TBX1 Rabbit Polyclonal Antibody (C-term)
产品基本信息
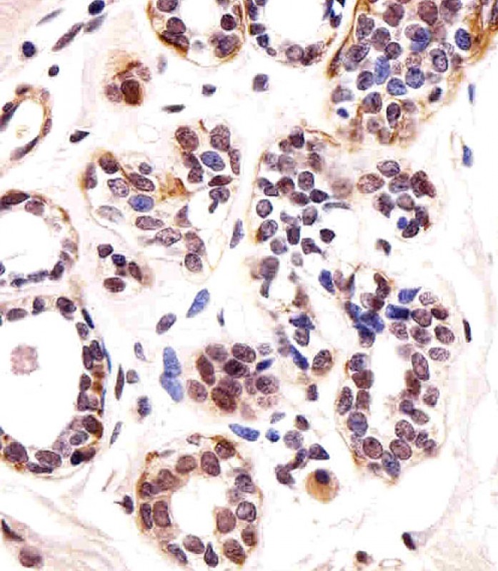
Immunohistochemical analysis of paraffin-embedded H. breast section using TBX1 Antibody (C-term). BD-PB4673 was diluted at 1:25 dilution. A undiluted biotinylated goat polyvalent antibody was used as the secondary, followed by DAB staining.
Western blot analysis of lysate from HLVEC cell line, using TBX1 Antibody (C-term) at 1:5000 dilution was used as the secondary antibody. Lysate at 35ug.
TBX1 Antibody (C-term) western blot analysis in HLVEC cell line lysates (35ug/lane).This demonstrates the TBX1 antibody detected the TBX1 protein (arrow).
Fluorescent confocal image of A2058 cell stained with TBX1 Antibody (C-term)was used (1:400, 50 min at 37℃).Cytoplasmic actin was counterstained with Alexa Fluor® 555 (red) conjugated Phalloidin (7units/ml, 1 h at 37℃). Nuclei were counterstained with DAPI (blue) (10 µg/ml, 10 min). TBX1 immunoreactivity is localized to nucleus significantly.
Formalin-fixed and paraffin-embedded human testis tissue reacted with TBX1 Antibody (C-term), which was peroxidase-conjugated to the secondary antibody, followed by DAB staining. This data demonstrates the use of this antibody for immunohistochemistry; clinical relevance has not been evaluated.
相关文献
产品问答
相关产品

市场:027-65023363 行政/人事:027-62439686 邮箱:marketing@brainvta.com 客服:18140661572(活动咨询、售后反馈等)
销售总监:张经理 18995532642 华东区:陈经理 18013970337 华南区:王经理 13100653525 华中/西区:杨经理 18186518905 华北区:张经理 18893721749
地址:中国武汉东湖高新区光谷七路128号中科开物产业园1号楼
Copyright © 武汉枢密脑科学技术有限公司. All RIGHTS RESERVED.
鄂ICP备2021009124号 DIGITAL BY VTHINK