SOX5 (13M18) Mouse Monoclonal antibody
产品基本信息
OriGene overexpression protein microarray chip was immunostained with UltraMAB anti-SOX5 mouse monoclonal antibody (BD-PE3199). The positive reactive proteins are highlighted with two red arrows in the enlarged subarray. All the positive controls spotted in this subarray are also labeled for clarification.
Immunohistochemical staining of paraffin-embedded human kidney using anti-SOX5 mouse monoclonal antibody (BD-PE3199) at 1:100 with Polink2 Broad HRP DAB detection kit; heat-induced epitope retrieval with GBI Accel pH 8.7 HIER buffer using pressure chamber for 3 minutes at 110C. Weak cytoplasmic staining is seen in the tubule epithelial cells of the kidney.
Immunohistochemical staining of paraffin-embedded human thyroid cancer using anti-SOX5 mouse monoclonal antibody (BD-PE3199) at 1:100 with Polink2 Broad HRP DAB detection kit; heat-induced epitope retrieval with GBI Accel pH 8.7 HIER buffer using pressure chamber for 3 minutes at 110C. Cytoplasmic staining is seen in the tumor cells.
Immunohistochemical staining of paraffin-embedded human pacreatic cancer using anti-SOX5 mouse monoclonal antibody (BD-PE3199) at 1:100 with Polink2 Broad HRP DAB detection kit; heat-induced epitope retrieval with GBI Accel pH 8.7 HIER buffer using pressure chamber for 3 minutes at 110C. Strong cytoplasmic staining is seen in the tumor cells.
Western blot of human tissue lysates (15ug) from 10 different tissues (1: Testis, 2: Omentum, 3: Uterus, 4: Breast, 5: Brain, 6: Thyroid, 7: Colon, 8: Spleen 9: Liver, 10: Ovary). Diluation: 1:500.
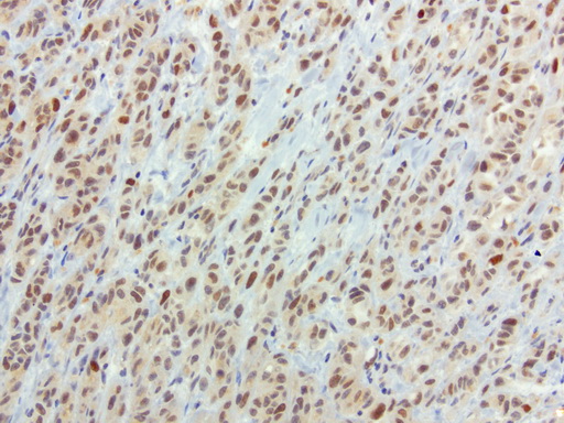
Immunohistochemical staining of paraffin-embedded human melanoma using anti-SOX5 mouse monoclonal antibody (BD-PE3199) at 1:100 with Polink2 Broad HRP DAB detection kit; heat-induced epitope retrieval with GBI Accel pH 8.7 HIER buffer using pressure chamber for 3 minutes at 110C. Strong nuclear and weak cytoplasmic staining is seen in the tumor cells.
Immunohistochemical staining of paraffin-embedded human skin using anti-SOX5 mouse monoclonal antibody (BD-PE3199) at 1:100 with Polink2 Broad HRP DAB detection kit; heat-induced epitope retrieval with GBI Accel pH 8.7 HIER buffer using pressure chamber for 3 minutes at 110C. Strong nuclear and cytoplasmic staining is seen in the epidermal cells.
Immunohistochemical staining of paraffin-embedded Human testicular cancer tissue using anti-SOX5 mouse monoclonal antibody. (BD-PE3199; heat-induced epitope retrieval by 10mM citric buffer, pH6.0, 120°C for 3min)
相关文献
产品问答
相关产品

市场:027-65023363 行政/人事:027-62439686 邮箱:marketing@brainvta.com 客服:18140661572(活动咨询、售后反馈等)
销售总监:张经理 18995532642 华东区:陈经理 18013970337 华南区:王经理 13100653525 华中/西区:杨经理 18186518905 华北区:张经理 18893721749
地址:中国武汉东湖高新区光谷七路128号中科开物产业园1号楼
Copyright © 武汉枢密脑科学技术有限公司. All RIGHTS RESERVED.
鄂ICP备2021009124号 DIGITAL BY VTHINK