CD74 (18U11) Mouse Monoclonal antibody
产品基本信息
OriGene overexpression protein microarray chip was immunostained with UltraMAB anti-CD74 mouse monoclonal antibody (BD-PE0688). The positive reactive proteins are highlighted with two red arrows in the enlarged subarray. All the positive controls spotted in this subarray are also labeled for clarification (1:100)
Immunohistochemical staining of paraffin-embedded NCI-H2228 cell pellets using anti-CD74 mouse monoclonal antibody (Heat-induced epitope retrieval by 1mM EDTA in 10mM Tris buffer (pH8.0) at 120°C for 2.5 min, BD-PE0688) (1:1600)
Immunohistochemical staining of paraffin-embedded Raji cell pellets using anti-CD74 mouse monoclonal antibody (Heat-induced epitope retrieval by 1mM EDTA in 10mM Tris buffer (pH8.0) at 120°C for 2.5 min, BD-PE0688) (1:1600)
Immunohistochemical staining of paraffin-embedded mouse ascending colon tissue using anti-CD74 1 mouse monoclonal antibody. (Heat-induced epitope retrieval by 1mM EDTA in 10mM Tris buffer (pH8.5) at 120°C for 3min, BD-PE0688) (1:800).
Immunohistochemical staining of paraffin-embedded mouse small intestine tissue using anti-CD74 1 mouse monoclonal antibody. (Heat-induced epitope retrieval by 1mM EDTA in 10mM Tris buffer (pH8.5) at 120°C for 3min, BD-PE0688) (1:800).
Immunohistochemical staining of paraffin-embedded HL-60 cell pellets using anti-CD74 mouse monoclonal antibody (Heat-induced epitope retrieval by 1mM EDTA in 10mM Tris buffer (pH8.0) at 120°C for 2.5 min, BD-PE0688) (1:1600)
Immunohistochemical staining of paraffin-embedded MDA-MB-231 cell pellets using anti-CD74 mouse monoclonal antibody (Heat-induced epitope retrieval by 1mM EDTA in 10mM Tris buffer (pH8.0) at 120°C for 2.5 min, BD-PE0688) (1:1600)
Immunohistochemical staining of paraffin-embedded LoVo cell pellets using anti-CD74 mouse monoclonal antibody (Heat-induced epitope retrieval by 1mM EDTA in 10mM Tris buffer (pH8.0) at 120°C for 2.5 min, BD-PE0688) (1:1600)
HEK293T cells were transfected with the pCMV6-ENTRY control (Left lane) or pCMV6-ENTRY CD74 (Right lane) cDNA for 48 hrs and lysed. Equivalent amounts of cell lysates (5 ug per lane) were separated by SDS-PAGE and immunoblotted with anti-CD74 (1:500).
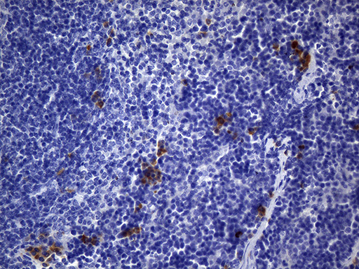
Immunohistochemical staining of paraffin-embedded mouse spleen tissue using anti-CD74 1 mouse monoclonal antibody. (Heat-induced epitope retrieval by 1mM EDTA in 10mM Tris buffer (pH8.5) at 120°C for 3min, BD-PE0688) (1:800)
Immunohistochemical staining of paraffin-embedded Ramos cell pellets using anti-CD74 mouse monoclonal antibody (Heat-induced epitope retrieval by 1mM EDTA in 10mM Tris buffer (pH8.0) at 120°C for 2.5 min, BD-PE0688) (1:1600)
Immunohistochemical staining of paraffin-embedded mouse colon tissue using anti-CD74 mouse monoclonal antibody. (Heat-induced epitope retrieval by 1mM EDTA in 10mM Tris buffer (pH8.5) at 120°C for 3min, BD-PE0688) (1:800).
Immunohistochemical staining of paraffin-embedded Human lymph node tissue within the normal limits using anti-CD74 mouse monoclonal antibody. (Heat-induced epitope retrieval by 1mM EDTA in 10mM Tris buffer (pH8.5) at 120°C for 2.5 min, BD-PE0688) (1:1600)
相关文献
产品问答
相关产品

市场:027-65023363 行政/人事:027-62439686 邮箱:marketing@brainvta.com 客服:18140661572(活动咨询、售后反馈等)
销售总监:张经理 18995532642 华东区:陈经理 18013970337 华南区:王经理 13100653525 华中/西区:杨经理 18186518905 华北区:张经理 18893721749
地址:中国武汉东湖高新区光谷七路128号中科开物产业园1号楼
Copyright © 武汉枢密脑科学技术有限公司. All RIGHTS RESERVED.
鄂ICP备2021009124号 DIGITAL BY VTHINK