SERPINB4 (16W2) Mouse Monoclonal antibody
产品基本信息
Immunohistochemical staining of paraffin-embedded human gastric carcinoma using anti-SERPINB4 6 mouse monoclonal antibody (BD-PE1802) at 1:100 with Polink2 Broad HRP DAB detection kit; heat-induced epitope retrieval with GBI Accel pH8.7 HIER buffer using pressure chamber for 3 minutes at 110C. Cytoplasmic and membrane staining is seen in tumor cells.
Immunohistochemical staining of paraffin-embedded human ovarian carcinoma using anti-SERPINB4 6 mouse monoclonal antibody (BD-PE1802) at 1:100 with Polink2 Broad HRP DAB detection kit; heat-induced epitope retrieval with GBI Accel pH8.7 HIER buffer using pressure chamber for 3 minutes at 110C. Cytoplasmic and membrane staining is seen in tumor cells.
Western blot analysis of extracts (35ug) from 9 different cell lines by using anti-SERPINB4 monoclonal antibody at 1:500.
Immunohistochemical staining of paraffin-embedded mouse spleen tissue using anti-SERPINB4 6 mouse monoclonal antibody. HIER TEE buffer pH9 at 110C for 10 min, BD-PE1802 (1:100). Detection was done with Klear Mouse (C/N ) DAB Kit.
Immunohistochemical staining of paraffin-embedded mouse lung tissue using anti-SERPINB4 6 mouse monoclonal antibody. HIER TEE buffer pH9 at 110C for 10 min, BD-PE1802 (1:100). Detection was done with Klear Mouse (C/N ) DAB Kit.
Immunofluorescent staining of HepG2 cells using SERPINB4 mouse monoclonal antibody (BD-PE1802, green). Actin filaments were labeled with TRITC-phalloidin (red), and nuclear with DAPI (blue). The three-color overlay image is located at the bottom-right corner.
OriGene overexpression protein microarray chip was immunostained with UltraMAB anti-SERPINB4 mouse monoclonal antibody . The positive reactive proteins are highlighted with two red arrows in the enlarged subarray. All the positive controls spotted in this subarray are also labeled for clarification. These data show that UltraMAB anti-SERPINB4 very specifically recognizes SERPINB4 antigen on OriGene protein microarray chip.
Western blot of human tissue lysates (15ug) from 10 different tissues (1: Testis, 2: Omentum, 3: Uterus, 4: Breast, 5: Brain, 6: Liver, 7: Ovary, 8: Thyroid, 9: Colon, 10: Spleen). Diluation: 1:1000.
Immunohistochemical staining of paraffin-embedded human endometrial carcinoma using anti-SERPINB4 6 mouse monoclonal antibody (BD-PE1802) at 1:100 with Polink2 Broad HRP DAB detection kit; heat-induced epitope retrieval with GBI Accel pH8.7 HIER buffer using pressure chamber for 3 minutes at 110C. Cytoplasmic and membrane staining is seen in tumor cells.
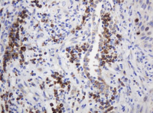
Immunohistochemical staining of paraffin-embedded Carcinoma of lung tissue using anti-SERPINB4mouse monoclonal antibody.
Immunohistochemical staining of paraffin-embedded Carcinoma of bladder tissue using anti-SERPINB4mouse monoclonal antibody.
相关文献
产品问答
相关产品

市场:027-65023363 行政/人事:027-62439686 邮箱:marketing@brainvta.com 客服:18140661572(活动咨询、售后反馈等)
销售总监:张经理 18995532642 华东区:陈经理 18013970337 华南区:王经理 13100653525 华中/西区:杨经理 18186518905 华北区:张经理 18893721749
地址:中国武汉东湖高新区光谷七路128号中科开物产业园1号楼
Copyright © 武汉枢密脑科学技术有限公司. All RIGHTS RESERVED.
鄂ICP备2021009124号 DIGITAL BY VTHINK