MUC1/EMA (8L1) Mouse Monoclonal antibody
产品基本信息
OriGene overexpression protein microarray chip was immunostained with UltraMAB anti-MUC1 mouse monoclonal antibody . The positive reactive proteins are highlighted with two red arrows in the enlarged subarray. All the positive controls spotted in this subarray are also labeled for clarification. These data show that UltraMAB anti-MUC1 very specifically recognizes MUC1 antigen on OriGene protein microarray chip (1:100).
Immunohistochemical staining of paraffin-embedded human colon cancer using anti-MUC1 (EMA) mouse monoclonal antibody at 1:200 dilution of 1mg/mL using Polink2 Broad HRP DAB for detection. BD-PE0664 requires heat-induced epitope retrieval with Accel pH8.7 at 110°C for 3min using pressure chamber/cooker. The image is a composite of 3 tumors which show strong membranous and secreted protein however >75 % tumor cells are negative for cytoplasmic staining.
Immunohistochemical staining of paraffin-embedded human ovarian carcinoma using anti-MUC1 (EMA) mouse monoclonal antibody at 1:200 dilution of 1mg/mL using Polink2 Broad HRP DAB for detection. BD-PE0664 requires heat-induced epitope retrieval with Accel pH8.7 at 110°C for 3min using pressure chamber/cooker. The image is a composite of 3 tumors which show strong membranous and weak cytoplasmic staining in >75 % tumor cells.
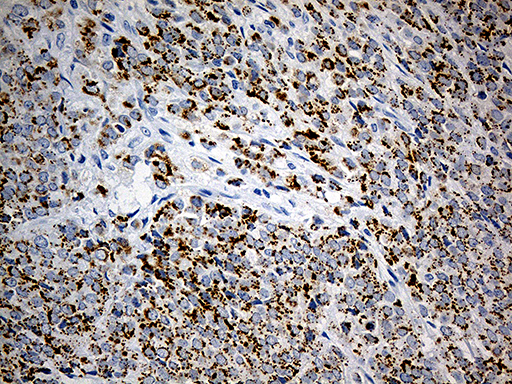
Immunohistochemical staining of paraffin-embedded human stomach carcinoma using anti-MUC1 (EMA) mouse monoclonal antibody at 1:200 dilution of1mg/mL using Polink2 Broad HRP DAB for detection. BD-PE0664 requires heat-induced epitope retrieval with Accel pH8.7 at 110°C for 3min using pressure chamber/cooker. The image is a composite of 3 tumors which show strong membranous and cytoplasmic staining in >75 % tumor cells.
Immunofluorescent staining of MCF-7 cells using anti-MUC1/EMA mouse monoclonal antibody (BD-PE0664, green, 1:100). Actin filaments were labeled with Alexa Fluor? 594 Phalloidin (red), and nuclear with DAPI (blue).
Western blot analysis of extracts (35ug) from 2 different cell lines by using anti-MUC1 monoclonal antibody (1:500).
相关文献
产品问答
相关产品

市场:027-65023363 行政/人事:027-62439686 邮箱:marketing@brainvta.com 客服:18140661572(活动咨询、售后反馈等)
销售总监:张经理 18995532642 华东区:陈经理 18013970337 华南区:王经理 13100653525 华中/西区:杨经理 18186518905 华北区:张经理 18893721749
地址:中国武汉东湖高新区光谷七路128号中科开物产业园1号楼
Copyright © 武汉枢密脑科学技术有限公司. All RIGHTS RESERVED.
鄂ICP备2021009124号 DIGITAL BY VTHINK