XRCC1 (8S1) Mouse Monoclonal antibody
产品基本信息
OriGene overexpression protein microarray chip was immunostained with UltraMAB anti-XRCC1 mouse monoclonal antibody (BD-PE2978). The positive reactive proteins are highlighted with two red arrows in the enlarged subarray. All the positive controls spotted in this subarray are also labeled for clarification. These data show that UltraMAB anti-XRCC1 very specifically recognizes XRCC1 antigen on OriGene protein microarray chip.
Immunohistochemical staining of paraffin-embedded human ovarian carcinoma using anti-XRCC1 mouse monoclonal antibody (BD-PE2978) at 1:50 with Polink2 Broad HRP DAB detection kit; heat-induced epitope retrieval with GBI TEE pH9.0 HIER buffer using pressure chamber for 3 minutes at 110C. Nuclear staining is seen in tumor cells.
Immunohistochemical staining of paraffin-embedded human endometrium using anti-XRCC1 mouse monoclonal antibody (BD-PE2978) at 1:50 with Polink2 Broad HRP DAB detection kit; heat-induced epitope retrieval with GBI TEE pH9.0 HIER buffer using pressure chamber for 3 minutes at 110C. Nuclear staining is seen in epithelial cells.
Immunohistochemical staining of paraffin-embedded human prostate carcinoma using anti-XRCC1 mouse monoclonal antibody (BD-PE2978) at 1:50 with Polink2 Broad HRP DAB detection kit; heat-induced epitope retrieval with GBI TEE pH9.0 HIER buffer using pressure chamber for 3 minutes at 110C. Nuclear staining is seen in tumor cells.
Immunohistochemical staining of paraffin-embedded human lung using anti-XRCC1 mouse monoclonal antibody (BD-PE2978) at 1:50 with Polink2 Broad HRP DAB detection kit; heat-induced epitope retrieval with GBI TEE pH9.0 HIER buffer using pressure chamber for 3 minutes at 110C. Nuclear staining is seen in epithelial cells.
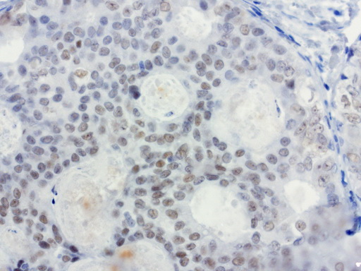
Immunohistochemical staining of paraffin-embedded human breast carcinoma using anti-XRCC1 mouse monoclonal antibody (BD-PE2978) at 1:50 with Polink2 Broad HRP DAB detection kit; heat-induced epitope retrieval with GBI Accel pH8.7 HIER buffer using pressure chamber for 3 minutes at 110C. Weak nuclear staining is seen in tumor cells.
Western blot analysis of extracts (35ug) from 9 different cell lines by using anti-XRCC1 monoclonal antibody at 1:500.
Immunohistochemical staining of paraffin-embedded human endometrial carcinoma using anti-XRCC1 mouse monoclonal antibody (BD-PE2978) at 1:50 with Polink2 Broad HRP DAB detection kit; heat-induced epitope retrieval with GBI TEE pH9.0 HIER buffer using pressure chamber for 3 minutes at 110C. Nuclear staining is seen in tumor cells.
Immunohistochemical staining of paraffin-embedded human thyroid using anti-XRCC1 mouse monoclonal antibody (BD-PE2978) at 1:50 with Polink2 Broad HRP DAB detection kit; heat-induced epitope retrieval with GBI TEE pH9.0 HIER buffer using pressure chamber for 3 minutes at 110C. Nuclear staining is seen in epithelial cells.
Immunohistochemical staining of paraffin-embedded Carcinoma of bladder tissue using anti-XRCC1 mouse monoclonal antibody. (BD-PE2978, dilution 1:50; heat-induced epitope retrieval by 10mM citric buffer, pH6.0, 120°C for 3min)
HEK293T cells were transfected with the pCMV6-ENTRY control (Left lane) or pCMV6-ENTRY XRCC1 (Right lane) cDNA for 48 hrs and lysed. Equivalent amounts of cell lysates (5 ug per lane) were separated by SDS-PAGE and immunoblotted with anti-XRCC1 (1:1000).
Immunohistochemical staining of paraffin-embedded Carcinoma of lung tissue using anti-XRCC1 mouse monoclonal antibody. (BD-PE2978, dilution 1:50; heat-induced epitope retrieval by 10mM citric buffer, pH6.0, 120°C for 3min)
Immunohistochemical staining of paraffin-embedded human colon using anti-XRCC1 mouse monoclonal antibody (BD-PE2978) at 1:50 with Polink2 Broad HRP DAB detection kit; heat-induced epitope retrieval with GBI Accel pH8.7 HIER buffer using pressure chamber for 3 minutes at 110C. Nuclear staining is seen in epithelial cells.
Immunohistochemical staining of paraffin-embedded human colon carcinoma using anti-XRCC1 mouse monoclonal antibody (BD-PE2978) at 1:50 with Polink2 Broad HRP DAB detection kit; heat-induced epitope retrieval with GBI Accel pH8.7 HIER buffer using pressure chamber for 3 minutes at 110C. Nuclear staining is seen in tumor cells.
Immunofluorescent staining of HeLa cells using anti-XRCC1 mouse monoclonal antibody (BD-PE2978, green). Actin filaments were labeled with TRITC-phalloidin (red), and nuclear with DAPI (blue). The three-color overlay image is located at the bottom-right corner.
Immunofluorescent staining of A549 cells using anti-XRCC1 mouse monoclonal antibody (BD-PE2978, green). Actin filaments were labeled with TRITC-phalloidin (red), and nuclear with DAPI (blue). The three-color overlay image is located at the bottom-right corner.
Immunohistochemical staining of paraffin-embedded Adenocarcinoma of colon tissue using anti-XRCC1 mouse monoclonal antibody. (BD-PE2978, dilution 1:50; heat-induced epitope retrieval by 10mM citric buffer, pH6.0, 120°C for 3min)
相关文献
产品问答
相关产品

市场:027-65023363 行政/人事:027-62439686 邮箱:marketing@brainvta.com 客服:18140661572(活动咨询、售后反馈等)
销售总监:张经理 18995532642 华东区:陈经理 18013970337 华南区:王经理 13100653525 华中/西区:杨经理 18186518905 华北区:张经理 18893721749
地址:中国武汉东湖高新区光谷七路128号中科开物产业园1号楼
Copyright © 武汉枢密脑科学技术有限公司. All RIGHTS RESERVED.
鄂ICP备2021009124号 DIGITAL BY VTHINK