PROCR (19S2) Mouse Monoclonal antibody
产品基本信息
OriGene overexpression protein microarray chip was immunostained with UltraMAB anti-PROCR mouse monoclonal antibody (BD-PE3011). The positive reactive proteins are highlighted with two red arrows in the enlarged subarray. All the positive controls spotted in this subarray are also labeled for clarification (1:100).
Immunohistochemical staining of paraffin-embedded Carcinoma of Human liver tissue using anti-PROCR mouse monoclonal antibody. (Heat-induced epitope retrieval by 1mM EDTA in 10mM Tris buffer (pH8.0) at 120°C for 3min, BD-PE3011) (1:200)
Immunohistochemical staining of paraffin-embedded human normal adjacent endometrium using anti-PROCR mouse monoclonal antibody (BD-PE3011) at 1:100 with Polink2 Broad HRP DAB detection kit; heat-induced epitope retrieval with GBI citrate pH6.0 HIER buffer using pressure chamber for 3 minutes at 110C. Cytoplasmic staining is very strong in the vascular endothelia cells and weak nuclear and cytoplasmic staining in in the glandular endometrial cells.
Immunohistochemical staining of paraffin-embedded Human tonsil using anti-PROCR mouse monoclonal antibody. (Heat-induced epitope retrieval by 1mM EDTA in 10mM Tris buffer (pH8.0) at 120°C for 3min, BD-PE3011) (1:200)
Immunohistochemical staining of paraffin-embedded human ovarian cancer using anti-PROCR mouse monoclonal antibody (BD-PE3011) at 1:100 with Polink2 Broad HRP DAB detection kit; heat-induced epitope retrieval with GBI citrate pH6.0 HIER buffer using pressure chamber for 3 minutes at 110C. Cytoplasmic staining is very strong in the vascular endothelia cells and weak nuclear staining in ovarian tumor cells.
Immunohistochemical staining of paraffin-embedded Human endometrium tissue using anti-PROCR mouse monoclonal antibody. (Heat-induced epitope retrieval by 1mM EDTA in 10mM Tris buffer (pH8.0) at 120°C for 3min, BD-PE3011) (1:200)
Immunohistochemical staining of paraffin-embedded human brain using anti-PROCR mouse monoclonal antibody (BD-PE3011) at 1:100 with Polink2 Broad HRP DAB detection kit; heat-induced epitope retrieval with GBI citrate pH6.0 HIER buffer using pressure chamber for 3 minutes at 110C. Very strong cytoplasmic and membraneous staining in the molecular layer.
Western blot of cell lysates (35ug) from 9 different cell lines (1: HepG2, 2: HeLa, 3: SV-T2, 4: A549. 5: COS7, 6: Jurkat, 7: MDCK, 8: PC-12, 9: MCF7).
Western blot analysis of extracts (25ug) from 4 different cell lines by using anti-PROCR monoclonal antibody. (1:500) (1: HEK293; 2: Hela; 3: MCF7; 4: HepG2) Dilution: 1:500
Immunohistochemical staining of 2 cases of paraffin-embedded human placenta using anti-PROCR mouse monoclonal antibody (BD-PE3011) at 1:100 with Polink2 Broad HRP DAB detection kit; heat-induced epitope retrieval with GBI citrate pH6.0 HIER buffer using pressure chamber for 3 minutes at 110C. Very strong membraneous staining in the trophoblast cells. The endothelial cells show both cytoplasmic and membraneous staining.
Immunohistochemical staining of paraffin-embedded Human pancreas tissue using anti-PROCR mouse monoclonal antibody. (Heat-induced epitope retrieval by 1mM EDTA in 10mM Tris buffer (pH8.0) at 120°C for 3min, BD-PE3011) (1:200)
Immunohistochemical staining of paraffin-embedded human thyroid cancer using anti-PROCR mouse monoclonal antibody (BD-PE3011) at 1:100 with Polink2 Broad HRP DAB detection kit; heat-induced epitope retrieval with GBI citrate pH6.0 HIER buffer using pressure chamber for 3 minutes at 110C. Cytoplasmic staining is very strong in the vascular endothelia cells no staining in tumor cells.
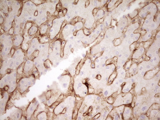
Immunohistochemical staining of paraffin-embedded Human liver tissue using anti-PROCR mouse monoclonal antibody. (Heat-induced epitope retrieval by 1mM EDTA in 10mM Tris buffer (pH8.0) at 120°C for 3min, BD-PE3011) (1:200)
相关文献
产品问答
相关产品

市场:027-65023363 行政/人事:027-62439686 邮箱:marketing@brainvta.com 客服:18140661572(活动咨询、售后反馈等)
销售总监:张经理 18995532642 华东区:陈经理 18013970337 华南区:王经理 13100653525 华中/西区:杨经理 18186518905 华北区:张经理 18893721749
地址:中国武汉东湖高新区光谷七路128号中科开物产业园1号楼
Copyright © 武汉枢密脑科学技术有限公司. All RIGHTS RESERVED.
鄂ICP备2021009124号 DIGITAL BY VTHINK