CD68 (14Q7) Mouse Monoclonal antibody
产品基本信息
Western blot of cell lysates (35ug) from 4 different cell lines (1: HepG2, 2: HeLa, 3: SV-T2, 4: A549). Diluation: 1:500.
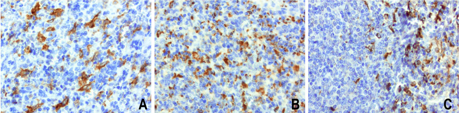
Immunohistochemical staining of paraffin-embedded Human lymph node tissue using anti-CD68 mouse monoclonal antibody. (BD-PE1010; heat-induced epitope retrieval by 10mM citric buffer, pH6.0, 120°C for 3min)
Western blot of human tissue lysates (15ug) from 10 different tissues (1: Testis, 2: Omentum, 3: Uterus, 4: Breast, 5: Brain, 6: Liver, 7: Ovary, 8: Thyroid, 9: Colon, 10: Spleen ). Diluation: 1:500.
Western blot analysis of COLO205 cell lysate (35ug) by using anti-CD68 monoclonal antibody. The molecular weight of highly glycosylated CD68 is between 75-110 kDa.
Immunohistochemical staining of paraffin-embedded of 3 human spleen using anti-CD68 50 mouse monoclonal antibody at 1:200 dilution of 0.9mg/mL and detection with Polink2 Broad HRP DAB. BD-PE1010 requires heat-induced epitope retrieval with Accel 3in1 EDTA solution pH8.7 at 95-100C 20 minutes. The composit image of 3 human spleens show all showstrong membranous and cytoplasmic staining mainly in the red pulp region of spleen.
Western blot analysis of MALME3M cell lysate (35ug) by using anti-CD68 monoclonal antibody. The molecular weight of highly glycosylated CD68 is between 75-110 kDa.
Western blot analysis of A498 cell lysate (35ug) by using anti-CD68 monoclonal antibody. The molecular weight of highly glycosylated CD68 is between 75-110 kDa.
OriGene overexpression protein microarray chip was immunostained with UltraMAB anti-CD68 mouse monoclonal antibody (BD-PE1010). The positive reactive proteins are highlighted with two red arrows in the enlarged subarray. All the positive controls spotted in this subarray are also labeled for clarification.
Immunohistochemical staining of paraffin-embedded Human lymphoma tissue using anti-CD68 mouse monoclonal antibody. (BD-PE1010; heat-induced epitope retrieval by 10mM citric buffer, pH6.0, 120°C for 3min)
相关文献
产品问答
相关产品

市场:027-65023363 行政/人事:027-62439686 邮箱:marketing@brainvta.com 客服:18140661572(活动咨询、售后反馈等)
销售总监:张经理 18995532642 华东区:陈经理 18013970337 华南区:王经理 13100653525 华中/西区:杨经理 18186518905 华北区:张经理 18893721749
地址:中国武汉东湖高新区光谷七路128号中科开物产业园1号楼
Copyright © 武汉枢密脑科学技术有限公司. All RIGHTS RESERVED.
鄂ICP备2021009124号 DIGITAL BY VTHINK