KRT20/CK20 (15W14) Mouse Monoclonal antibody
产品基本信息
OriGene overexpression protein microarray chip was immunostained with UltraMAB anti-KRT20 mouse monoclonal antibody (BD-PE4176). The positive reactive proteins are highlighted with two red arrows in the enlarged subarray. All the positive controls spotted in this subarray are also labeled for clarification.
Immunohistochemical staining of paraffin-embedded Adenocarcinoma of Human colon tissue using anti-KRT20 mouse monoclonal antibody. (BD-PE4176; heat-induced epitope retrieval by 1mM EDTA in 10mM Tris, pH8.5, 120°C for 3min)
HEK293T were transfected with 55 different plasmids of with CK cDNA (1, 2, 4, 5, 6a, 6b, 6c, 7, 8, 9, 12, 13, 14, 15, 16, 17, 18 v1, 18 v2, 19, 20, 24, 25, 26, 27, 28, 31, 32, 33a, 33b, 34, 35, 36, 37, 38, 39, 40, 71, 72 v1, 72 v3, 73, 74, 75, 76, 77, 78, 79, 80 v1, 80 v2, 81, 82, 83, 84, 85, 86 and 222) for 48 hrs and lysed. Cell lysates (5 ug per lane) were separated by SDS-PAGE and blotted with KRT19 ab. KRT12, 19, 25, 26, 27, 28 and 39 were positive, while all others were negative (1:2000).
Western blot of cell lysates (35ug) from 9 different cell lines (1: HepG2, 2: HeLa, 3: SV-T2, 4: A549. 5: COS7, 6: Jurkat, 7: PC-12, 8: MDCK, 9: MCF7).
Western blot of human tissue lysates (15ug) from 10 different tissues (1: Testis, 2: Omentum, 3: Uterus, 4: Breast, 5: Brain, 6: Liver, 7: Ovary, 8: Thyroid, 9: Colon, 10: Spleen). Diluation: 1:500.
Western blot of mouse tissue lysates (20ug) from Colon. Diluation: 1:500.
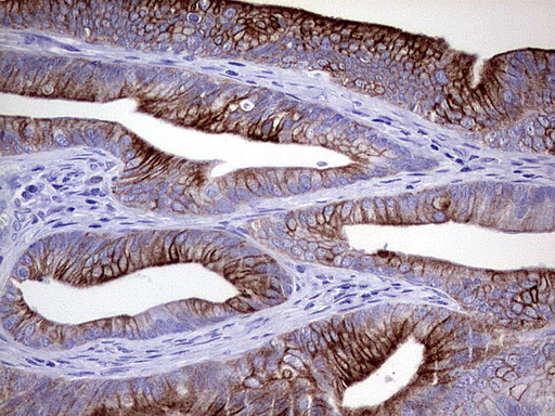
Immunohistochemical staining of paraffin-embedded Human colon tissue using anti-KRT20 mouse monoclonal antibody. (BD-PE4176; heat-induced epitope retrieval by 1mM EDTA in 10mM Tris, pH8.5, 120°C for 3min)
相关文献
产品问答
相关产品

市场:027-65023363 行政/人事:027-62439686 邮箱:marketing@brainvta.com 客服:18140661572(活动咨询、售后反馈等)
销售总监:张经理 18995532642 华东区:陈经理 18013970337 华南区:王经理 13100653525 华中/西区:杨经理 18186518905 华北区:张经理 18893721749
地址:中国武汉东湖高新区光谷七路128号中科开物产业园1号楼
Copyright © 武汉枢密脑科学技术有限公司. All RIGHTS RESERVED.
鄂ICP备2021009124号 DIGITAL BY VTHINK