HADHA Rabbit Polyclonal Antibody (C-term)
产品基本信息
All lanes: Anti-HADHA Antibody (C-term) at 1:2000 dilution Lane 1: Hela whole cell lysate Lane 2: 293T whole cell lysate Lane 3: A431 whole cell lysate Lane 4: K562 whole cell lysate Lane 5: Mouse heart lysate Lysates/proteins at 20 µg per lane. Secondary Goat Anti-Rabbit IgG, (H+L), Peroxidase conjugated at 1/15000 dilution. Observed band size: 83KDa Blocking/Dilution buffer: 5% NFDM/TBST.
All lanes : Anti-HADHA Antibody (C-term) at 1:1000 dilution Lane 1: Hela whole cell lysate Lane 2: Jurkat whole cell lysate Lysates/proteins at 20 µg per lane. Secondary Goat Anti-Rabbit IgG, (H+L), Peroxidase conjugated at 1/10000 dilution. Predicted band size : 83 kDa Blocking/Dilution buffer: 5% NFDM/TBST.
HADHA Antibody (C-term) western blot analysis in A431 cell line lysates (35ug/lane).This demonstrates the HADHA antibody detected the HADHA protein (arrow).
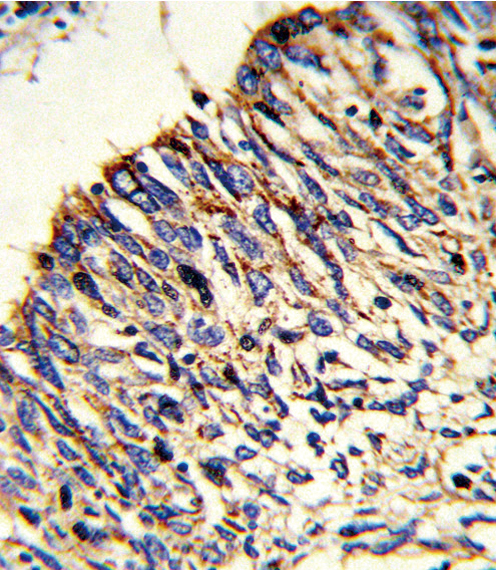
Formalin-fixed and paraffin-embedded human lung carcinoma reacted with HADHA Antibody (C-term), which was peroxidase-conjugated to the secondary antibody, followed by DAB staining. This data demonstrates the use of this antibody for immunohistochemistry; clinical relevance has not been evaluated.
HADHA Antibody (C-term) flow cytometry analysis of Ramos cells (bottom histogram) compared to a negative control cell (top histogram).FITC-conjugated goat-anti-rabbit secondary antibodies were used for the analysis.
相关文献
产品问答
相关产品

市场:027-65023363 行政/人事:027-62439686 邮箱:marketing@brainvta.com 客服:18140661572(活动咨询、售后反馈等)
销售总监:张经理 18995532642 华东区:陈经理 18013970337 华南区:王经理 13100653525 华中/西区:杨经理 18186518905 华北区:张经理 18893721749
地址:中国武汉东湖高新区光谷七路128号中科开物产业园1号楼
Copyright © 武汉枢密脑科学技术有限公司. All RIGHTS RESERVED.
鄂ICP备2021009124号 DIGITAL BY VTHINK