoclonal antibody. (BD-PE4505, heat-induced epitope retrieval by 1mM EDTA in 10mM Tris, pH8.0, 120°C for 3min)
Immunohistochemical staining of paraffin-embedded Adenocarcinoma of Human ovary tissue using anti-MLF1 mouse monoclonal antibody. (BD-PE4505, heat-induced epitope retrieval by 1mM EDTA in 10mM Tris, pH8.0, 120°C for 3min)
Western blot analysis of extracts (10ug) from 10 Human tissue by using anti-MLF1 monoclonal antibody at 1:500 (1: Testis; 2: Omentum; 3: Uterus; 4: Breast; 5: Brain; 6: Liver; 7: Ovary; 8: Thyroid gland; 9: colon;10: spleen).
Immunohistochemical staining of paraffin-embedded Adenocarcinoma of Human breast tissue using anti-MLF1 mouse monoclonal antibody. (BD-PE4505, heat-induced epitope retrieval by 1mM EDTA in 10mM Tris, pH8.0, 120°C for 3min)
Immunohistochemical staining of paraffin-embedded Human prostate tissue using anti-MLF1 mouse monoclonal antibody. (BD-PE4505, heat-induced epitope retrieval by 1mM EDTA in 10mM Tris, pH8.0, 120°C for 3min)
Immunohistochemical staining of paraffin-embedded Adenocarcinoma of Human endometrium tissue using anti-MLF1 mouse monoclonal antibody. (BD-PE4505, heat-induced epitope retrieval by 1mM EDTA in 10mM Tris, pH8.0, 120°C for 3min)
Western blot of cell lysates (35ug) from 9 different cell lines (1: HepG2, 2: HeLa, 3: SV-T2, 4: A549. 5: COS7, 6: Jurkat, 7: MDCK, 8: PC-12, 9: MCF7).
Immunohistochemical staining of paraffin-embedded Carcinoma of Human bladder tissue using anti-MLF1 mouse monoclonal antibody. (BD-PE4505, heat-induced epitope retrieval by 1mM EDTA in 10mM Tris, pH8.0, 120°C for 3min)
Immunohistochemical staining of paraffin-embedded Human bladder tissue using anti-MLF1 mouse monoclonal antibody. (BD-PE4505, heat-induced epitope retrieval by 1mM EDTA in 10mM Tris, pH8.0, 120°C for 3min)
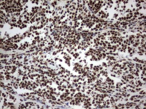
Immunohistochemical staining of paraffin-embedded Human lymphoma tissue using anti-MLF1 mouse monoclonal antibody. (BD-PE4505, heat-induced epitope retrieval by 1mM EDTA in 10mM Tris, pH8.0, 120°C for 3min)
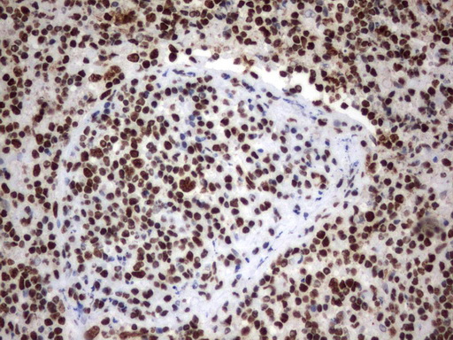
Immunohistochemical staining of paraffin-embedded Human lymph node tissue using anti-MLF1 mouse monoclonal antibody. (BD-PE4505, heat-induced epitope retrieval by 1mM EDTA in 10mM Tris, pH8.0, 120°C for 3min)
Immunohistochemical staining of paraffin-embedded Carcinoma of Human prostate tissue using anti-MLF1 mouse monoclonal antibody. (BD-PE4505, heat-induced epitope retrieval by 1mM EDTA in 10mM Tris, pH8.0, 120°C for 3min)
相关文献
产品问答
相关产品

市场:027-65023363 行政/人事:027-62439686 邮箱:marketing@brainvta.com 客服:18140661572(活动咨询、售后反馈等)
销售总监:张经理 18995532642 华东区:陈经理 18013970337 华南区:王经理 13100653525 华中/西区:杨经理 18186518905 华北区:张经理 18893721749
地址:中国武汉东湖高新区光谷七路128号中科开物产业园1号楼
Copyright © 武汉枢密脑科学技术有限公司. All RIGHTS RESERVED.
鄂ICP备2021009124号 DIGITAL BY VTHINK