MRPS7 (17G8) Mouse Monoclonal antibody
产品基本信息
Immunohistochemical staining of paraffin-embedded Human prostate tissue using anti-MRPS7 mouse monoclonal antibody. (BD-PE3778; heat-induced epitope retrieval by 1mM EDTA in 10mM Tris, pH9.0, 120°C for 3min)
Immunofluorescent staining of MCF-7 cells using anti-MRPS7 mouse monoclonal antibody (BD-PE3778, green, 1:50). Actin filaments were labeled with Alexa Fluor® 594 Phalloidin (red), and nuclear with DAPI (blue).
Immunohistochemical staining of paraffin-embedded Adenocarcinoma of Human colon tissue using anti-MRPS7 mouse monoclonal antibody. (BD-PE3778; heat-induced epitope retrieval by 1mM EDTA in 10mM Tris, pH9.0, 120°C for 3min)
Immunohistochemical staining of paraffin-embedded Human colon tissue using anti-MRPS7 mouse monoclonal antibody. (BD-PE3778; heat-induced epitope retrieval by 1mM EDTA in 10mM Tris, pH9.0, 120°C for 3min)
Immunohistochemical staining of paraffin-embedded Human tonsil using anti-MRPS7 mouse monoclonal antibody. (BD-PE3778; heat-induced epitope retrieval by 1mM EDTA in 10mM Tris, pH9.0, 120°C for 3min)
Western blot analysis of HCT116 cell lysate (35ug) by using anti-MRPS7 monoclonal antibody.
Immunohistochemical staining of paraffin-embedded human normal brain using anti-MRPS7 56 mouse monoclonal antibody at 1:200 dilution 1mg/mL and detection with Polink2 Broad HRP DAB. BD-PE3778 requires heat-induced epitope retrieval with citrate pH6.0 in a presure cooker for 3 minutes at 110C.
Immunohistochemical staining of paraffin-embedded Human lymph node tissue using anti-MRPS7 mouse monoclonal antibody. (BD-PE3778; heat-induced epitope retrieval by 1mM EDTA in 10mM Tris, pH9.0, 120°C for 3min)
Immunohistochemical staining of paraffin-embedded human composit of placenta using anti-MRPS7 56 mouse monoclonal antibody at 1:200 dilution 1mg/mL and detection with Polink2 Broad HRP DAB. BD-PE3778 requires heat-induced epitope retrieval with citrate pH6.0 in a presure cooker for 3 minutes at 110C. The image shows membranous and cytoplasmic staining in trophoblast cells.
Immunohistochemical staining of paraffin-embedded Carcinoma of Human liver tissue using anti-MRPS7 mouse monoclonal antibody. (BD-PE3778; heat-induced epitope retrieval by 1mM EDTA in 10mM Tris, pH9.0, 120°C for 3min)
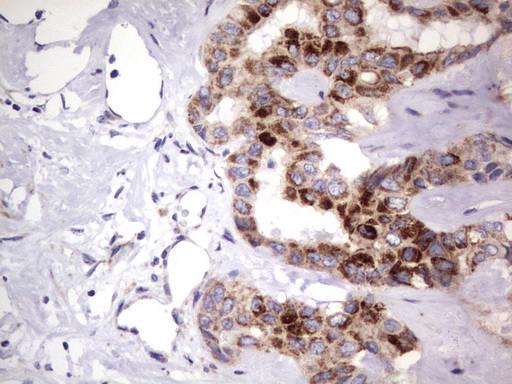
Immunohistochemical staining of paraffin-embedded Carcinoma of Human pancreas tissue using anti-MRPS7 mouse monoclonal antibody. (BD-PE3778; heat-induced epitope retrieval by 1mM EDTA in 10mM Tris, pH9.0, 120°C for 3min)
Immunohistochemical staining of paraffin-embedded Carcinoma of Human lung tissue using anti-MRPS7 mouse monoclonal antibody. (BD-PE3778; heat-induced epitope retrieval by 1mM EDTA in 10mM Tris, pH9.0, 120°C for 3min)
Immunohistochemical staining of paraffin-embedded Human pancreas tissue using anti-MRPS7 mouse monoclonal antibody. (BD-PE3778; heat-induced epitope retrieval by 1mM EDTA in 10mM Tris, pH9.0, 120°C for 3min)
Immunohistochemical staining of paraffin-embedded Adenocarcinoma of Human breast tissue using anti-MRPS7 mouse monoclonal antibody. (BD-PE3778; heat-induced epitope retrieval by 1mM EDTA in 10mM Tris, pH9.0, 120°C for 3min)
相关文献
产品问答
相关产品

市场:027-65023363 行政/人事:027-62439686 邮箱:marketing@brainvta.com 客服:18140661572(活动咨询、售后反馈等)
销售总监:张经理 18995532642 华东区:陈经理 18013970337 华南区:王经理 13100653525 华中/西区:杨经理 18186518905 华北区:张经理 18893721749
地址:中国武汉东湖高新区光谷七路128号中科开物产业园1号楼
Copyright © 武汉枢密脑科学技术有限公司. All RIGHTS RESERVED.
鄂ICP备2021009124号 DIGITAL BY VTHINK