NSE(ENO2) (7V16) Mouse Monoclonal antibody
产品基本信息
OriGene overexpression protein microarray chip was immunostained with UltraMAB anti-NSE (ENO2) mouse monoclonal antibody (BD-PE1310). The positive reactive proteins are highlighted with two red arrows in the enlarged subarray. All the positive controls spotted in this subarray are also labeled for clarification. (1:100)
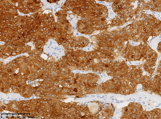
Immunohistochemical staining of paraffin-embedded Carcinoma of Human thyroid tissue using anti-NSE (ENO2) mouse monoclonal antibody.(Heat-induced epitope retrieval by 1mM EDTA in 10mM Tris buffer (pH8.0) at 120°C for 3 min, BD-PE1310) (1:15000)
Immunohistochemical staining of paraffin-embedded Human adult brain tissue within the normal limits using anti-NSE (ENO2) mouse monoclonal antibody.(Heat-induced epitope retrieval by 1mM EDTA in 10mM Tris buffer (pH8.0) at 120 oC for 3 min, BD-PE1310) (1:15000)
HEK293T cells were transfected with the pCMV6-ENTRY control (Left lane) or pCMV6-ENTRY NSE (ENO2) (Right lane) cDNA for 48 hrs and lysed. Equivalent amounts of cell lysates (5 ug per lane) were separated by SDS-PAGE and immunoblotted with anti-NSE(ENO2) antibody (Cat# BD-PE1310)(1:1000).
Immunohistochemical staining of paraffin-embedded Human pancreas tissue within the normal limits using anti-NSE (ENO2) mouse monoclonal antibody. (Heat-induced epitope retrieval by 1mM EDTA in 10mM Tris buffer (pH8.0) at 120°C for 3 min, BD-PE1310) (1:15000)
Immunohistochemical staining of paraffin-embedded Human gastric carcinoma using anti-MUC6 rabbit monoclonal antibody. (Heat-induced epitope retrieval by 1mM EDTA in 10mM Tris buffer (pH8.0) at 120°C for 3 min, RM1398) (1:4000)
Immunohistochemical staining of paraffin-embedded Human gastric tissue within the normal limits using anti-MUC6 rabbit monoclonal antibody. (Heat-induced epitope retrieval by 1mM EDTA in 10mM Tris buffer (pH8.0) at 120°C for 3 min, RM1398) (1:4000)
Immunohistochemical staining of paraffin-embedded Human cervical cancer tissue using anti-P16 (CDKN2A) rabbit monoclonal antibody. (Heat-induced epitope retrieval by 1mM EDTA in 10mM Tris buffer (pH9.0) at 120°C for 3 min, RM1399) (1:9000)
Immunohistochemical staining of paraffin-embedded Human tonsil within the normal limits using anti-P16 (CDKN2A) rabbit monoclonal antibody. (Heat-induced epitope retrieval by 1mM EDTA in 10mM Tris buffer (pH9.0) at 120°C for 3 min, RM1399) (1:9000)
Immunohistochemical staining of paraffin-embedded human lung adenocarcinoma tissue using anti-P40 (ΔNp63) rabbit monoclonal antibody (RM1400). Heat-induced epitope retrieval by 1mM EDTA in 10mM Tris buffer (pH9.0) at 120°C for 3 min. (1:35000)
相关文献
产品问答
相关产品

市场:027-65023363 行政/人事:027-62439686 邮箱:marketing@brainvta.com 客服:18140661572(活动咨询、售后反馈等)
销售总监:张经理 18995532642 华东区:陈经理 18013970337 华南区:王经理 13100653525 华中/西区:杨经理 18186518905 华北区:张经理 18893721749
地址:中国武汉东湖高新区光谷七路128号中科开物产业园1号楼
Copyright © 武汉枢密脑科学技术有限公司. All RIGHTS RESERVED.
鄂ICP备2021009124号 DIGITAL BY VTHINK