PECAM1 (14F1) Mouse Monoclonal antibody
产品基本信息
OriGene overexpression protein microarray chip was immunostained with UltraMAB anti-PECAM1 mouse monoclonal antibody . The positive reactive proteins are highlighted with two red arrows in the enlarged subarray. All the positive controls spotted in this subarray are also labeled for clarification. These data show that UltraMAB anti-PECAM1 very specifically recognizes PECAM1 antigen on OriGene protein microarray chip.
Living HEK293T cells transfected with either plasmid (red) or empty vector (blue) were immunostained by anti-PECAM1 antibody (BD-PE0284) or isotype control antibody (green), and then analyzed by flow cytometry (1:100).
Western blot analysis of extracts (35ug) from 9 different human tissues by using anti-PECAM1 monoclonal antibody. 1:250
Western blot analysis of extracts (35ug) from Jurkat cell line by using anti-PECAM1 monoclonal antibody. 1:500
Immunohistochemical staining of paraffin-embedded mouse lung tissue using anti-CD31 (PECAM1) mouse monoclonal antibody. HIER TEE buffer pH9 at 110C for 10 min, BD-PE0284 (1:100). Detection was done with Klear Mouse (C/N ) DAB Kit.
Immunohistochemical staining of paraffin-embedded human placenta using anti-PECAM mouse monoclonal antibody (BD-PE0284) at 1:100 with Polink2 Broad HRP DAB detection kit; heat-induced epitope retrieval with GBI Citrate pH6.0 HIER buffer using pressure chamber for 3 minutes at 110C. Cytoplasmic and membraneous staining is seen in the endothelia cells and weak staining in the trophoblast.
Western blot analysis of extracts (35ug) from 9 different cell lines by using anti-PECAM1 monoclonal antibody at 1:500.
Immunohistochemical staining of paraffin-embedded Carcinoma of kidney tissue using anti-PECAM1mouse monoclonal antibody.
Immunohistochemical staining of paraffin-embedded endometrium tissue using anti-PECAM1mouse monoclonal antibody.
HEK293T cells were transfected with the pCMV6-ENTRY control (Left lane) or pCMV6-ENTRY PECAM1 (Right lane) cDNA for 48 hrs and lysed. Equivalent amounts of cell lysates (5 ug per lane) were separated by SDS-PAGE and immunoblotted with anti-PECAM1 mouse monoclonal antibody.1:500`
Immunohistochemical staining of paraffin-embedded human skin using anti-PECAM mouse monoclonal antibody (BD-PE0284) at 1:100 with Polink2 Broad HRP DAB detection kit; heat-induced epitope retrieval with GBI Citrate pH6.0 HIER buffer using pressure chamber for 3 minutes at 110C. Cytoplasmic and membraneous staining is seen in the endothelia cells.
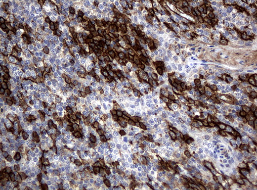
Immunohistochemical staining of paraffin-embedded lymph node tissue using anti-PECAM1mouse monoclonal antibody.
Western Blot analysis of 10 different human tissue lysates (10ug) by using anti-PECAM1 monoclonal antibody
Immunohistochemical staining of paraffin-embedded Kidney tissue using anti-PECAM1mouse monoclonal antibody.
相关文献
产品问答
相关产品

市场:027-65023363 行政/人事:027-62439686 邮箱:marketing@brainvta.com 客服:18140661572(活动咨询、售后反馈等)
销售总监:张经理 18995532642 华东区:陈经理 18013970337 华南区:王经理 13100653525 华中/西区:杨经理 18186518905 华北区:张经理 18893721749
地址:中国武汉东湖高新区光谷七路128号中科开物产业园1号楼
Copyright © 武汉枢密脑科学技术有限公司. All RIGHTS RESERVED.
鄂ICP备2021009124号 DIGITAL BY VTHINK