ALOX5 (8Q17) Mouse Monoclonal antibody
产品基本信息
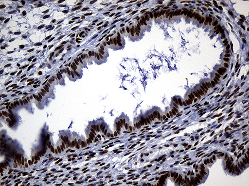
Immunohistochemical staining of paraffin-embedded Human endometrium tissue within the normal limits using anti-ALOX5 mouse monoclonal antibody. (Heat-induced epitope retrieval by 1mM EDTA in 10mM Tris buffer (pH8.5) at 120°C for 3min, BD-PE0432) (1:500)
Immunohistochemical staining of paraffin-embedded Human lymphoma tissue using anti-ALOX5 mouse monoclonal antibody. (Heat-induced epitope retrieval by 1mM EDTA in 10mM Tris buffer (pH8.5) at 120°C for 3min, BD-PE0432) (1:500)
Immunohistochemical staining of paraffin-embedded Human Kidney tissue within the normal limits using anti-ALOX5 mouse monoclonal antibody. (Heat-induced epitope retrieval by 1mM EDTA in 10mM Tris buffer (pH8.5) at 120°C for 3min, BD-PE0432) (1:500)
Western blot analysis of extracts (35ug) from 2 different tissue lysates by using anti-ALOX5 monoclonal antibody (1:500).
Immunohistochemical staining of paraffin-embedded Human breast tissue within the normal limits using anti-ALOX5 mouse monoclonal antibody. (Heat-induced epitope retrieval by 1mM EDTA in 10mM Tris buffer (pH8.5) at 120°C for 3min, BD-PE0432) (1:500)
Immunohistochemical staining of paraffin-embedded Carcinoma of Human lung tissue using anti-ALOX5 mouse monoclonal antibody. (Heat-induced epitope retrieval by 1mM EDTA in 10mM Tris buffer (pH8.5) at 120°C for 3min, BD-PE0432) (1:500)
Immunohistochemical staining of paraffin-embedded Human liver tissue within the normal limits using anti-ALOX5 mouse monoclonal antibody. (Heat-induced epitope retrieval by 1mM EDTA in 10mM Tris buffer (pH8.5) at 120°C for 3min, BD-PE0432) (1:500)
相关文献
产品问答
相关产品

市场:027-65023363 行政/人事:027-62439686 邮箱:marketing@brainvta.com 客服:18140661572(活动咨询、售后反馈等)
销售总监:张经理 18995532642 华东区:陈经理 18013970337 华南区:王经理 13100653525 华中/西区:杨经理 18186518905 华北区:张经理 18893721749
地址:中国武汉东湖高新区光谷七路128号中科开物产业园1号楼
Copyright © 武汉枢密脑科学技术有限公司. All RIGHTS RESERVED.
鄂ICP备2021009124号 DIGITAL BY VTHINK