VEGFA (VEGF) (3P5) Mouse Monoclonal antibody
产品基本信息
Immunohistochemical staining of paraffin-embedded Carcinoma of Human liver tissue using anti-VEGF mouse monoclonal antibody. (BD-PE0695)
Western blot analysis of extracts (35ug) from 9 different cell lines by using anti-VEGF monoclonal antibody.
HEK293T cells were transfected with the overexpression plasmids of 9 VEGF isoforms (from left to right:VEGF206, ; VEGF189, ; L-VEGF165, ; VEGF165, ; L-VEGF121, ; VEGF iso18, ; VEGF183, ; VEGF145, ; L-VEGF189, ) for 48 hrs and lysed. Equivalent amounts of cell lysates (5 ug per lane) were separated by SDS-PAGE and immunoblotted with anti-flag antibody (1:1000) or anti-VEGFA mouse monoclonal antibody. (BD-PE0695, 1:500)
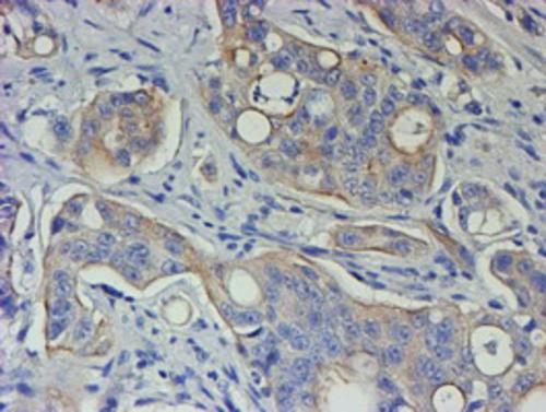
Immunohistochemical staining of paraffin-embedded Carcinoma of Human pancreas tissue using anti-VEGF mouse monoclonal antibody. (BD-PE0695)
HEK293T cells were transfected with the pCMV6-ENTRY control (Left lane) or pCMV6-ENTRY VEGF (Right lane) cDNA for 48 hrs and lysed. Equivalent amounts of cell lysates (5 ug per lane) were separated by SDS-PAGE and immunoblotted with anti-VEGF.
相关文献
产品问答
相关产品

市场:027-65023363 行政/人事:027-62439686 邮箱:marketing@brainvta.com 客服:18140661572(活动咨询、售后反馈等)
销售总监:张经理 18995532642 华东区:陈经理 18013970337 华南区:王经理 13100653525 华中/西区:杨经理 18186518905 华北区:张经理 18893721749
地址:中国武汉东湖高新区光谷七路128号中科开物产业园1号楼
Copyright © 武汉枢密脑科学技术有限公司. All RIGHTS RESERVED.
鄂ICP备2021009124号 DIGITAL BY VTHINK