CD34 (1K2) Mouse Monoclonal Antibody (Center)
产品基本信息
Immunohistochemical analysis of paraffin-embedded human appendix tissue using BD-PB3785 performed on the Leica® BOND RXm. Tissue was fixed with formaldehyde at room temperature; antigen retrieval was by heat mediation with a EDTA buffer (pH9. 0). Samples were incubated with primary antibody (1:1000) for 1 hours at room temperature. A undiluted biotinylated CRF Anti-Polyvalent HRP Polymer antibody was used as the secondary antibody.
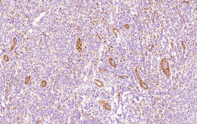
Immunohistochemical analysis of paraffin-embedded Human tonsil section using Pink1. BD-PB3785 was diluted at 1:1000 dilution. A undiluted biotinylated goat polyvalent antibody was used as the secondary, followed by DAB staining.
Anti-CD34 Antibody (Center) at 1:1000 dilution + NIH/3T3 whole cell lysate Secondary Goat Anti-mouse IgG, (H+L),Peroxidase conjugated at 1/10000 dilution. Predicted band size : 40716 Da Blocking/Dilution buffer: 5% NFDM/TBST.
相关文献
产品问答
相关产品

市场:027-65023363 行政/人事:027-62439686 邮箱:marketing@brainvta.com 客服:18140661572(活动咨询、售后反馈等)
销售总监:张经理 18995532642 华东区:陈经理 18013970337 华南区:王经理 13100653525 华中/西区:杨经理 18186518905 华北区:张经理 18893721749
地址:中国武汉东湖高新区光谷七路128号中科开物产业园1号楼
Copyright © 武汉枢密脑科学技术有限公司. All RIGHTS RESERVED.
鄂ICP备2021009124号 DIGITAL BY VTHINK