CD146 (MCAM) (19O5) Mouse Monoclonal antibody
产品基本信息
Immunohistochemical staining of paraffin-embedded Human prostate tissue using anti-MCAM mouse monoclonal antibody. (BD-PE3038; heat-induced epitope retrieval by 1mM EDTA in 10mM Tris, pH9.0, 120°C for 3min)
Immunohistochemical staining of paraffin-embedded Adenocarcinoma of Human endometrium tissue using anti-MCAM mouse monoclonal antibody. (BD-PE3038; heat-induced epitope retrieval by 1mM EDTA in 10mM Tris, pH9.0, 120°C for 3min)
Immunohistochemical staining of paraffin-embedded Human tonsil using anti-MCAM mouse monoclonal antibody. (BD-PE3038; heat-induced epitope retrieval by 1mM EDTA in 10mM Tris, pH9.0, 120°C for 3min)
Western blot of cell lysates (35ug) from 9 different cell lines (1: HepG2, 2: HeLa, 3: SV-T2, 4: A549. 5: COS7, 6: Jurkat, 7: MDCK, 8: PC-12, 9: MCF7). Diluation: 1:500
Immunohistochemical staining of paraffin-embedded Human Kidney tissue using anti-MCAM mouse monoclonal antibody. (BD-PE3038; heat-induced epitope retrieval by 1mM EDTA in 10mM Tris, pH9.0, 120°C for 3min)
Western blot of human tissue lysates (15ug) from 10 different tissues (1: Testis, 2: Omentum, 3: Uterus, 4: Breast, 5: Brain, 6: Liver, 7: Ovary, 8: Thyroid, 9: Colon, 10: Spleen). Diluation: 1:500.
Immunohistochemical staining of paraffin-embedded Human lymphoma tissue using anti-MCAM mouse monoclonal antibody. (BD-PE3038; heat-induced epitope retrieval by 1mM EDTA in 10mM Tris, pH9.0, 120°C for 3min)
Immunohistochemical staining of paraffin-embedded Human lymph node tissue using anti-MCAM mouse monoclonal antibody. (BD-PE3038; heat-induced epitope retrieval by 1mM EDTA in 10mM Tris, pH9.0, 120°C for 3min)
Immunohistochemical staining of paraffin-embedded human melanoma using anti-CD146 (MCAM) 54 mouse monoclonal antibody at 1:200 dilution of 1.0 mg/mL using Polink2 Broad HRP DAB for detection. BD-PE3038 requires HIER with with Accel 3in1 EDTA solution ph8.7 at 110°C for 3min using pressure chamber/cooker. The tumor cells shows strong membraneous and cytoplasmic staining.
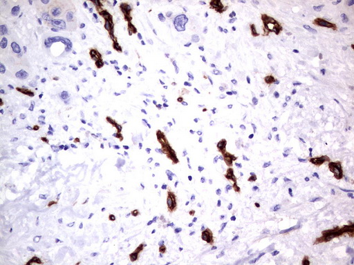
Immunohistochemical staining of paraffin-embedded Carcinoma of Human liver tissue using anti-MCAM mouse monoclonal antibody. (BD-PE3038; heat-induced epitope retrieval by 1mM EDTA in 10mM Tris, pH9.0, 120°C for 3min)
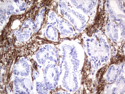
Immunohistochemical staining of paraffin-embedded Carcinoma of Human pancreas tissue using anti-MCAM mouse monoclonal antibody. (BD-PE3038; heat-induced epitope retrieval by 1mM EDTA in 10mM Tris, pH9.0, 120°C for 3min)
Western blot analysis of MALME3M cell lysate (35ug) by using anti-MCAM monoclonal antibody.
Immunohistochemical staining of paraffin-embedded Human endometrium tissue using anti-MCAMMCAM monoclonal antibody. (BD-PE3038; heat-induced epitope retrieval by 1mM EDTA in 10mM Tris, pH9.0, 120°C for 3min)
Immunohistochemical staining of paraffin-embedded Carcinoma of Human thyroid tissue using anti-MCAMMCAM monoclonal antibody. (BD-PE3038; heat-induced epitope retrieval by 1mM EDTA in 10mM Tris, pH9.0, 120°C for 3min)
Immunohistochemical staining of paraffin-embedded Human Ovary tissue using anti-MCAM mouse monoclonal antibody. (BD-PE3038; heat-induced epitope retrieval by 1mM EDTA in 10mM Tris, pH9.0, 120°C for 3min)
Immunohistochemical staining of paraffin-embedded Carcinoma of Human lung tissue using anti-MCAM mouse monoclonal antibody. (BD-PE3038; heat-induced epitope retrieval by 1mM EDTA in 10mM Tris, pH9.0, 120°C for 3min)
Western blot analysis of HEK293 cell lysate (35ug) by using anti-MCAM monoclonal antibody.
Immunohistochemical staining of paraffin-embedded Human pancreas tissue using anti-MCAM mouse monoclonal antibody. (BD-PE3038; heat-induced epitope retrieval by 1mM EDTA in 10mM Tris, pH9.0, 120°C for 3min)
Western blot analysis of Hela cell lysate (35ug) by using anti-MCAM monoclonal antibody.
Immunohistochemical staining of paraffin-embedded Adenocarcinoma of Human colon tissue using anti-MCAM mouse monoclonal antibody. (BD-PE3038; heat-induced epitope retrieval by 1mM EDTA in 10mM Tris, pH9.0, 120°C for 3min)
相关文献
产品问答
相关产品

市场:027-65023363 行政/人事:027-62439686 邮箱:marketing@brainvta.com 客服:18140661572(活动咨询、售后反馈等)
销售总监:张经理 18995532642 华东区:陈经理 18013970337 华南区:王经理 13100653525 华中/西区:杨经理 18186518905 华北区:张经理 18893721749
地址:中国武汉东湖高新区光谷七路128号中科开物产业园1号楼
Copyright © 武汉枢密脑科学技术有限公司. All RIGHTS RESERVED.
鄂ICP备2021009124号 DIGITAL BY VTHINK